• 文献检索
  • 文档翻译
  • 深度研究
  • 学术资讯
  • Suppr Zotero 插件Zotero 插件
  • 邀请有礼
  • 套餐&价格
  • 历史记录
应用&插件
Suppr Zotero 插件Zotero 插件浏览器插件Mac 客户端Windows 客户端微信小程序
定价
高级版会员购买积分包购买API积分包
服务
文献检索文档翻译深度研究API 文档MCP 服务
关于我们
关于 Suppr公司介绍联系我们用户协议隐私条款
关注我们

Suppr 超能文献

核心技术专利:CN118964589B侵权必究
粤ICP备2023148730 号-1Suppr @ 2026

文献检索

告别复杂PubMed语法,用中文像聊天一样搜索,搜遍4000万医学文献。AI智能推荐,让科研检索更轻松。

立即免费搜索

文件翻译

保留排版,准确专业,支持PDF/Word/PPT等文件格式,支持 12+语言互译。

免费翻译文档

深度研究

AI帮你快速写综述,25分钟生成高质量综述,智能提取关键信息,辅助科研写作。

立即免费体验

Seipin是将新生脂滴转化为成熟脂滴所必需的。

Seipin is required for converting nascent to mature lipid droplets.

作者信息

Wang Huajin, Becuwe Michel, Housden Benjamin E, Chitraju Chandramohan, Porras Ashley J, Graham Morven M, Liu Xinran N, Thiam Abdou Rachid, Savage David B, Agarwal Anil K, Garg Abhimanyu, Olarte Maria-Jesus, Lin Qingqing, Fröhlich Florian, Hannibal-Bach Hans Kristian, Upadhyayula Srigokul, Perrimon Norbert, Kirchhausen Tomas, Ejsing Christer S, Walther Tobias C, Farese Robert V

机构信息

Department of Biological Sciences, Carnegie Mellon University, Pittsburgh, United States.

Department of Genetics and Complex Diseases, Harvard T H Chan School of Public Health, Boston, United States.

出版信息

Elife. 2016 Aug 26;5:e16582. doi: 10.7554/eLife.16582.

DOI:10.7554/eLife.16582
PMID:27564575
原文链接:
https://pmc.ncbi.nlm.nih.gov/articles/PMC5035145/
Abstract

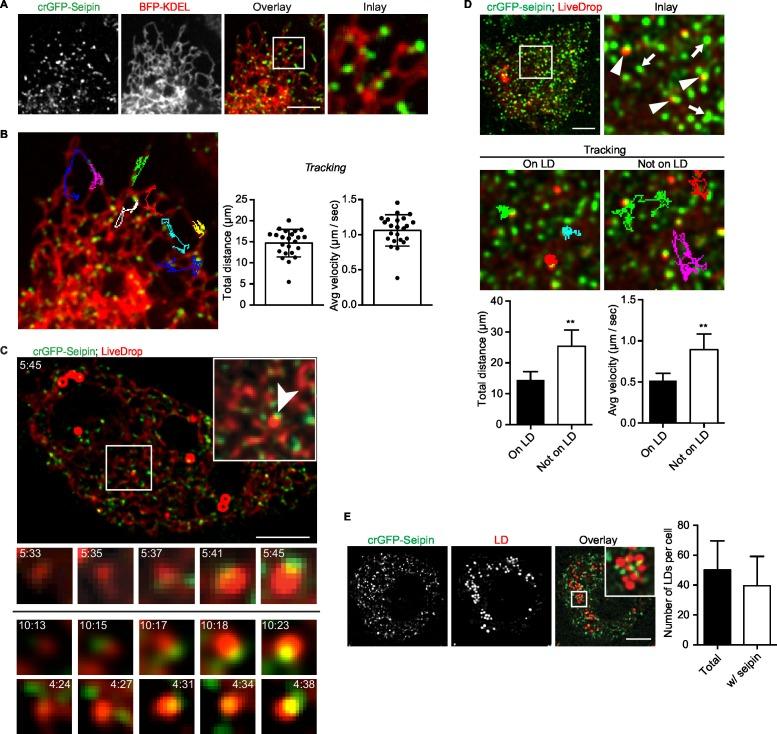
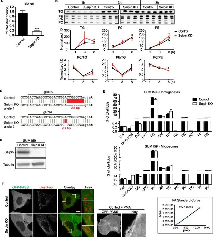
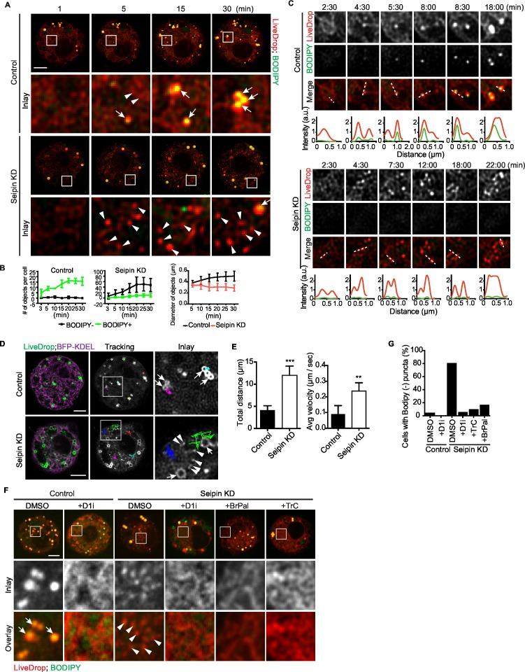
How proteins control the biogenesis of cellular lipid droplets (LDs) is poorly understood. Using and human cells, we show here that seipin, an ER protein implicated in LD biology, mediates a discrete step in LD formation-the conversion of small, nascent LDs to larger, mature LDs. Seipin forms discrete and dynamic foci in the ER that interact with nascent LDs to enable their growth. In the absence of seipin, numerous small, nascent LDs accumulate near the ER and most often fail to grow. Those that do grow prematurely acquire lipid synthesis enzymes and undergo expansion, eventually leading to the giant LDs characteristic of seipin deficiency. Our studies identify a discrete step of LD formation, namely the conversion of nascent LDs to mature LDs, and define a molecular role for seipin in this process, most likely by acting at ER-LD contact sites to enable lipid transfer to nascent LDs.

摘要

蛋白质如何控制细胞脂滴(LDs)的生物合成目前还知之甚少。利用[具体实验对象未提及]和人类细胞,我们在此表明,丝氨酸磷酸酶(seipin),一种与LD生物学相关的内质网(ER)蛋白,介导了LD形成过程中的一个离散步骤——将小的新生LDs转化为更大的成熟LDs。丝氨酸磷酸酶在内质网中形成离散且动态的焦点,与新生LDs相互作用以促进其生长。在没有丝氨酸磷酸酶的情况下,大量小的新生LDs在内质网附近积累,并且大多数情况下无法生长。那些确实生长的LDs会过早获得脂质合成酶并进行扩张,最终导致丝氨酸磷酸酶缺乏所特有的巨大LDs。我们的研究确定了LD形成的一个离散步骤,即新生LDs向成熟LDs的转化,并定义了丝氨酸磷酸酶在此过程中的分子作用,最有可能是通过在内质网-LD接触位点发挥作用,使脂质转移到新生LDs上。

https://cdn.ncbi.nlm.nih.gov/pmc/blobs/96d1/5035145/7cfcc95842cd/elife-16582-fig9.jpg
https://cdn.ncbi.nlm.nih.gov/pmc/blobs/96d1/5035145/790393859641/elife-16582-fig1.jpg
https://cdn.ncbi.nlm.nih.gov/pmc/blobs/96d1/5035145/3bc9da9d9637/elife-16582-fig1-figsupp1.jpg
https://cdn.ncbi.nlm.nih.gov/pmc/blobs/96d1/5035145/1a9a1b43d5b5/elife-16582-fig1-figsupp2.jpg
https://cdn.ncbi.nlm.nih.gov/pmc/blobs/96d1/5035145/e74fe3f79e33/elife-16582-fig2.jpg
https://cdn.ncbi.nlm.nih.gov/pmc/blobs/96d1/5035145/8ceacc8fcf57/elife-16582-fig2-figsupp1.jpg
https://cdn.ncbi.nlm.nih.gov/pmc/blobs/96d1/5035145/9830f60686c5/elife-16582-fig2-figsupp2.jpg
https://cdn.ncbi.nlm.nih.gov/pmc/blobs/96d1/5035145/36cbd266d104/elife-16582-fig3.jpg
https://cdn.ncbi.nlm.nih.gov/pmc/blobs/96d1/5035145/59bb4226510a/elife-16582-fig4.jpg
https://cdn.ncbi.nlm.nih.gov/pmc/blobs/96d1/5035145/16439c9ac38c/elife-16582-fig5.jpg
https://cdn.ncbi.nlm.nih.gov/pmc/blobs/96d1/5035145/ee286979efed/elife-16582-fig5-figsupp1.jpg
https://cdn.ncbi.nlm.nih.gov/pmc/blobs/96d1/5035145/efbe316aaa34/elife-16582-fig6.jpg
https://cdn.ncbi.nlm.nih.gov/pmc/blobs/96d1/5035145/1fe5b0d5e290/elife-16582-fig6-figsupp1.jpg
https://cdn.ncbi.nlm.nih.gov/pmc/blobs/96d1/5035145/240d5220c65f/elife-16582-fig7.jpg
https://cdn.ncbi.nlm.nih.gov/pmc/blobs/96d1/5035145/1b5f472bf6f4/elife-16582-fig8.jpg
https://cdn.ncbi.nlm.nih.gov/pmc/blobs/96d1/5035145/7cfcc95842cd/elife-16582-fig9.jpg
https://cdn.ncbi.nlm.nih.gov/pmc/blobs/96d1/5035145/790393859641/elife-16582-fig1.jpg
https://cdn.ncbi.nlm.nih.gov/pmc/blobs/96d1/5035145/3bc9da9d9637/elife-16582-fig1-figsupp1.jpg
https://cdn.ncbi.nlm.nih.gov/pmc/blobs/96d1/5035145/1a9a1b43d5b5/elife-16582-fig1-figsupp2.jpg
https://cdn.ncbi.nlm.nih.gov/pmc/blobs/96d1/5035145/e74fe3f79e33/elife-16582-fig2.jpg
https://cdn.ncbi.nlm.nih.gov/pmc/blobs/96d1/5035145/8ceacc8fcf57/elife-16582-fig2-figsupp1.jpg
https://cdn.ncbi.nlm.nih.gov/pmc/blobs/96d1/5035145/9830f60686c5/elife-16582-fig2-figsupp2.jpg
https://cdn.ncbi.nlm.nih.gov/pmc/blobs/96d1/5035145/36cbd266d104/elife-16582-fig3.jpg
https://cdn.ncbi.nlm.nih.gov/pmc/blobs/96d1/5035145/59bb4226510a/elife-16582-fig4.jpg
https://cdn.ncbi.nlm.nih.gov/pmc/blobs/96d1/5035145/16439c9ac38c/elife-16582-fig5.jpg
https://cdn.ncbi.nlm.nih.gov/pmc/blobs/96d1/5035145/ee286979efed/elife-16582-fig5-figsupp1.jpg
https://cdn.ncbi.nlm.nih.gov/pmc/blobs/96d1/5035145/efbe316aaa34/elife-16582-fig6.jpg
https://cdn.ncbi.nlm.nih.gov/pmc/blobs/96d1/5035145/1fe5b0d5e290/elife-16582-fig6-figsupp1.jpg
https://cdn.ncbi.nlm.nih.gov/pmc/blobs/96d1/5035145/240d5220c65f/elife-16582-fig7.jpg
https://cdn.ncbi.nlm.nih.gov/pmc/blobs/96d1/5035145/1b5f472bf6f4/elife-16582-fig8.jpg
https://cdn.ncbi.nlm.nih.gov/pmc/blobs/96d1/5035145/7cfcc95842cd/elife-16582-fig9.jpg

相似文献

1
Seipin is required for converting nascent to mature lipid droplets.Seipin是将新生脂滴转化为成熟脂滴所必需的。
Elife. 2016 Aug 26;5:e16582. doi: 10.7554/eLife.16582.
2
Seipin regulates ER-lipid droplet contacts and cargo delivery.Seipin调节内质网-脂滴接触及货物运输。
EMBO J. 2016 Dec 15;35(24):2699-2716. doi: 10.15252/embj.201695170. Epub 2016 Nov 22.
3
Seipin Facilitates Triglyceride Flow to Lipid Droplet and Counteracts Droplet Ripening via Endoplasmic Reticulum Contact.Seipin 通过内质网接触促进甘油三酯流向脂滴并抵消液滴成熟。
Dev Cell. 2019 Aug 19;50(4):478-493.e9. doi: 10.1016/j.devcel.2019.05.016. Epub 2019 Jun 6.
4
Membrane shaping proteins, lipids, and cytoskeleton: Recipe for nascent lipid droplet formation.膜成型蛋白、脂质和细胞骨架:新生脂质滴形成的秘诀。
Bioessays. 2022 Sep;44(9):e2200038. doi: 10.1002/bies.202200038. Epub 2022 Jul 13.
5
LDAF1 and Seipin Form a Lipid Droplet Assembly Complex.LDAF1 和 Seipin 形成脂滴组装复合物。
Dev Cell. 2019 Dec 2;51(5):551-563.e7. doi: 10.1016/j.devcel.2019.10.006. Epub 2019 Nov 7.
6
Perilipin 3 promotes the formation of membrane domains enriched in diacylglycerol and lipid droplet biogenesis proteins.脂周蛋白3促进富含二酰甘油和脂滴生物发生蛋白的膜结构域的形成。
Front Cell Dev Biol. 2023 Jul 3;11:1116491. doi: 10.3389/fcell.2023.1116491. eCollection 2023.
7
Membrane Curvature Catalyzes Lipid Droplet Assembly.膜曲率促进脂滴组装。
Curr Biol. 2020 Jul 6;30(13):2481-2494.e6. doi: 10.1016/j.cub.2020.04.066. Epub 2020 May 21.
8
A unifying mechanism for seipin-mediated lipid droplet formation.Seipin 介导的脂滴形成的统一机制。
FEBS Lett. 2024 May;598(10):1116-1126. doi: 10.1002/1873-3468.14825. Epub 2024 Feb 13.
9
Seipin collaborates with the ER membrane to control the sites of lipid droplet formation.Seipin 与内质网膜合作控制脂滴形成的部位。
Curr Opin Cell Biol. 2022 Apr;75:102070. doi: 10.1016/j.ceb.2022.02.004. Epub 2022 Mar 17.
10
Mice deficient in ER protein seipin have reduced adrenal cholesteryl ester lipid droplet formation and utilization.内质网蛋白 seipin 缺失的小鼠肾上腺胆固醇酯脂滴形成和利用减少。
J Lipid Res. 2022 Dec;63(12):100309. doi: 10.1016/j.jlr.2022.100309. Epub 2022 Nov 1.

引用本文的文献

1
Organelle bridges and nanodomain partitioning govern targeting of membrane-embedded proteins to lipid droplets.细胞器桥和纳米域划分调控膜嵌入蛋白靶向脂滴。
bioRxiv. 2025 Aug 20:2024.08.27.610018. doi: 10.1101/2024.08.27.610018.
2
Mechanism for oil-phase separation by the lipid droplet assembly complex.脂滴组装复合体介导油相分离的机制。
bioRxiv. 2025 Aug 13:2025.08.12.669882. doi: 10.1101/2025.08.12.669882.
3
The complex web of membrane contact sites in brain aging and neurodegeneration.大脑衰老和神经退行性变中膜接触位点的复杂网络。

本文引用的文献

1
Monitoring Phosphatidic Acid Signaling in Breast Cancer Cells Using Genetically Encoded Biosensors.使用基因编码生物传感器监测乳腺癌细胞中的磷脂酸信号传导。
Methods Mol Biol. 2016;1406:225-37. doi: 10.1007/978-1-4939-3444-7_20.
2
The seipin complex Fld1/Ldb16 stabilizes ER-lipid droplet contact sites.Seipin复合体Fld1/Ldb16可稳定内质网-脂滴接触位点。
J Cell Biol. 2015 Nov 23;211(4):829-44. doi: 10.1083/jcb.201502070. Epub 2015 Nov 16.
3
Identification of potential drug targets for tuberous sclerosis complex by synthetic screens combining CRISPR-based knockouts with RNAi.
Cell Mol Life Sci. 2025 Aug 8;82(1):301. doi: 10.1007/s00018-025-05830-6.
4
Functional study of Phaeodactylum tricornutum Seipin highlights specificities of lipid droplets biogenesis in diatoms.三角褐指藻Seipin的功能研究突出了硅藻中脂滴生物合成的特异性。
New Phytol. 2025 Sep;247(5):2245-2269. doi: 10.1111/nph.70350. Epub 2025 Jul 7.
5
Lipid droplet accumulation in microglia and their potential roles.小胶质细胞中的脂滴积累及其潜在作用。
Lipids Health Dis. 2025 Jun 14;24(1):215. doi: 10.1186/s12944-025-02633-3.
6
Tools to Dissect Lipid Droplet Regulation, Players, and Mechanisms.剖析脂滴调控、参与因素及机制的工具
ACS Chem Biol. 2025 Mar 21;20(3):539-552. doi: 10.1021/acschembio.4c00835. Epub 2025 Mar 4.
7
Alteration of Lipid Metabolism in Hypoxic Cancer Cells.缺氧癌细胞中脂质代谢的改变
Chem Biomed Imaging. 2024 Oct 21;3(1):25-34. doi: 10.1021/cbmi.4c00050. eCollection 2025 Jan 27.
8
Reduced phosphatidylcholine synthesis suppresses the embryonic lethality of seipin deficiency.磷脂酰胆碱合成减少可抑制丝氨酸蛋白酶抑制剂缺乏所致的胚胎致死性。
Life Metab. 2022 Sep 8;1(2):175-189. doi: 10.1093/lifemeta/loac021. eCollection 2022 Oct.
9
Lipid droplets in central nervous system and functional profiles of brain cells containing lipid droplets in various diseases.中枢神经系统中的脂滴以及各种疾病中含有脂滴的脑细胞的功能概况。
J Neuroinflammation. 2025 Jan 13;22(1):7. doi: 10.1186/s12974-025-03334-5.
10
ER-LD Membrane Contact Sites: A Budding Area in the Pathogen Survival Strategy.内质网-脂滴膜接触位点:病原体生存策略中的一个新兴领域。
Contact (Thousand Oaks). 2024 Dec 18;7:25152564241304196. doi: 10.1177/25152564241304196. eCollection 2024 Jan-Dec.
通过将基于CRISPR的基因敲除与RNA干扰相结合的合成筛选来鉴定结节性硬化症复合物的潜在药物靶点。
Sci Signal. 2015 Sep 8;8(393):rs9. doi: 10.1126/scisignal.aab3729.
4
Seipin is involved in the regulation of phosphatidic acid metabolism at a subdomain of the nuclear envelope in yeast.在酵母中,Seipin参与核膜亚结构域处磷脂酸代谢的调控。
Biochim Biophys Acta. 2015 Nov;1851(11):1450-64. doi: 10.1016/j.bbalip.2015.08.003. Epub 2015 Aug 12.
5
Protein Crowding Is a Determinant of Lipid Droplet Protein Composition.蛋白质拥挤是脂滴蛋白质组成的一个决定因素。
Dev Cell. 2015 Aug 10;34(3):351-63. doi: 10.1016/j.devcel.2015.06.007. Epub 2015 Jul 23.
6
Expanding roles for lipid droplets.脂滴的作用不断扩展。
Curr Biol. 2015 Jun 1;25(11):R470-81. doi: 10.1016/j.cub.2015.04.004.
7
The life cycle of lipid droplets.脂滴的生命周期。
Curr Opin Cell Biol. 2015 Apr;33:119-24. doi: 10.1016/j.ceb.2015.02.002. Epub 2015 Feb 20.
8
Seipin performs dissectible functions in promoting lipid droplet biogenesis and regulating droplet morphology.西平蛋白在促进脂滴生物合成和调节脂滴形态方面发挥着可分解的功能。
Mol Biol Cell. 2015 Feb 15;26(4):726-39. doi: 10.1091/mbc.E14-08-1303. Epub 2014 Dec 24.
9
Interaction of the Spo20 membrane-sensor motif with phosphatidic acid and other anionic lipids, and influence of the membrane environment.Spo20膜传感器基序与磷脂酸及其他阴离子脂质的相互作用以及膜环境的影响。
PLoS One. 2014 Nov 26;9(11):e113484. doi: 10.1371/journal.pone.0113484. eCollection 2014.
10
Cas9-based genome editing in Drosophila.基于Cas9的果蝇基因组编辑。
Methods Enzymol. 2014;546:415-39. doi: 10.1016/B978-0-12-801185-0.00019-2.