Suppr超能文献

钝性腹部创伤患者单侧肾上腺出血的影像学表现:2例报告

Imaging of unilateral adrenal hemorrhages in patients after blunt abdominal trauma: Report of two cases.

作者信息

Sayit Asli Tanrivermis, Sayit Emrah, Gunbey Hediye Pinar, Aslan Kerim

机构信息

Department of Radiology, Ondokuz Mayis University Faculty of Medicine, Samsun, Turkey.

Department of Orthopaedics and Traumatology, Samsun Education and Research Hospital, Samsun, Turkey.

出版信息

Chin J Traumatol. 2017 Feb;20(1):52-55. doi: 10.1016/j.cjtee.2016.05.002. Epub 2017 Jan 19.

Abstract

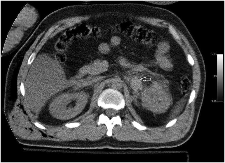
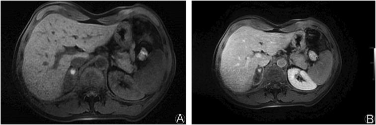
Adrenal hemorrhage following blunt abdominal trauma is extremely rare. Most of the lesions are unilateral and right sided. Although often asymptomatic, life-threatening adrenal insufficiency may develop in the bilateral adrenal gland hemorrhage. Isolated adrenal injuries are very rare. They are often associated with other organ injuries. The mortality rates of patients range from 7% to 32%. In this report, we present the computed tomography and magnetic resonance imaging findings of unilateral adrenal hemorrhages in two patients with a history of fall from a height.

摘要

钝性腹部创伤后肾上腺出血极为罕见。大多数病变为单侧且位于右侧。虽然通常无症状,但双侧肾上腺出血可能会发展为危及生命的肾上腺功能不全。孤立性肾上腺损伤非常罕见。它们常与其他器官损伤相关。患者的死亡率在7%至32%之间。在本报告中,我们展示了两名有高处坠落史患者单侧肾上腺出血的计算机断层扫描和磁共振成像结果。

https://cdn.ncbi.nlm.nih.gov/pmc/blobs/38d2/5343102/8f5d0fec106a/gr1.jpg

文献AI研究员

20分钟写一篇综述,助力文献阅读效率提升50倍。

立即体验

用中文搜PubMed

大模型驱动的PubMed中文搜索引擎

马上搜索

文档翻译

学术文献翻译模型,支持多种主流文档格式。

立即体验