• 文献检索
  • 文档翻译
  • 深度研究
  • 学术资讯
  • Suppr Zotero 插件Zotero 插件
  • 邀请有礼
  • 套餐&价格
  • 历史记录
应用&插件
Suppr Zotero 插件Zotero 插件浏览器插件Mac 客户端Windows 客户端微信小程序
定价
高级版会员购买积分包购买API积分包
服务
文献检索文档翻译深度研究API 文档MCP 服务
关于我们
关于 Suppr公司介绍联系我们用户协议隐私条款
关注我们

Suppr 超能文献

核心技术专利:CN118964589B侵权必究
粤ICP备2023148730 号-1Suppr @ 2026

文献检索

告别复杂PubMed语法,用中文像聊天一样搜索,搜遍4000万医学文献。AI智能推荐,让科研检索更轻松。

立即免费搜索

文件翻译

保留排版,准确专业,支持PDF/Word/PPT等文件格式,支持 12+语言互译。

免费翻译文档

深度研究

AI帮你快速写综述,25分钟生成高质量综述,智能提取关键信息,辅助科研写作。

立即免费体验

玻璃体内注射雷珠单抗治疗糖尿病性视乳头病变。

Diabetic papillopathy treated with intravitreal ranibizumab.

作者信息

Yildirim Mine, Kilic Deniz, Dursun Mehmet Emin, Dursun Birgul

机构信息

Department of Ophthalmology, Gazi Yasargil Training and Research Hospital, Diyarbakır, Turkey.

出版信息

Int Med Case Rep J. 2017 Mar 22;10:99-103. doi: 10.2147/IMCRJ.S132479. eCollection 2017.

DOI:10.2147/IMCRJ.S132479
PMID:28356776
原文链接:https://pmc.ncbi.nlm.nih.gov/articles/PMC5367760/
Abstract

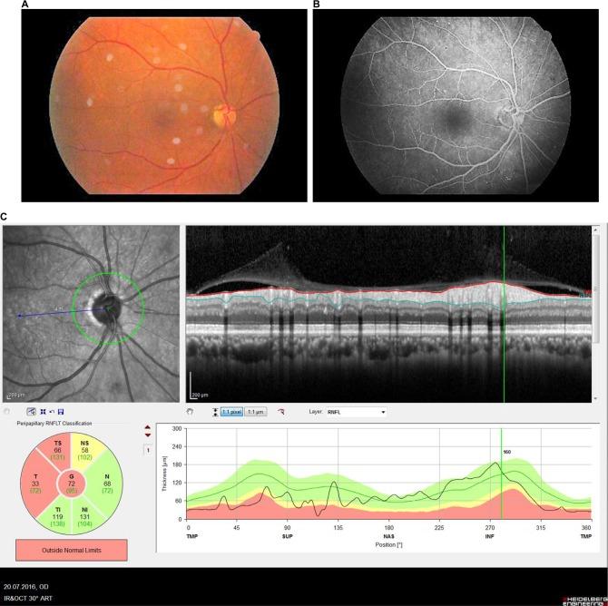
In this report, we present a case of diabetic papillopathy that resolved after a single dose of intravitreal ranibizumab injection. A 50-year-old male presented with painless visual loss in his right eye. His visual acuity was 1/10 in the right eye and 10/10 in the left eye. Anterior segment examination of both eyes was unremarkable. Posterior segment of the right eye showed nonproliferative diabetic retinopathy with a swollen optic disc. Fluorescein angiography and optical coherence tomography were performed. There was dye leakage from the right optic disc. Optical coherence tomography revealed a significant increase in retinal nerve fiber layer thickness. Magnetic resonance imaging of the brain and orbit were normal. The patient received a single intravitreal ranibizumab (0.5 mg) injection. Two weeks after the injection, there was a marked regression of the disc swelling. Three months after the injection the optic disc was pallor and visual acuity was 6/10.

摘要

在本报告中,我们呈现了一例经单次玻璃体内注射雷珠单抗后病情缓解的糖尿病性视乳头病变病例。一名50岁男性因右眼无痛性视力丧失就诊。其右眼视力为1/10,左眼视力为10/10。双眼眼前节检查未见明显异常。右眼后节显示非增殖性糖尿病视网膜病变伴视盘肿胀。进行了荧光素血管造影和光学相干断层扫描。右眼视盘有染料渗漏。光学相干断层扫描显示视网膜神经纤维层厚度显著增加。脑部和眼眶的磁共振成像正常。该患者接受了单次玻璃体内注射雷珠单抗(0.5毫克)。注射后两周,视盘肿胀明显消退。注射后三个月,视盘苍白,视力为6/10。

https://cdn.ncbi.nlm.nih.gov/pmc/blobs/f373/5367760/d52170225ea1/imcrj-10-099Fig4.jpg
https://cdn.ncbi.nlm.nih.gov/pmc/blobs/f373/5367760/9e1bdb0e6b7f/imcrj-10-099Fig1.jpg
https://cdn.ncbi.nlm.nih.gov/pmc/blobs/f373/5367760/631f5866084e/imcrj-10-099Fig2.jpg
https://cdn.ncbi.nlm.nih.gov/pmc/blobs/f373/5367760/bade2e14679f/imcrj-10-099Fig3.jpg
https://cdn.ncbi.nlm.nih.gov/pmc/blobs/f373/5367760/d52170225ea1/imcrj-10-099Fig4.jpg
https://cdn.ncbi.nlm.nih.gov/pmc/blobs/f373/5367760/9e1bdb0e6b7f/imcrj-10-099Fig1.jpg
https://cdn.ncbi.nlm.nih.gov/pmc/blobs/f373/5367760/631f5866084e/imcrj-10-099Fig2.jpg
https://cdn.ncbi.nlm.nih.gov/pmc/blobs/f373/5367760/bade2e14679f/imcrj-10-099Fig3.jpg
https://cdn.ncbi.nlm.nih.gov/pmc/blobs/f373/5367760/d52170225ea1/imcrj-10-099Fig4.jpg

相似文献

1
Diabetic papillopathy treated with intravitreal ranibizumab.玻璃体内注射雷珠单抗治疗糖尿病性视乳头病变。
Int Med Case Rep J. 2017 Mar 22;10:99-103. doi: 10.2147/IMCRJ.S132479. eCollection 2017.
2
Diabetic papillopathy with macular edema treated with intravitreal ranibizumab.玻璃体内注射雷珠单抗治疗糖尿病性视乳头病变伴黄斑水肿。
Clin Ophthalmol. 2013;7:2257-60. doi: 10.2147/OPTH.S55076. Epub 2013 Nov 27.
3
Diabetic papillopathy with macular edema treated with intravitreal bevacizumab.玻璃体内注射贝伐单抗治疗糖尿病性视乳头病变伴黄斑水肿。
Oman J Ophthalmol. 2011 Sep;4(3):135-8. doi: 10.4103/0974-620X.91270.
4
Swept-source optical coherence tomography angiography findings of diabetic papillopathy after intravitreal bevacizumab.玻璃体内注射贝伐单抗后糖尿病性视乳头病变的扫频源光学相干断层扫描血管造影结果
Am J Ophthalmol Case Rep. 2020 May 16;19:100748. doi: 10.1016/j.ajoc.2020.100748. eCollection 2020 Sep.
5
Swept-source optical coherence tomography angiography of diabetic papillopathy: a case report.扫频源光学相干断层扫描血管造影在糖尿病性视乳头病变中的应用:病例报告。
BMC Ophthalmol. 2020 May 15;20(1):194. doi: 10.1186/s12886-020-01470-5.
6
MEASUREMENTS OF RETINAL FLUID BY OPTICAL COHERENCE TOMOGRAPHY LEAKAGE IN DIABETIC MACULAR EDEMA: A Biomarker of Visual Acuity Response to Treatment.光学相干断层扫描渗漏测量在糖尿病性黄斑水肿中的应用:视力反应治疗的生物标志物。
Retina. 2019 Jan;39(1):52-60. doi: 10.1097/IAE.0000000000001905.
7
Normalization of retinal nerve fiber layer with stratus optical coherence tomography after bilateral diabetic papillopathy.双侧糖尿病性视乳头病变后视网膜神经纤维层经Stratus光学相干断层扫描的正常化
Optometry. 2012 May 31;83(5):173-8.
8
Sequential anterior ischemic optic neuropathy and central retinal artery and vein occlusion after ranibizumab for diabetic macular edema.雷珠单抗治疗糖尿病性黄斑水肿后相继发生前部缺血性视神经病变及视网膜中央动静脉阻塞
Eur J Ophthalmol. 2010 Nov-Dec;20(6):1076-8. doi: 10.1177/112067211002000609.
9
[Optic Disc Drusen and their Complications].[视盘小疣及其并发症]
Cesk Slov Oftalmol. 2016 Feb;72(1):298-308.
10
Optociliary Shunt Vessels or Neovascularisation of the Optic Disc: Fluorescein Angiography Versus Optical Coherence Tomography Angiography.视睫状分流血管或视盘新生血管:荧光素血管造影与光学相干断层扫描血管造影对比
Neuroophthalmology. 2022 Mar 2;46(5):339-342. doi: 10.1080/01658107.2022.2033796. eCollection 2022.

引用本文的文献

1
Bilateral Hypertensive Papillopathy with Diffuse Retinal Telangiectasis.双侧高血压性视乳头病变伴弥漫性视网膜毛细血管扩张症
Beyoglu Eye J. 2022 Nov 15;7(4):334-338. doi: 10.14744/bej.2022.71676. eCollection 2022.
2
Combined therapy with intravitreal aflibercept and subtenon corticosteroids in eyes with severe diabetic papillopathy: two case reports.玻璃体腔内注射阿柏西普联合球旁注射皮质类固醇治疗严重糖尿病性视乳头病变:两例病例报告。
J Med Case Rep. 2021 Oct 22;15(1):518. doi: 10.1186/s13256-021-03129-1.
3
Swept-source optical coherence tomography angiography findings of diabetic papillopathy after intravitreal bevacizumab.

本文引用的文献

1
Diabetic papillopathy with macular edema treated with intravitreal ranibizumab.玻璃体内注射雷珠单抗治疗糖尿病性视乳头病变伴黄斑水肿。
Clin Ophthalmol. 2013;7:2257-60. doi: 10.2147/OPTH.S55076. Epub 2013 Nov 27.
2
Diabetic papillopathy with macular edema treated with intravitreal bevacizumab.玻璃体内注射贝伐单抗治疗糖尿病性视乳头病变伴黄斑水肿。
Oman J Ophthalmol. 2011 Sep;4(3):135-8. doi: 10.4103/0974-620X.91270.
3
Nonarteritic anterior ischemic optic neuropathy: clinical characteristics in diabetic patients versus nondiabetic patients.
玻璃体内注射贝伐单抗后糖尿病性视乳头病变的扫频源光学相干断层扫描血管造影结果
Am J Ophthalmol Case Rep. 2020 May 16;19:100748. doi: 10.1016/j.ajoc.2020.100748. eCollection 2020 Sep.
非动脉炎性前部缺血性视神经病变:糖尿病患者与非糖尿病患者的临床特征
Ophthalmology. 2008 Oct;115(10):1818-25. doi: 10.1016/j.ophtha.2008.03.032. Epub 2008 May 27.
4
Pathophysiological consequences of VEGF-induced vascular permeability.血管内皮生长因子(VEGF)诱导的血管通透性的病理生理后果。
Nature. 2005 Sep 22;437(7058):497-504. doi: 10.1038/nature03987.
5
Intravitreal triamcinolone acetonide for the management of diabetic papillopathy.玻璃体内注射曲安奈德治疗糖尿病性视乳头病变
Am J Ophthalmol. 2004 Jun;137(6):1151-3. doi: 10.1016/j.ajo.2004.01.032.
6
Diabetic papillopathy in type II diabetic patients.II型糖尿病患者的糖尿病性视乳头病变
Retina. 2002 Dec;22(6):752-8. doi: 10.1097/00006982-200212000-00011.
7
Indocyanine green and fluorescein angiography in nonarteritic anterior ischemic optic neuropathy.吲哚菁绿和荧光素血管造影在非动脉炎性前部缺血性视神经病变中的应用
Retina. 2002 Apr;22(2):187-91. doi: 10.1097/00006982-200204000-00009.
8
Diabetic papillopathy. Patient characteristics and fundus findings.糖尿病性视乳头病变。患者特征及眼底表现。
Arch Ophthalmol. 1995 Jul;113(7):889-95. doi: 10.1001/archopht.1995.01100070063026.
9
Diabetic papillopathy.糖尿病性视乳头病变
Am J Ophthalmol. 1980 Aug;90(2):203-9. doi: 10.1016/s0002-9394(14)74854-8.
10
Pseudopapilledema of juvenile diabetes mellitus.青少年糖尿病性假性视乳头水肿
Arch Ophthalmol. 1971 Apr;85(4):417-22. doi: 10.1001/archopht.1971.00990050419004.