Suppr超能文献

EBNA1的癌风险变体可解除爱泼斯坦-巴尔病毒游离体潜伏期的调控。

Carcinoma-risk variant of EBNA1 deregulates Epstein-Barr Virus episomal latency.

作者信息

Dheekollu Jayaraju, Malecka Kimberly, Wiedmer Andreas, Delecluse Henri-Jacques, Chiang Alan K S, Altieri Dario C, Messick Troy E, Lieberman Paul M

机构信息

The Wistar Institute, Philadelphia, PA USA.

Deutsches Krebsforschungszentrum, Heidelberg, Germany.

出版信息

Oncotarget. 2017 Jan 31;8(5):7248-7264. doi: 10.18632/oncotarget.14540.

Abstract

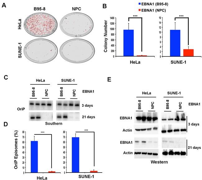
Epstein-Barr Virus (EBV) latent infection is a causative co-factor for endemic Nasopharyngeal Carcinoma (NPC). NPC-associated variants have been identified in EBV-encoded nuclear antigen EBNA1. Here, we solve the X-ray crystal structure of an NPC-derived EBNA1 DNA binding domain (DBD) and show that variant amino acids are found on the surface away from the DNA binding interface. We show that NPC-derived EBNA1 is compromised for DNA replication and episome maintenance functions. Recombinant virus containing the NPC EBNA1 DBD are impaired in their ability to immortalize primary B-lymphocytes and suppress lytic transcription during early stages of B-cell infection. We identify Survivin as a host protein deficiently bound by the NPC variant of EBNA1 and show that Survivin depletion compromises EBV episome maintenance in multiple cell types. We propose that endemic variants of EBNA1 play a significant role in EBV-driven carcinogenesis by altering key regulatory interactions that destabilize latent infection.

摘要

爱泼斯坦-巴尔病毒(EBV)潜伏感染是地方性鼻咽癌(NPC)的致病辅助因素。在EBV编码的核抗原EBNA1中已鉴定出与NPC相关的变体。在此,我们解析了源自NPC的EBNA1 DNA结合结构域(DBD)的X射线晶体结构,并表明变体氨基酸位于远离DNA结合界面的表面。我们发现源自NPC的EBNA1在DNA复制和附加体维持功能方面存在缺陷。含有NPC EBNA1 DBD的重组病毒在使原代B淋巴细胞永生化以及在B细胞感染早期抑制裂解转录的能力方面受损。我们确定Survivin是一种与EBNA1的NPC变体结合不足的宿主蛋白,并表明Survivin的缺失会损害多种细胞类型中EBV附加体的维持。我们提出,EBNA1的地方性变体通过改变破坏潜伏感染稳定性的关键调控相互作用,在EBV驱动的致癌过程中发挥重要作用。

https://cdn.ncbi.nlm.nih.gov/pmc/blobs/dbd7/5352318/6b91cb2eb52a/oncotarget-08-7248-g001.jpg

文献检索

告别复杂PubMed语法,用中文像聊天一样搜索,搜遍4000万医学文献。AI智能推荐,让科研检索更轻松。

立即免费搜索

文件翻译

保留排版,准确专业,支持PDF/Word/PPT等文件格式,支持 12+语言互译。

免费翻译文档

深度研究

AI帮你快速写综述,25分钟生成高质量综述,智能提取关键信息,辅助科研写作。

立即免费体验