Shiao Young-Ji, Su Muh-Hwan, Lin Hang-Ching, Wu Chi-Rei
National Research Institute of Chinese Medicine, Ministry of Health and Welfare, Taipei 11490, Taiwan.
School of Pharmacy, National Defense Medical Center, Taipei 11490, Taiwan.
Int J Mol Sci. 2017 Apr 24;18(4):895. doi: 10.3390/ijms18040895.
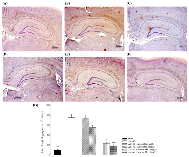
Acteoside and isoacteoside, two phenylethanoid glycosides, coexist in some plants. This study investigates the memory-improving and cytoprotective effects of acteoside and isoacteoside in amyloid β peptide 1-42 (Aβ 1-42)-infused rats and Aβ 1-42-treated SH-SY5Y cells. It further elucidates the role of amyloid cascade and central neuronal function in these effects. Acteoside and isoacteoside ameliorated cognitive deficits, decreased amyloid deposition, and reversed central cholinergic dysfunction that were caused by Aβ 1-42 in rats. Acteoside and isoacteoside further decreased extracellular Aβ 1-40 production and restored the cell viability that was decreased by Aβ 1-42 in SH-SY5Y cells. Acteoside and isoacteoside also promoted Aβ 1-40 degradation and inhibited Aβ 1-42 oligomerization in vitro. However, the memory-improving and cytoprotective effects of isoacteoside exceeded those of acteoside. Isoacteoside promoted exploratory behavior and restored cortical and hippocampal dopamine levels, but acteoside did not. We suggest that acteoside and isoacteoside ameliorated the cognitive dysfunction that was caused by Aβ 1-42 by blocking amyloid deposition via preventing amyloid oligomerization, and reversing central neuronal function via counteracting amyloid cytotoxicity.
毛蕊花糖苷和异毛蕊花糖苷这两种苯乙醇苷类化合物共存于某些植物中。本研究调查了毛蕊花糖苷和异毛蕊花糖苷对注射淀粉样β肽1-42(Aβ 1-42)的大鼠以及经Aβ 1-42处理的SH-SY5Y细胞的记忆改善和细胞保护作用。进一步阐明了淀粉样蛋白级联反应和中枢神经元功能在这些作用中的角色。毛蕊花糖苷和异毛蕊花糖苷改善了大鼠因Aβ 1-42引起的认知缺陷,减少了淀粉样蛋白沉积,并逆转了中枢胆碱能功能障碍。毛蕊花糖苷和异毛蕊花糖苷进一步降低了SH-SY5Y细胞外Aβ 1-40的产生,并恢复了因Aβ 1-42而降低的细胞活力。毛蕊花糖苷和异毛蕊花糖苷在体外还促进了Aβ 1-40的降解并抑制了Aβ 1-42的寡聚化。然而,异毛蕊花糖苷的记忆改善和细胞保护作用超过了毛蕊花糖苷。异毛蕊花糖苷促进了探索行为并恢复了皮质和海马体中的多巴胺水平,但毛蕊花糖苷没有。我们认为,毛蕊花糖苷和异毛蕊花糖苷通过防止淀粉样蛋白寡聚化来阻断淀粉样蛋白沉积,并通过对抗淀粉样蛋白细胞毒性来逆转中枢神经元功能,从而改善了由Aβ 1-42引起的认知功能障碍。