Suppr超能文献

一种新型伤口愈合软膏——鳄鱼油烧伤软膏的有效性评估

EVALUATION OF EFFECTIVENESS IN A NOVEL WOUND HEALING OINTMENT-CROCODILE OIL BURN OINTMENT.

作者信息

Li Hua-Liang, Deng Yi-Tao, Zhang Zi-Ran, Fu Qi-Rui, Zheng Ya-Hui, Cao Xing-Mei, Nie Jing, Fu Li-Wen, Chen Li-Ping, Xiong You-Xiong, Shen Dong-Yan, Chen Qing-Xi

机构信息

State Key Laboratory of Cellular Stress Biology, State Key Laboratory of Marine Environmental Science, Xiamen University, Xiamen 361005, China.

Guangzhou TuoLong Bio-technology Co., Ltd., Guangzhou, China.

出版信息

Afr J Tradit Complement Altern Med. 2016 Nov 23;14(1):62-72. doi: 10.21010/ajtcam.v14i1.8. eCollection 2017.

Abstract

BACKGROUND

Crocodile oil and its products are used as ointments for burns and scalds in traditional medicines. A new ointment formulation - crocodile oil burn ointment (COBO) was developed to provide more efficient wound healing activity. The purpose of the study was to evaluate the burn healing efficacy of this new formulation by employing deep second-degree burns in a Wistar rat model. The analgesic and anti-inflammatory activities of COBO were also studied to provide some evidences for its further use.

MATERIALS AND METHODS

The wound healing potential of this formulation was evaluated by employing a deep second-degree burn rat model and the efficiency was comparatively assessed against a reference ointment - (1% wt/wt) silver sulfadiazine (SSD). After 28 days, the animals were euthanized and the wounds were removed for transversal and longitudinal histological studies. Acetic acid-induced writhing in mice was used to evaluate the analgesic activity and its anti-inflammatory activity was observed in xylene -induced edema in mice.

RESULTS

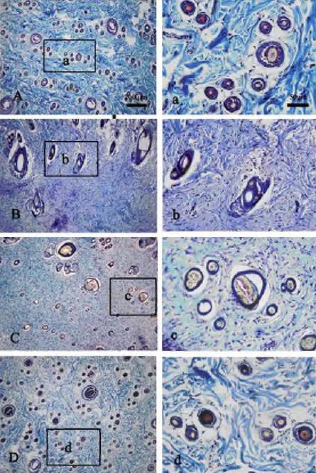
COBO enhanced the burn wound healing (20.5±1.3 d) as indicated by significant decrease in wound closure time compared with the burn control (25.0±2.16 d) (<0.01). Hair follicles played an importance role in the physiological functions of the skin, and their growth in the wound could be revealed for the skin regeneration situation. Histological results showed that the hair follicles were well-distributed in the post-burn skin of COBO treatment group, and the amounts of total, active, primary and secondary hair follicles in post-burn 28-day skin of COBO treatment groups were more than those in burn control and SSD groups. On the other hand, the analgesic and anti-inflammatory activity of COBO were much better than those of control group, while they were very close to those of moist exposed burn ointment (MEBO).

CONCLUSIONS

COBO accelerated wound closure, reduced inflammation, and had analgesic effects compared with SSD in deep second degree rat burn model. These findings suggest that COBO would be a potential therapy for treating human burns. COBO, crocodile oil burn ointment; SSD, silver sulfadiazine; MEBO, moist exposed burn ointment; TCM, traditional Chinese medicine; CHM, Chinese herbal medicine; GC-MS, gas chromatography-mass spectrometry.

摘要

背景

鳄鱼油及其制品在传统医学中被用作烧伤和烫伤的药膏。一种新的药膏配方——鳄鱼油烧伤膏(COBO)被研发出来,以提供更有效的伤口愈合活性。本研究的目的是通过在Wistar大鼠模型中造成深二度烧伤来评估这种新配方的烧伤愈合效果。还研究了COBO的镇痛和抗炎活性,为其进一步应用提供一些依据。

材料与方法

通过深二度烧伤大鼠模型评估该配方的伤口愈合潜力,并与对照药膏——(1%重量/重量)磺胺嘧啶银(SSD)进行效率比较评估。28天后,对动物实施安乐死并取下伤口进行横向和纵向组织学研究。采用乙酸诱导小鼠扭体法评估镇痛活性,并在二甲苯诱导的小鼠水肿中观察其抗炎活性。

结果

与烧伤对照组(25.0±2.16天)相比,COBO显著缩短了伤口愈合时间(20.5±1.3天),表明其促进了烧伤创面愈合(P<0.01)。毛囊在皮肤的生理功能中起重要作用,其在伤口中的生长情况可反映皮肤再生状况。组织学结果显示,COBO治疗组烧伤后皮肤中毛囊分布良好,COBO治疗组烧伤后28天皮肤中总毛囊、活跃毛囊、初级毛囊和次级毛囊的数量均多于烧伤对照组和SSD组。另一方面,COBO的镇痛和抗炎活性明显优于对照组,且与湿润烧伤膏(MEBO)非常接近。

结论

在深二度大鼠烧伤模型中,与SSD相比,COBO加速了伤口闭合,减轻了炎症,并具有镇痛作用。这些发现表明,COBO可能是一种治疗人类烧伤的潜在疗法。COBO,鳄鱼油烧伤膏;SSD,磺胺嘧啶银;MEBO,湿润烧伤膏;TCM,传统医学;CHM,中草药;GC-MS,气相色谱-质谱联用仪

https://cdn.ncbi.nlm.nih.gov/pmc/blobs/7c16/5411886/753db46b9af7/AJTCAM-14-62-g001.jpg

文献检索

告别复杂PubMed语法,用中文像聊天一样搜索,搜遍4000万医学文献。AI智能推荐,让科研检索更轻松。

立即免费搜索

文件翻译

保留排版,准确专业,支持PDF/Word/PPT等文件格式,支持 12+语言互译。

免费翻译文档

深度研究

AI帮你快速写综述,25分钟生成高质量综述,智能提取关键信息,辅助科研写作。

立即免费体验