Suppr超能文献

麻杏甘石汤对啮齿动物的镇咳、解热及毒理学评价

Antitussive, anti-pyretic and toxicological evaluation of Ma-Xing-Gan-Shi-Tang in rodents.

作者信息

Lin Yu-Chin, Chang Ching-Wen, Wu Chi-Rei

机构信息

Department of Medicinal Botanicals and Health Applications, DaYeh University, No.168, University Road, Dacun, Changhua, 51591, Taiwan, ROC.

Department of Cosmetic Applications and Management, Mackay Junior College of Medicine, Nursing and Management, No. 92, Shengjing Road, Beitou District, Taipei, 11260, Taiwan, ROC.

出版信息

BMC Complement Altern Med. 2016 Nov 10;16(1):456. doi: 10.1186/s12906-016-1440-2.

Abstract

BACKGROUND

Ma-Xing-Gan-Shi-Tang (abbreviated as MXGST), an important Chinese herbal prescribed for cough, bronchial inflammation and fever from pneumonia, consists of four medicinal herbs, including Ephedrae herb, Semen Pruni Armeniacae, licorice and Gypsum. These components, especially Ephedrae and Semen Pruni Armeniacae, possess antitussive activities, but they have severe adverse effects.

METHODS

The pharmacological activities of MXGST extract in clinical use were investigated with citric acid-induced cough, acetylcholine/histamine-induced bronchial contraction and lipopolysaccharide (LPS)-induced fever in rodents. The subacute toxicology of MXGST extract was evaluated after a 28-day repeated oral administration in rats.

RESULTS

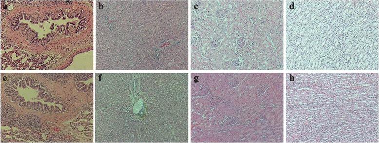
Each gram of MXGST extract contained 60 ± 8 μg of ephedrine, 480 ± 40 μg of glycyrrhizic acid and 440 ± 8 μg of amygdalin according to high performance liquid chromatography and a photodiode array detector. MXGST extract produced pronounced, dose-dependent antitussive effects in guinea pigs and reduced hyperthermic syndrome induced by LPS in rats. MXGST extract blocked the bronchial contraction induced by acetylcholine/histamine. Oral administration of MXGST extract for 28 days did not cause any hematological, biochemical or histological changes in rats.

CONCLUSIONS

MXGST extract is a safer, more effective Chinese prescription with antitussive and anti-pyretic effects. The antitussive mechanism of MXGST is related to partially relaxing the bronchial smooth muscle by blocking acetylcholinergic and histaminergic receptors.

摘要

背景

麻杏甘石汤(缩写为MXGST)是一种用于治疗咳嗽、支气管炎症和肺炎发热的重要中药方剂,由麻黄、苦杏仁、甘草和石膏四味药材组成。这些成分,尤其是麻黄和苦杏仁,具有镇咳活性,但有严重的不良反应。

方法

采用柠檬酸诱导咳嗽、乙酰胆碱/组胺诱导支气管收缩以及脂多糖(LPS)诱导啮齿动物发热的方法,研究临床使用的MXGST提取物的药理活性。在大鼠中进行28天重复口服给药后,评估MXGST提取物的亚急性毒理学。

结果

根据高效液相色谱和光电二极管阵列检测器检测,每克MXGST提取物含有60±8μg麻黄碱、480±40μg甘草酸和440±8μg苦杏仁苷。MXGST提取物在豚鼠中产生显著的、剂量依赖性的镇咳作用,并减轻LPS诱导的大鼠热综合征。MXGST提取物可阻断乙酰胆碱/组胺诱导的支气管收缩。大鼠口服MXGST提取物28天未引起任何血液学、生化或组织学变化。

结论

MXGST提取物是一种更安全、更有效的具有镇咳和解热作用的中药方剂。MXGST的镇咳机制与通过阻断乙酰胆碱能和组胺能受体部分松弛支气管平滑肌有关。

https://cdn.ncbi.nlm.nih.gov/pmc/blobs/ee4a/5105301/7ef96e195e51/12906_2016_1440_Fig1_HTML.jpg

文献AI研究员

20分钟写一篇综述,助力文献阅读效率提升50倍。

立即体验

用中文搜PubMed

大模型驱动的PubMed中文搜索引擎

马上搜索

文档翻译

学术文献翻译模型,支持多种主流文档格式。

立即体验