Suppr超能文献

阴道的中肾起源揭示了OHVIRA(梗阻性半阴道和同侧肾异常)综合征的胚胎发病机制,并将OHVIRA定位为男性Zinner综合征的女性对应症。

Wolffian Origin of Vagina Unfolds the Embryopathogenesis of OHVIRA (Obstructed Hemivagina and Ipsilateral Renal Anomaly) Syndrome and Places OHVIRA as a Female Counterpart of Zinner Syndrome in Males.

作者信息

Aswani Yashant, Varma Ravi, Choudhary Pradeep, Gupta Reeta B

机构信息

Department of Radiology, Topiwala National Medical College & BYL Nair Charitable Hospital, Mumbai Central, Mumbai, India.

Kuchaman Imaging and Diagnostic Centre, Nagaur, Rajasthan, India.

出版信息

Pol J Radiol. 2016 Nov 19;81:549-556. doi: 10.12659/PJR.898244. eCollection 2016.

Abstract

BACKGROUND

The classical theory of Müllerian origin of upper vagina fails to explain complex urogenital malformations like OHVIRA syndrome; the Acien's hypothesis, however, unravels the hidden embryopathogenesis. As per Acien, Wolffian (mesonephric) ducts instead of Müllerian ducts and sinovaginal bulbs, give rise to the vagina. The new hypothesis, however, retains the concept of origin of the ureters (with ureters inducing renal development) by the former and the uterus by Müllerian ducts. Thus, a failure of development of mesonephros/mesonephric duct gives rise to absent ureters and hence absent homolateral kidney; blind ending (obstructed) ipsilateral hemivagina and cessation of support to paramesonephric ducts which leads to unfused uterus (uterus didelphys). Hence, the new hypothesis explains all components of OHVIRA syndrome. On a parallel track, unilateral anomalous development of the mesonephros in males causes atresia of the homolateral ejaculatory duct that results in obstruction of the proximally placed seminal vesicle. Besides, there is absence of the ipsilateral kidney (Zinner syndrome).

CASE REPORT

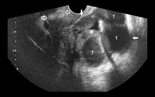
In this manuscript, we describe four cases of OHVIRA syndrome. Case 1 was a 34-year-old nulligravida, married since fourteen years, who presented with a 5-month history of pelvic inflammatory disease and dyspareunia. Regular menses in the patient and azoospermia in her husband delayed the diagnosis. Case 2 was a 14-year-old girl who presented with dysmenorrhea and lower abdominal pain since a few months. Case 3 was a 27-year-old female who presented with infertility and dysmenorrhea. Case 4 was a 15-year-old female who presented with a one-year history of dysmenorrhea and cyclic pelvic pain. In all cases, one of the uterine horns revealed collection due to a hemivaginal septum and an absent ipsilateral kidney; thus, establishing the diagnosis of OHVIRA syndrome. The case 4 additionally revealed homolateral vaginal agenesis.

CONCLUSIONS

On the basis of our 4 cases, we support the Acien's hypothesis of Wolffian origin of vagina which explains the development of OHVIRA syndrome. Besides, we emphasize the need to suspect this syndrome in a female with a pelvic mass and absence of homolateral kidney. Finally, we believe that OHVIRA due to its Wolffian origin is a female equivalent of Zinner syndrome in males. Therefore, we propose .

摘要

背景

传统的关于阴道上段起源于苗勒管的理论无法解释诸如OHVIRA综合征等复杂的泌尿生殖系统畸形;然而,阿西恩的假说揭示了隐藏的胚胎发病机制。根据阿西恩的理论,阴道由沃尔夫管(中肾管)而非苗勒管和阴道窦球发育而来。然而,新假说保留了输尿管起源于前者(输尿管诱导肾脏发育)以及子宫起源于苗勒管的概念。因此,中肾/中肾管发育失败会导致输尿管缺如,进而同侧肾脏缺如;同侧半阴道盲端(梗阻)以及对副中肾管支持的停止,这会导致子宫未融合(双子宫)。因此,新假说解释了OHVIRA综合征的所有组成部分。与此同时,男性中肾的单侧异常发育会导致同侧射精管闭锁,进而导致近端精囊梗阻。此外,同侧肾脏缺如(津纳综合征)。

病例报告

在本手稿中,我们描述了4例OHVIRA综合征病例。病例1为一名34岁未孕女性,结婚14年,有5个月盆腔炎和性交困难病史。患者月经规律,丈夫无精子症,这延迟了诊断。病例2为一名14岁女孩,几个月来一直有痛经和下腹痛。病例3为一名27岁女性,有不孕和痛经症状。病例4为一名15岁女性,有1年痛经和周期性盆腔疼痛病史。在所有病例中,一个子宫角因半阴道隔和同侧肾脏缺如而出现积液,从而确诊为OHVIRA综合征。病例4还显示同侧阴道发育不全。

结论

基于我们的4例病例,我们支持阿西恩关于阴道起源于沃尔夫管的假说,该假说解释了OHVIRA综合征的发病机制。此外,我们强调对于有盆腔肿块且同侧肾脏缺如的女性需要怀疑该综合征。最后,我们认为由于其起源于沃尔夫管,OHVIRA综合征相当于男性的津纳综合征。因此,我们提出……

https://cdn.ncbi.nlm.nih.gov/pmc/blobs/6dc3/5119691/8b62b14b7c61/poljradiol-81-549-g001.jpg

文献AI研究员

20分钟写一篇综述,助力文献阅读效率提升50倍。

立即体验

用中文搜PubMed

大模型驱动的PubMed中文搜索引擎

马上搜索

文档翻译

学术文献翻译模型,支持多种主流文档格式。

立即体验