Suppr超能文献

阴茎黑色素瘤:对秘鲁利马国家癌症研究所的6名患者进行的20年分析。

Penile melanoma: a 20-Year analysis of six patients at the National Cancer Institute of Peru, Lima.

作者信息

Jabiles Andres Guevara, Del Mar Edilberto Yabar, Perez Gilmer Arcenio Diaz, Vera Fernando Quiroa, Montoya Luis Meza, Deza Carlos Manuel Morante

机构信息

Urological Oncology Department, National Cancer Institute, Lima 34, Peru.

出版信息

Ecancermedicalscience. 2017 Apr 4;11:731. doi: 10.3332/ecancer.2017.731. eCollection 2017.

Abstract

UNLABELLED

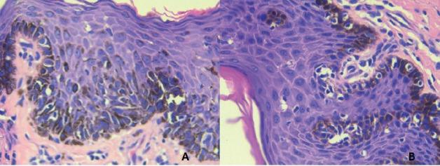
Melanoma of the urogenital tract is extremely rare, accounting for less than 0.1% of melanoma cases. The global literature currently describes only 220 cases of penile melanoma, most commonly located on the glans penis.

RESULTS

Penile melanoma accounts for 0.7% of penile cancers and 0.18% of melanoma cases. The average patient age for the six cases we reviewed was 44.5 years. Three of these cases (50%) involved ulceration, one case (16.7%) involved lymphovascular invasion, and three cases (50%) involved mitosis ≥ 1 mm (0.38-4.7 mm). The average depth of invasion (Breslow) in the five cases that reported this measure was 2.1 mm (0.38-4.7 mm). Applying the American Joint Committee on Cancer tumour, node, metastases (AJCC TNM) staging system, one case was Tx (16.7%), two cases were T1 (33.3%), one case was T2 (16.7%), one case was T3 (16.7%), and one case was T4 (16.7%). Five cases (83.3%) involved wide local resection, and only one case involved partial penile amputation. Four cases (66.7%) involved primary bilateral inguinocrural lymphadenectomy, and only one of those four cases involved lymphatic metastatic disease. One case (16.7%) involved lymphatic recurrence at 12 months in a patient who survived 38 months. One case (16.7%) involved local recurrence at 13 months in a patient who has survived 53 months. Eighty per cent of these patients remain alive, with no evidence of disease after an average follow-up of 96.7 months.

CONCLUSION

Penile melanoma prognosis depends on the initial clinical stage of the disease. The risk of lymphatic involvement seems to be related to the same risk factors used to assess cutaneous melanoma. Clinicians can thus assess penile melanoma using the AJCC staging system. The use of sentinel lymph node biopsy to determine staging is also becoming more common and could replace prophylactic bilateral inguinal dissection.

摘要

未标注

泌尿生殖道黑色素瘤极为罕见,占黑色素瘤病例的比例不到0.1%。目前全球文献仅描述了220例阴茎黑色素瘤病例,最常见于阴茎头。

结果

阴茎黑色素瘤占阴茎癌的0.7%,占黑色素瘤病例的0.18%。我们回顾的6例患者的平均年龄为44.5岁。其中3例(50%)有溃疡,1例(16.7%)有淋巴管侵犯,3例(50%)有丝分裂≥1毫米(0.38 - 4.7毫米)。报告该测量值的5例患者的平均浸润深度( Breslow)为2.1毫米(0.38 - 4.7毫米)。应用美国癌症联合委员会肿瘤、淋巴结、转移(AJCC TNM)分期系统,1例为Tx(16.7%),2例为T1(33.3%),1例为T2(16.7%),1例为T3(16.7%),1例为T4(16.7%)。5例(83.3%)行广泛局部切除,仅1例行部分阴茎截肢术。4例(66.7%)行原发性双侧腹股沟股淋巴结清扫术,其中仅1例有淋巴结转移疾病。1例(16.7%)患者在12个月时出现淋巴复发,存活38个月。1例(16.7%)患者在13个月时出现局部复发,存活53个月。这些患者中有80%仍然存活,平均随访96.7个月后无疾病证据。

结论

阴茎黑色素瘤的预后取决于疾病的初始临床分期。淋巴管受累风险似乎与用于评估皮肤黑色素瘤的风险因素相同。因此,临床医生可以使用AJCC分期系统评估阴茎黑色素瘤。使用前哨淋巴结活检来确定分期也越来越普遍,并且可以取代预防性双侧腹股沟清扫术。

https://cdn.ncbi.nlm.nih.gov/pmc/blobs/4a20/5406220/960b5387a48c/can-11-731fig1.jpg

文献检索

告别复杂PubMed语法,用中文像聊天一样搜索,搜遍4000万医学文献。AI智能推荐,让科研检索更轻松。

立即免费搜索

文件翻译

保留排版,准确专业,支持PDF/Word/PPT等文件格式,支持 12+语言互译。

免费翻译文档

深度研究

AI帮你快速写综述,25分钟生成高质量综述,智能提取关键信息,辅助科研写作。

立即免费体验