Suppr超能文献

脱蛋白牛骨基质异位应用的影像学和组织学评估

Radiographic and histological evaluation of ectopic application of deproteinized bovine bone matrix.

作者信息

da Silva Rodrigo Carlos, Crivellaro Viviane Rozeira, Giovanini Allan Fernando, Scariot Rafaela, Gonzaga Carla Castiglia, Zielak João César

机构信息

Graduate Program in Dentistry, Positivo University, Curitiba, PR, Brazil.

出版信息

Ann Maxillofac Surg. 2016 Jan-Jun;6(1):9-14. doi: 10.4103/2231-0746.186150.

Abstract

OBJECTIVE

To evaluate, through radiographic and histological analysis, the tissue reaction induced by a biomaterial based on deproteinized bovine bone matrix (DBBM) in the muscle of sheep.

MATERIALS AND METHODS

Sixteen sheep were used. The animals underwent surgery to insert polyethylene tubes containing the biomaterial in the muscle of the lower back (ectopic site) and were euthanized after 3 and 6 months. Each sheep received three tubes: Group 1 - sham group (negative control - tube without biomaterial), Group 2 - particulate autogenous bone (positive control), and Group 3 - DBBM biomaterial (GenOx Inorg). The material removed was evaluated by radiographic, macroscopic, and microscopic analysis, descriptively.

RESULTS

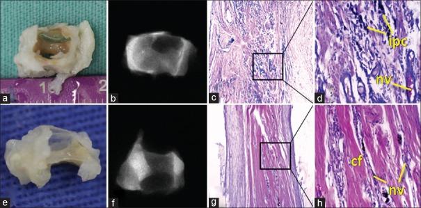
Macroscopic analysis showed that Group 3 had a greater tissue volume maintenance. Microscopic analysis indicated that Group 1 had a higher concentration of dense, thin collagen fibers (3 and 6 months); in Group 2, there was a decrease in the inflammatory process and the deposition of dense, thin collagen fibers (3 and 6 months); in Group 3, the presence of a dense connective tissue was noted, in which the DBBM particles (3 months) were found. On the periphery of these particles, a deposition of basophilic material was found, indicating the formation of mineral particles and the formation of tissues with osteoid characteristics (6 months).

CONCLUSION

Based on the results obtained, it can be concluded that the biomaterial based on DBBM led to the formation of tissue with similar characteristics to an osteoid matrix in a postoperative period of 6 months. However, none of the groups evaluated showed ectopic bone neoformation.

摘要

目的

通过影像学和组织学分析,评估基于脱蛋白牛骨基质(DBBM)的生物材料在绵羊肌肉中诱导的组织反应。

材料与方法

使用16只绵羊。这些动物接受手术,在下背部肌肉(异位部位)插入装有生物材料的聚乙烯管,并在3个月和6个月后实施安乐死。每只绵羊接受三根管子:第1组 - 假手术组(阴性对照 - 无生物材料的管子),第2组 - 自体颗粒骨(阳性对照),第3组 - DBBM生物材料(GenOx Inorg)。对取出的材料进行影像学、宏观和微观分析,并进行描述性评估。

结果

宏观分析表明,第3组的组织体积维持得更好。微观分析表明,第1组(3个月和6个月时)致密、细胶原纤维浓度较高;第2组炎症过程减轻,致密、细胶原纤维沉积减少(3个月和6个月时);第3组可见致密结缔组织,其中发现了DBBM颗粒(3个月时)。在这些颗粒的周边,发现了嗜碱性物质的沉积,表明矿物质颗粒的形成以及具有类骨质特征的组织的形成(6个月时)。

结论

根据所得结果,可以得出结论,基于DBBM的生物材料在术后6个月导致形成了具有与类骨质基质相似特征的组织。然而,所评估的任何一组均未显示异位骨新生。

https://cdn.ncbi.nlm.nih.gov/pmc/blobs/9417/4979350/9048a9dc2017/AMS-6-9-g001.jpg

相似文献

1
Radiographic and histological evaluation of ectopic application of deproteinized bovine bone matrix.
Ann Maxillofac Surg. 2016 Jan-Jun;6(1):9-14. doi: 10.4103/2231-0746.186150.
2
Tissue reaction of deproteinized bovine bone matrix grafting in ectopic site: histological study on sheep.
Cell Tissue Bank. 2016 Dec;17(4):689-697. doi: 10.1007/s10561-016-9588-z. Epub 2016 Oct 7.
5
The effect of enamel matrix proteins and deproteinized bovine bone mineral on heterotopic bone formation.
Clin Oral Implants Res. 2006 Aug;17(4):434-8. doi: 10.1111/j.1600-0501.2006.01260.x.
9
The influence of collagen membrane and autogenous bone chips on bone augmentation in the anterior maxilla: a preclinical study.
Clin Oral Implants Res. 2017 Nov;28(11):1368-1380. doi: 10.1111/clr.12996. Epub 2016 Dec 25.

引用本文的文献

1
The Role of Marine Organic Extract in Bone Regeneration: A Pilot Study.
Biomed Res Int. 2020 Feb 17;2020:2925879. doi: 10.1155/2020/2925879. eCollection 2020.
2
Adipose-Derived Stem Cells in Bone Tissue Engineering: Useful Tools with New Applications.
Stem Cells Int. 2019 Nov 6;2019:3673857. doi: 10.1155/2019/3673857. eCollection 2019.
3
In vivo regeneration functionalities of experimental organo-biomaterials containing water-soluble nacre extract.
Heliyon. 2018 Sep 14;4(9):e00776. doi: 10.1016/j.heliyon.2018.e00776. eCollection 2018 Sep.

本文引用的文献

4
Bone grafting: history, rationale, and selection of materials and techniques.
Compend Contin Educ Dent. 2014 Nov-Dec;35(4 Suppl):1-6;quiz7.
5
Divergent resorbability and effects on osteoclast formation of commonly used bone substitutes in a human in vitro-assay.
PLoS One. 2012;7(10):e46757. doi: 10.1371/journal.pone.0046757. Epub 2012 Oct 10.
6
Osteogenic potential of autogenous bone grafts harvested with four different surgical techniques.
J Dent Res. 2011 Dec;90(12):1428-33. doi: 10.1177/0022034511422718. Epub 2011 Sep 21.
7
Allograft bone matrix versus synthetic bone graft substitutes.
Injury. 2011 Sep;42 Suppl 2:S16-21. doi: 10.1016/j.injury.2011.06.199. Epub 2011 Sep 1.
8
Bone formation with two types of grafting materials: a histologic and histomorphometric study.
Open Dent J. 2011;5:96-104. doi: 10.2174/1874210601105010096. Epub 2011 Jul 7.
9
Long-term rabbits bone response to titanium implants in the presence of inorganic bovine-derived graft.
J Biomater Appl. 2012 Jul;27(1):91-8. doi: 10.1177/0885328210396946. Epub 2011 Feb 22.
10
Deproteinized bovine bone in periodontal and implant surgery.
Dent Mater. 2011 Jan;27(1):61-70. doi: 10.1016/j.dental.2010.10.017. Epub 2010 Nov 27.

文献AI研究员

20分钟写一篇综述,助力文献阅读效率提升50倍。

立即体验

用中文搜PubMed

大模型驱动的PubMed中文搜索引擎

马上搜索

文档翻译

学术文献翻译模型,支持多种主流文档格式。

立即体验