Suppr超能文献

全内脏转位患者食管癌的俯卧位胸腔镜手术:两例报告

Thoracoscopic surgery in the prone position for esophageal cancer in patients with situs inversus totalis: A report of two cases.

作者信息

Nakano Toru, Kamei Takashi, Onodera Yu, Ujiie Naoto, Ohuchi Noriaki

机构信息

Division of Advanced Surgical Science and Technology, Tohoku University Graduate School of Medicine, Sendai, 1-1 Seiryo-machi, Aoba-ku, Sendai, Miyagi 980-8574, Japan.

Division of Advanced Surgical Science and Technology, Tohoku University Graduate School of Medicine, Sendai, 1-1 Seiryo-machi, Aoba-ku, Sendai, Miyagi 980-8574, Japan.

出版信息

Int J Surg Case Rep. 2017;31:43-46. doi: 10.1016/j.ijscr.2017.01.009. Epub 2017 Jan 6.

Abstract

INTRODUCTION

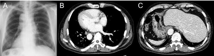
Situs inversus totalis (SIT) is a rare congenital condition characterized by a complete transposition of thoracic and abdominal organs. Here, we present two successful cases of left thoracoscopic esophagectomy in the prone position for SIT-associated esophageal cancer.

PRESENTATION OF CASE

Our first case was of an 82-year-old man who underwent a left thoracoscopic esophagectomy in the prone position, followed by hand-assisted laparoscopic gastric mobilization. Surgical duration and blood loss were 661min and 165g, respectively. His postoperative course was uneventful. The second case was of a 66-year-old man who underwent a left thoracoscopic esophagectomy in the prone position, followed by gastric mobilization via laparotomy owing to a concomitant intestinal malrotation and polysplenia. Surgical duration and blood loss were 637min and 220g, respectively. We trained for the surgical procedures preoperatively using left-inverted and right-inverted thoracoscopic surgical videos of patients with normal anatomy.

DISCUSSION

Surgical procedures in SIT patients are challenging owing to their mirrored anatomy. Recognition of their variations is thus important to avoid intraoperative accidental injuries. Left-inverted and right-inverted thoracoscopic surgical videos of patients with normal anatomy were found to be useful for image training prior to the actual surgery.

CONCLUSION

Thoracoscopic surgical treatment for esophageal cancer associated with SIT in the prone position can be performed safely, similar to the manner performed for thoracoscopic surgery in the right decubitus position, or surgery via an open thoracotomy. Gastric mobilization via laparotomy should be considered in patients associated other anatomic variations.

摘要

引言

全内脏反位(SIT)是一种罕见的先天性疾病,其特征是胸腹部器官完全转位。在此,我们报告两例成功的左侧胸腔镜下食管癌切除术,手术采用俯卧位,适用于全内脏反位相关的食管癌。

病例介绍

我们的首例病例为一名82岁男性,接受了左侧胸腔镜下食管癌切除术,采用俯卧位,随后进行手辅助腹腔镜胃游离术。手术时间和失血量分别为661分钟和165克。他的术后过程顺利。第二例病例为一名66岁男性,接受了左侧胸腔镜下食管癌切除术,采用俯卧位,由于合并肠旋转不良和多脾症,随后通过开腹进行胃游离术。手术时间和失血量分别为637分钟和220克。我们术前使用解剖结构正常患者的左侧和右侧胸腔镜手术视频对手术操作进行了训练。

讨论

由于全内脏反位患者的解剖结构呈镜像,手术操作具有挑战性。因此,识别其变异对于避免术中意外伤害很重要。发现解剖结构正常患者的左侧和右侧胸腔镜手术视频对实际手术前的图像训练很有用。

结论

与右侧卧位胸腔镜手术或开胸手术类似,俯卧位胸腔镜手术治疗全内脏反位相关的食管癌可以安全进行。对于合并其他解剖变异的患者,应考虑通过开腹进行胃游离术。

https://cdn.ncbi.nlm.nih.gov/pmc/blobs/cdcb/5241577/7d360ad03078/gr1.jpg

文献检索

告别复杂PubMed语法,用中文像聊天一样搜索,搜遍4000万医学文献。AI智能推荐,让科研检索更轻松。

立即免费搜索

文件翻译

保留排版,准确专业,支持PDF/Word/PPT等文件格式,支持 12+语言互译。

免费翻译文档

深度研究

AI帮你快速写综述,25分钟生成高质量综述,智能提取关键信息,辅助科研写作。

立即免费体验