Ajayi Olusola L, Antia Richard E, Ojo Olufemi E, Awoyomi Olajoju J, Oyinlola Latifa A, Ojebiyi Oluwabusola G
Department of Veterinary Pathology, Federal University of Agriculture.
Onderstepoort J Vet Res. 2017 Mar 24;84(1):e1-e9. doi: 10.4102/ojvr.v84i1.1210.
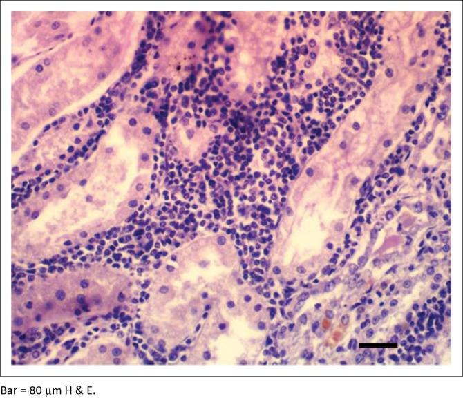
There is paucity of information on the prevalence of leptospirosis in wildlife in Nigeria. This study investigated the prevalence and renal pathology of leptospirosis in wild animals in Southwest Nigeria. One hundred and five kidney samples were examined from 10 different wildlife species (antelope) greater cane rat (GCR), hare, African giant rat (AGR), tree hyrax, civet cat, monitor lizard, python, bushbuck and partridge) using a combination of Ellinghausen McCullough Johnson Harris (EMJH) medium, microscopic agglutination test (MAT), Warthin- Starry silver stain (WSss) and immunohistochemistry. Chi-square test was used with confidence level set at 0.05 to ascertain associations between positive cases and sex and species. Eightytwo (78.1%) samples were culturally positive, while 67.7% (63/93), 57.0% (16/28) and 66.7% (8/12) were WSss, MAT and immunohistochemically positive, respectively. Interstitial nephritis (41.0%) and tubular nephrosis (81.0%) were the most prominent histopathological changes. Pathogenic Leptospira organisms were highest in GCR (32.1%) and antelope (14.3%). Serovars hardjo (11.54%), bratislava (3.9%), canicola (3.9%), icterohaemorrhagiae (15.4%), pomona (7.14%) gripptotyphosa (19.2%) and undetermined isolates were also detected in other animals. The result showed high prevalence of Leptospira infection in the wild and the possibility of domestic animals and humans contracting the disease. This study is the first documentation of evidence of pathogenic Leptospira species in wildlife in Nigeria.
关于尼日利亚野生动物中钩端螺旋体病的流行情况,目前资料匮乏。本研究调查了尼日利亚西南部野生动物中钩端螺旋体病的流行情况及其肾脏病理学。使用埃林豪森-麦卡洛-约翰逊-哈里斯(EMJH)培养基、显微镜凝集试验(MAT)、沃辛-斯塔瑞银染色(WSss)和免疫组织化学相结合的方法,对来自10种不同野生动物物种(羚羊、大蔗鼠(GCR)、野兔、非洲巨鼠(AGR)、树蹄兔、果子狸、巨蜥、蟒蛇、薮羚和鹧鸪)的105份肾脏样本进行了检测。采用卡方检验,置信水平设定为0.05,以确定阳性病例与性别和物种之间的关联。82份(78.1%)样本培养呈阳性,而WSss、MAT和免疫组织化学阳性率分别为67.7%(63/93)、57.0%(16/28)和66.7%(8/12)。间质性肾炎(41.0%)和肾小管坏死(81.0%)是最显著的组织病理学变化。致病性钩端螺旋体在大蔗鼠(32.1%)和羚羊(14.3%)中含量最高。在其他动物中还检测到了哈焦血清型(11.54%)、布拉迪斯拉发血清型(3.9%)、犬型血清型(3.9%)、出血性黄疸型血清型(15.4%)、波摩那血清型(7.14%)、七日热血清型(19.2%)以及未确定的分离株。结果显示,野生动物中钩端螺旋体感染率很高,家畜和人类有感染该疾病的可能性。本研究首次记录了尼日利亚野生动物中致病性钩端螺旋体物种的证据。