Suppr超能文献

一名患有迈耶-罗基坦斯基-库斯特-豪泽综合征(MRKH)的患者出现圆韧带腹膜内平滑肌瘤。

Intra-peritoneal leiomyoma of the round ligament in a patient with Mayer-Rokitansky-Küster-Hauser (MRKH) syndrome.

作者信息

Salem Wehbe G, Bitar R, Zreik T, Samaha M, Walter C, Sleiman Z

机构信息

Lebanese university, Faculty of Medical Sciences.

Lebanese American university school of medicine.

出版信息

Facts Views Vis Obgyn. 2016 Dec;8(4):233-235.

Abstract

BACKGROUND

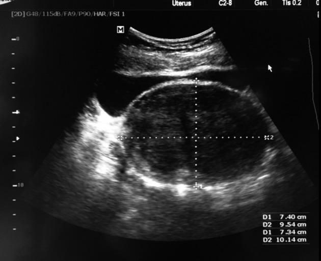
The occurrence of an extra-uterine leiomyoma, arising from the intra-peritoneal portion of the round ligament in a lady with Müllerian agenesis diagnosed at the age of forty is extremely rare. We report a case of this rare combination in a Middle Eastern woman.

CASE

A 40 years old lady, primarily amenorrheic, presented to our clinic for an infertility consultation. The work- up showed features suggestive of Mayer-Rokitansky-Küster-Hauser (MRKH) syndrome with a leiomyoma arising from the intra-peritoneal part of the round ligament.

摘要

背景

一名40岁被诊断为苗勒氏管发育不全的女性,其圆韧带腹膜内部分出现子宫外平滑肌瘤的情况极为罕见。我们报告了一名中东女性的这种罕见病例组合。

病例

一名40岁的女性,原发性闭经,因不孕症前来我们诊所咨询。检查显示有梅耶-罗基坦斯基-库斯特-豪泽(MRKH)综合征的特征,同时伴有一个起源于圆韧带腹膜内部分的平滑肌瘤。

https://cdn.ncbi.nlm.nih.gov/pmc/blobs/52c2/5303701/045362273e64/FVVinObGyn-8-233-g001.jpg

文献AI研究员

20分钟写一篇综述,助力文献阅读效率提升50倍。

立即体验

用中文搜PubMed

大模型驱动的PubMed中文搜索引擎

马上搜索

文档翻译

学术文献翻译模型,支持多种主流文档格式。

立即体验