Suppr超能文献

一例罕见的血尿病例;膀胱颈原发性淀粉样变性

A Rare Case of Hematuria; Primary Amyloidosis of the Bladder Neck.

作者信息

Tolofari Sotonye, Ansari Asif, Knight Ross J

机构信息

Glan Clwyd Hospital, Besti Cadwalladr NHS Trust, UK.

出版信息

Urol Case Rep. 2016 Dec 6;10:48-50. doi: 10.1016/j.eucr.2016.11.005. eCollection 2017 Jan.

Abstract

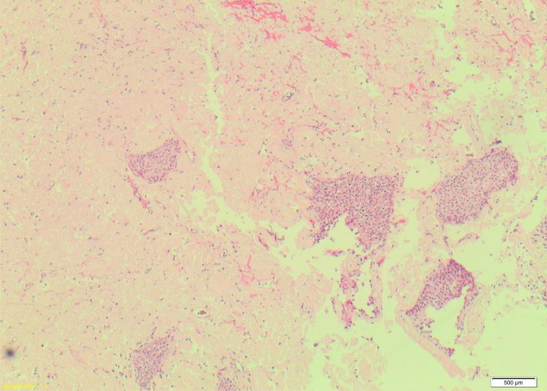
Primary and localized amyloidosis of the urinary tract is considered to be a rare clinical entity with approximately 160 cases documented in the literature. Here we present a case of a 77 year old gentleman with painless visible hematuria. Flexible cystoscopy revealed abnormal and polypoidal bladder mucosa. Transurethral resection of these lesions revealed histology with congo-red staining and positive green-apple birefringence, these findings are consistent with amyloidosis. There has so far been no sign of recurrence in this gentleman, with routine cystoscopic surveillance. Here we present a literature review on the presentation, diagnosis and management of this rare condition.

摘要

原发性局限性泌尿道淀粉样变性被认为是一种罕见的临床病症,文献记载约有160例病例。在此,我们报告一例77岁男性患者,其有无痛性肉眼血尿。软性膀胱镜检查发现膀胱黏膜异常且呈息肉样。经尿道切除这些病变组织后,刚果红染色及阳性苹果绿双折射的组织学检查结果显示,这些发现符合淀粉样变性。到目前为止,该患者在常规膀胱镜监测下尚无复发迹象。在此,我们对这种罕见病症的临床表现、诊断及治疗进行文献综述。

https://cdn.ncbi.nlm.nih.gov/pmc/blobs/0244/5148768/cbc97b7b35a1/gr1.jpg

文献AI研究员

20分钟写一篇综述,助力文献阅读效率提升50倍。

立即体验

用中文搜PubMed

大模型驱动的PubMed中文搜索引擎

马上搜索

文档翻译

学术文献翻译模型,支持多种主流文档格式。

立即体验