• 文献检索
  • 文档翻译
  • 深度研究
  • 学术资讯
  • Suppr Zotero 插件Zotero 插件
  • 邀请有礼
  • 套餐&价格
  • 历史记录
应用&插件
Suppr Zotero 插件Zotero 插件浏览器插件Mac 客户端Windows 客户端微信小程序
定价
高级版会员购买积分包购买API积分包
服务
文献检索文档翻译深度研究API 文档MCP 服务
关于我们
关于 Suppr公司介绍联系我们用户协议隐私条款
关注我们

Suppr 超能文献

核心技术专利:CN118964589B侵权必究
粤ICP备2023148730 号-1Suppr @ 2026

文献检索

告别复杂PubMed语法,用中文像聊天一样搜索,搜遍4000万医学文献。AI智能推荐,让科研检索更轻松。

立即免费搜索

文件翻译

保留排版,准确专业,支持PDF/Word/PPT等文件格式,支持 12+语言互译。

免费翻译文档

深度研究

AI帮你快速写综述,25分钟生成高质量综述,智能提取关键信息,辅助科研写作。

立即免费体验

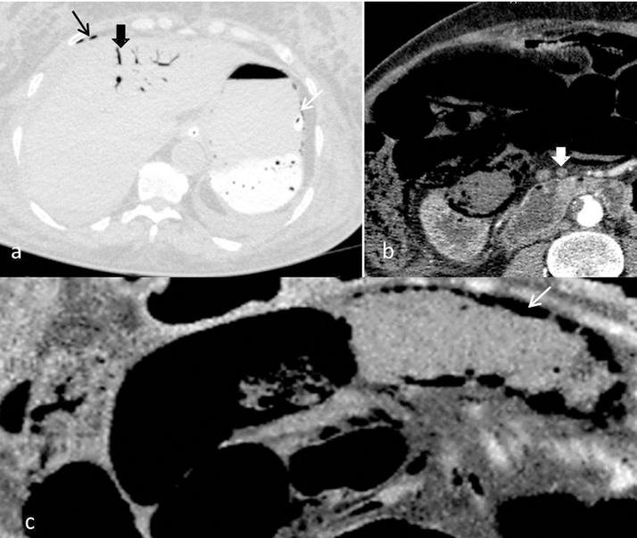
计算机断层扫描在预测肝门静脉气体预后中的作用。

Role of Computed tomography in predicting prognosis of Hepatic portal venous gas.

作者信息

Moussa Makram, Marzouk Inès, Abdelmoula Kais, Manamani Amira, Dali Nadida, Farhat Leila Charrada Ben, Hendaoui Lotfi

机构信息

Department of Surgery, University Hospital of Bizerta, Tunisia.

Department of Diagnostic and Interventional Radiology, University Hospital Mongi Slim Marsa, Tunisia.

出版信息

Int J Surg Case Rep. 2017;30:177-182. doi: 10.1016/j.ijscr.2016.11.055. Epub 2016 Dec 2.

DOI:10.1016/j.ijscr.2016.11.055
PMID:28012340
原文链接:https://pmc.ncbi.nlm.nih.gov/articles/PMC5198631/
Abstract

BACKGROUND

The aim of this study was to report through 13 cases the particularities of abdominal computed tomography (CT) aspects of hepatic portal venous gas (HPVG) and its correlation with patient prognosis.

METHODS

We analyzed abundance of HPVG and its association with pneumatosis intestinalis (PI) in correlation with fatal outcome using chi-square tests.

RESULTS

Etiologies were mesenteric infarction (n=5), sigmoid diverticulitis (n= 1), septic shock (n=1), postoperative peritonitis (n=1), acute pancreatitis (n=1), iatrogenic cause (n=3) and idiopathic after a laparotomy (n=1). The outcome was fatal in for 6 patients. Abundance of HPV was expressed in total number of hepatic segments involved. The involvement of 3 or more segments was a sensitive sign for lethal outcome with high sensitivity (100%) but it was not specific (50%). Negative predictive value of this sign was 100% (p≤0.005). Positive predictive value of PI for death was 100% (p≤0.001).

DISCUSSION

Abundance of HPVG is correlated with prognosis. The presence of PI announces poor outcome Negative predictive value of presence of HPVG in 3 or more segments is interesting. Predicting prognosis with CT can help surgeons to assess the most adequate treatment. Iatrogenic causes are increasingly described after interventional radiology procedures with favorable course.

CONCLUSION

The first etiology radiologists should look for in front of HPVG involving more than 3 hepatic segments and associated with PI is intestinal necrosis which announces a poor prognosis. This study shows that outside of shock situations, HPVG involving 2 or less hepatic segments without PI predicts a good outcome.

摘要

背景

本研究旨在通过13例病例报告肝门静脉积气(HPVG)腹部计算机断层扫描(CT)表现的特点及其与患者预后的相关性。

方法

我们使用卡方检验分析HPVG的丰度及其与肠壁积气(PI)的关系以及与致命结局的相关性。

结果

病因包括肠系膜梗死(n = 5)、乙状结肠憩室炎(n = 1)、感染性休克(n = 1)、术后腹膜炎(n = 1)、急性胰腺炎(n = 1)、医源性原因(n = 3)和剖腹术后特发性(n = 1)。6例患者预后为致命。HPV的丰度以受累肝段总数表示。3个或更多肝段受累是致命结局的敏感征象,敏感性高(100%)但不具有特异性(50%)。该征象的阴性预测值为100%(p≤0.005)。PI对死亡的阳性预测值为100%(p≤0.001)。

讨论

HPVG的丰度与预后相关。PI的存在预示预后不良。3个或更多肝段存在HPVG的阴性预测值很有意义。用CT预测预后有助于外科医生评估最合适的治疗方法。介入放射学操作后医源性原因的报道越来越多,且病程良好。

结论

对于累及3个以上肝段且伴有PI的HPVG,放射科医生首先应寻找的病因是肠坏死,这预示着预后不良。本研究表明,在非休克情况下,累及2个或更少肝段且无PI的HPVG预示预后良好。

https://cdn.ncbi.nlm.nih.gov/pmc/blobs/77b7/5198631/d028accefac5/gr4.jpg
https://cdn.ncbi.nlm.nih.gov/pmc/blobs/77b7/5198631/4f9358dba55b/gr1.jpg
https://cdn.ncbi.nlm.nih.gov/pmc/blobs/77b7/5198631/4c3760271456/gr2.jpg
https://cdn.ncbi.nlm.nih.gov/pmc/blobs/77b7/5198631/376b9e4c9eec/gr3.jpg
https://cdn.ncbi.nlm.nih.gov/pmc/blobs/77b7/5198631/d028accefac5/gr4.jpg
https://cdn.ncbi.nlm.nih.gov/pmc/blobs/77b7/5198631/4f9358dba55b/gr1.jpg
https://cdn.ncbi.nlm.nih.gov/pmc/blobs/77b7/5198631/4c3760271456/gr2.jpg
https://cdn.ncbi.nlm.nih.gov/pmc/blobs/77b7/5198631/376b9e4c9eec/gr3.jpg
https://cdn.ncbi.nlm.nih.gov/pmc/blobs/77b7/5198631/d028accefac5/gr4.jpg

相似文献

1
Role of Computed tomography in predicting prognosis of Hepatic portal venous gas.计算机断层扫描在预测肝门静脉气体预后中的作用。
Int J Surg Case Rep. 2017;30:177-182. doi: 10.1016/j.ijscr.2016.11.055. Epub 2016 Dec 2.
2
Hepatic portal venous gas: clinical significance of computed tomography findings.肝门静脉积气:计算机断层扫描结果的临床意义
Am J Emerg Med. 2004 May;22(3):214-8. doi: 10.1016/j.ajem.2004.02.017.
3
Hepatic portal venous gas with pneumatosis intestinalis secondary to mesenteric ischemia in elderly patients: Two case reports.老年患者肠系膜缺血继发肝门静脉积气伴肠壁积气:两例报告
Medicine (Baltimore). 2020 Apr;99(17):e19810. doi: 10.1097/MD.0000000000019810.
4
Optimal treatment strategies for hepatic portal venous gas: A retrospective assessment.肝门静脉积气的最佳治疗策略:回顾性评估。
World J Gastroenterol. 2020 Apr 14;26(14):1628-1637. doi: 10.3748/wjg.v26.i14.1628.
5
Hepatic portal venous gas: the ABCs of management.肝门静脉积气:处理要点
Arch Surg. 2009 Jun;144(6):575-81; discussion 581. doi: 10.1001/archsurg.2009.88.
6
Conservative approach to Hepatic Portal Venous Gas: A case report.肝门静脉气体的保守治疗方法:一例报告
Int J Surg Case Rep. 2017;30:183-185. doi: 10.1016/j.ijscr.2016.12.006. Epub 2016 Dec 11.
7
[Clinical characteristics of 7 cases of hepatic portal venous gas].7例肝门静脉积气的临床特征
Beijing Da Xue Xue Bao Yi Xue Ban. 2023 Aug 18;55(4):743-747. doi: 10.19723/j.issn.1671-167X.2023.04.028.
8
Understanding the Nuances of Hepatic Portal Venous Gas in Pneumatosis Intestinalis: An Indication of Bowel Ischemia?理解肠壁积气中肝门静脉气体的细微差别:肠道缺血的一个指征?
Cureus. 2023 Sep 15;15(9):e45330. doi: 10.7759/cureus.45330. eCollection 2023 Sep.
9
Is reoperation required for patients presenting with hepatic portal venous gas after gastrointestinal surgery: a review of the literature.胃肠道手术后出现肝门静脉积气的患者是否需要再次手术:文献综述
Ann Med. 2024 Dec;56(1):2389293. doi: 10.1080/07853890.2024.2389293. Epub 2024 Aug 8.
10
Detection of hepatic portal venous gas: its clinical impact and outcome.肝门静脉气体的检测:其临床影响及结果
Emerg Radiol. 2006 May;12(4):164-70. doi: 10.1007/s10140-006-0467-y. Epub 2006 Mar 18.

引用本文的文献

1
Hepatic portal venous gas after ingesting glyphosate: A case report and literature review.摄入草甘膦后出现肝门静脉积气:一例报告及文献综述
Heliyon. 2024 Aug 15;10(16):e36378. doi: 10.1016/j.heliyon.2024.e36378. eCollection 2024 Aug 30.
2
Conservative treatment of hepatic portal vein gas after transarterial chemoembolization treatment for liver metastasis of postoperative esophageal cancer: a case report.经动脉化疗栓塞治疗术后食管癌肝转移后肝门静脉气体的保守治疗:一例报告
J Gastrointest Oncol. 2023 Apr 29;14(2):1166-1174. doi: 10.21037/jgo-23-213. Epub 2023 Apr 24.
3
Hepatic Portal Venous Gas: A Potentially Lethal Sign Demanding Urgent Management.

本文引用的文献

1
Hepatic portal venous gas and portal venous thrombosis following colonoscopy in a patient with terminal ileal Crohn's disease.一名终末期回肠克罗恩病患者结肠镜检查后出现肝门静脉积气和门静脉血栓形成。
BMJ Case Rep. 2015 May 4;2015:bcr2014206854. doi: 10.1136/bcr-2014-206854.
2
The prognostic factors of adult patients with hepatic portal venous gas in the ED.急诊科成年肝门静脉积气患者的预后因素
Am J Emerg Med. 2014 Sep;32(9):972-5. doi: 10.1016/j.ajem.2014.05.016. Epub 2014 May 20.
3
[Hepatic portal venous gas: surgery or not surgery?].
肝门静脉积气:一种潜在致命的征象,急需处理。
Am J Case Rep. 2022 Aug 2;23:e937197. doi: 10.12659/AJCR.937197.
4
Clinical features and management of 20 patients with hepatic portal venous gas.20例肝门静脉积气患者的临床特征与治疗
Exp Ther Med. 2022 Jun 17;24(2):525. doi: 10.3892/etm.2022.11452. eCollection 2022 Aug.
5
Pneumatosis intestinalis: Not always bowel ischemia.肠壁积气:并非总是由肠缺血引起。
Radiol Case Rep. 2022 Feb 17;17(4):1305-1308. doi: 10.1016/j.radcr.2022.01.062. eCollection 2022 Apr.
6
Hepatic portal venous gas with pneumatosis intestinalis secondary to mesenteric ischemia in elderly patients: Two case reports.老年患者肠系膜缺血继发肝门静脉积气伴肠壁积气:两例报告
Medicine (Baltimore). 2020 Apr;99(17):e19810. doi: 10.1097/MD.0000000000019810.
7
A case with hepatic portal vein gas who required delayed elective surgery.一例需要延迟择期手术的肝门静脉积气病例。
Int J Surg Case Rep. 2019;65:233-237. doi: 10.1016/j.ijscr.2019.10.085. Epub 2019 Nov 6.
8
Hepatic portal venous gas associated with colon cancer: A case report and literature review.与结肠癌相关的肝门静脉气体:一例报告及文献综述
Medicine (Baltimore). 2017 Dec;96(50):e9352. doi: 10.1097/MD.0000000000009352.
[肝门静脉积气:手术与否?]
Ann Fr Anesth Reanim. 2013 Nov;32(11):803-6. doi: 10.1016/j.annfar.2013.08.005. Epub 2013 Oct 23.
4
Pneumatosis and portal venous gas: do CT findings reassure?气腹和门静脉积气:CT 所见可以让人安心吗?
J Surg Res. 2013 Dec;185(2):581-6. doi: 10.1016/j.jss.2013.06.006. Epub 2013 Jun 29.
5
Portomesenteric venous gas: is gas distribution linked to etiology and outcome?门腔静脉积气:气体分布与病因和预后有关吗?
Eur J Radiol. 2012 Dec;81(12):3862-9. doi: 10.1016/j.ejrad.2012.07.017. Epub 2012 Aug 14.
6
Enterovenous fistulization: a rare complication of Crohn's disease.经肠-静脉内瘘形成:克罗恩病的一种罕见并发症。
World J Gastroenterol. 2011 Dec 21;17(47):5227-30. doi: 10.3748/wjg.v17.i47.5227.
7
Role of multidetector CT angiography in the evaluation of suspected mesenteric ischemia.多层螺旋 CT 血管造影在疑似肠系膜缺血评估中的作用。
Eur J Radiol. 2011 Dec;80(3):e582-7. doi: 10.1016/j.ejrad.2011.09.015. Epub 2011 Oct 10.
8
A case of hepatic portal venous gas as a complication of endoscopic balloon dilatation.内镜球囊扩张术后并发肝门静脉积气 1 例
J Korean Med Sci. 2011 Aug;26(8):1108-10. doi: 10.3346/jkms.2011.26.8.1108. Epub 2011 Jul 28.
9
Multidetector CT imaging in mesenteric ischemia--pearls and pitfalls.多层螺旋CT在肠系膜缺血中的应用——要点与陷阱
Emerg Radiol. 2011 Apr;18(2):145-56. doi: 10.1007/s10140-010-0921-8. Epub 2010 Dec 4.
10
Hepatic portal venous gas: physiopathology, etiology, prognosis and treatment.肝门静脉积气:病理生理学、病因、预后及治疗
World J Gastroenterol. 2009 Aug 7;15(29):3585-90. doi: 10.3748/wjg.15.3585.