• 文献检索
  • 文档翻译
  • 深度研究
  • 学术资讯
  • Suppr Zotero 插件Zotero 插件
  • 邀请有礼
  • 套餐&价格
  • 历史记录
应用&插件
Suppr Zotero 插件Zotero 插件浏览器插件Mac 客户端Windows 客户端微信小程序
定价
高级版会员购买积分包购买API积分包
服务
文献检索文档翻译深度研究API 文档MCP 服务
关于我们
关于 Suppr公司介绍联系我们用户协议隐私条款
关注我们

Suppr 超能文献

核心技术专利:CN118964589B侵权必究
粤ICP备2023148730 号-1Suppr @ 2026

文献检索

告别复杂PubMed语法,用中文像聊天一样搜索,搜遍4000万医学文献。AI智能推荐,让科研检索更轻松。

立即免费搜索

文件翻译

保留排版,准确专业,支持PDF/Word/PPT等文件格式,支持 12+语言互译。

免费翻译文档

深度研究

AI帮你快速写综述,25分钟生成高质量综述,智能提取关键信息,辅助科研写作。

立即免费体验

原发性弥漫性大B细胞淋巴瘤或3级淋巴瘤样肉芽肿病:尸检中仍令人困惑的诊断。

Primary diffuse large B-cell lymphoma or lymphomatoid granulomatosis grade 3: a still-puzzling diagnosis in autopsy.

作者信息

de Campos Fernando Peixoto Ferraz, Felipe-Silva Aloísio, Zerbini Maria Claudia Nogueira, Martines João Augusto Dos Santos

机构信息

Department of Internal Medicine - Hospital Universitário - Universidade de São Paulo, São Paulo/SP - Brazil.

Anatomic Pathology Service - Hospital Universitário - Universidade de São Paulo, São Paulo/SP - Brazil.

出版信息

Autops Case Rep. 2013 Dec 31;3(4):29-36. doi: 10.4322/acr.2013.036. eCollection 2013 Oct-Dec.

DOI:10.4322/acr.2013.036
PMID:28584804
原文链接:https://pmc.ncbi.nlm.nih.gov/articles/PMC5453658/
Abstract

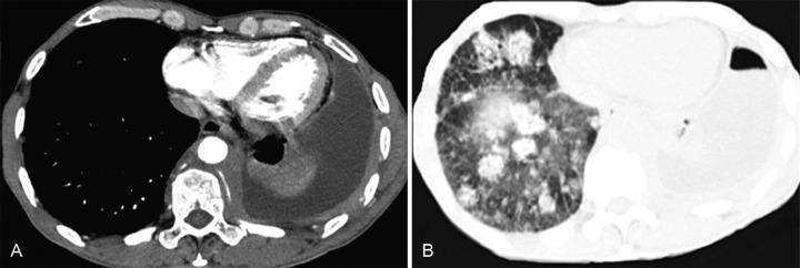
Primary lung lymphoma is a rare entity accounting for approximately 0.3% of all primary neoplasia of the lung and includes diffuse large B-cell lymphoma (DLBL) and lymphomatoid granulomatosis (LYG). Considering that clinical features may be similar, whereas epidemiology, morphology, and radiological features are different, the authors report a case of a middle-aged man who presented multiple pulmonary nodules in the lower lobes and ground-glass opacities scattered bilaterally on computed tomography. Clinically, he presented a consumptive syndrome with respiratory failure and pleurisy, which progressed until death. The autopsy findings were consistent with lymphomatoid granulomatosis (LYG) grade 3/ diffuse large B-cell lymphoma (DLBL). The authors call attention to the difficulty of establishing an accurate diagnosis, mainly when the demonstration of EBV-infected atypical B-cells fails.

摘要

原发性肺淋巴瘤是一种罕见的疾病,约占所有原发性肺肿瘤的0.3%,包括弥漫性大B细胞淋巴瘤(DLBL)和淋巴瘤样肉芽肿病(LYG)。鉴于临床特征可能相似,而流行病学、形态学和放射学特征不同,作者报告了一例中年男性病例,该患者在计算机断层扫描中显示下叶有多个肺结节,双侧散在磨玻璃影。临床上,他表现为消耗综合征伴呼吸衰竭和胸膜炎,病情进展直至死亡。尸检结果符合3级淋巴瘤样肉芽肿病(LYG)/弥漫性大B细胞淋巴瘤(DLBL)。作者提醒注意准确诊断的困难,主要是在未能证实EBV感染的非典型B细胞时。

https://cdn.ncbi.nlm.nih.gov/pmc/blobs/7f0a/5453658/cc41187ec418/autopsy-03-04029-g04.jpg
https://cdn.ncbi.nlm.nih.gov/pmc/blobs/7f0a/5453658/1283c16c2291/autopsy-03-04029-g01.jpg
https://cdn.ncbi.nlm.nih.gov/pmc/blobs/7f0a/5453658/c8e482e68d99/autopsy-03-04029-g02.jpg
https://cdn.ncbi.nlm.nih.gov/pmc/blobs/7f0a/5453658/e65830eb2e28/autopsy-03-04029-g03.jpg
https://cdn.ncbi.nlm.nih.gov/pmc/blobs/7f0a/5453658/cc41187ec418/autopsy-03-04029-g04.jpg
https://cdn.ncbi.nlm.nih.gov/pmc/blobs/7f0a/5453658/1283c16c2291/autopsy-03-04029-g01.jpg
https://cdn.ncbi.nlm.nih.gov/pmc/blobs/7f0a/5453658/c8e482e68d99/autopsy-03-04029-g02.jpg
https://cdn.ncbi.nlm.nih.gov/pmc/blobs/7f0a/5453658/e65830eb2e28/autopsy-03-04029-g03.jpg
https://cdn.ncbi.nlm.nih.gov/pmc/blobs/7f0a/5453658/cc41187ec418/autopsy-03-04029-g04.jpg

相似文献

1
Primary diffuse large B-cell lymphoma or lymphomatoid granulomatosis grade 3: a still-puzzling diagnosis in autopsy.原发性弥漫性大B细胞淋巴瘤或3级淋巴瘤样肉芽肿病:尸检中仍令人困惑的诊断。
Autops Case Rep. 2013 Dec 31;3(4):29-36. doi: 10.4322/acr.2013.036. eCollection 2013 Oct-Dec.
2
Lymphomatoid granulomatosis: a case report with unique clinical and histopathologic features.淋巴瘤样肉芽肿病:一例具有独特临床和组织病理学特征的病例报告。
Ann Clin Lab Sci. 2013 Spring;43(2):181-5.
3
[A case of lymphomatoid granulomatosis which initially demonstrated a diffuse ground glass appearance].一例最初表现为弥漫性磨玻璃样外观的淋巴瘤样肉芽肿病
Nihon Kokyuki Gakkai Zasshi. 2010 Jan;48(1):49-54.
4
Unsuspected lymphomatoid granulomatosis in a patient with antisynthetase syndrome.抗合成酶综合征患者中未被怀疑的淋巴瘤样肉芽肿病。
Cutis. 2017 Oct;100(4):E22-E26.
5
Lymphomatoid granulomatosis: a practical review for pathologists dealing with this rare pulmonary lymphoproliferative process.淋巴瘤样肉芽肿病:针对处理这种罕见的肺淋巴增殖性疾病的病理学家的实用综述。
Pathologica. 2013 Aug;105(4):111-6.
6
Pulmonary Lymphomatoid Granulomatosis With Hemophagocytic Lymphohistiocytosis as the Initial Manifestation.以噬血细胞性淋巴组织细胞增生症为首发表现的肺淋巴瘤样肉芽肿病。
Front Oncol. 2020 Jan 29;10:34. doi: 10.3389/fonc.2020.00034. eCollection 2020.
7
Primary lymphomatoid granulomatosis in the central nervous system: A report of three cases.中枢神经系统原发性淋巴瘤样肉芽肿病:三例报告
Neuropathology. 2018 Apr 10. doi: 10.1111/neup.12467.
8
A Case of Hodgkin Lymphoma Mimicking Lymphomatoid Granulomatosis Diagnosed at Autopsy.
Lab Med. 2017 Dec 22;49(1):80-86. doi: 10.1093/labmed/lmx065.
9
Posttransplant diffuse large B-cell lymphoma of "lymphomatoid granulomatosis" type.移植后“淋巴瘤样肉芽肿病”型弥漫性大B细胞淋巴瘤
Virchows Arch. 2002 Dec;441(6):622-8. doi: 10.1007/s00428-002-0694-x.
10
Lymphomatoid granulomatosis.淋巴样肉芽肿病。
Cancer J. 2012 Sep-Oct;18(5):469-74. doi: 10.1097/PPO.0b013e31826c5e19.

引用本文的文献

1
Acute respiratory failure developing in a patient with lymphomatoid granulomatosis.患者患有淋巴样肉芽肿病,出现急性呼吸衰竭。
BMJ Case Rep. 2023 Dec 16;16(12):e255697. doi: 10.1136/bcr-2023-255697.

本文引用的文献

1
Pleural Fluid Cytology of the Polymorphous Variant of EBV-Positive Diffuse Large B-Cell Lymphoma: First Report and Distinction from a Reactive Process.EB病毒阳性弥漫性大B细胞淋巴瘤多形性变异型的胸腔积液细胞学:首例报告及与反应性过程的鉴别
Case Rep Pathol. 2013;2013:459279. doi: 10.1155/2013/459279. Epub 2013 Sep 3.
2
Hematopoietic stem cell transplantation in patients with lymphomatoid granulomatosis: a European group for blood and marrow transplantation report.造血干细胞移植治疗淋巴瘤样肉芽肿病患者:欧洲血液和骨髓移植组报告。
Biol Blood Marrow Transplant. 2013 Oct;19(10):1522-5. doi: 10.1016/j.bbmt.2013.07.023. Epub 2013 Aug 13.
3
Long-term remission after multiple relapses in an elderly patient with lymphomatoid granulomatosis after rituximab and high-dose cytarabine chemotherapy without stem-cell transplantation.
J Clin Oncol. 2013 Aug 1;31(22):e390-3. doi: 10.1200/JCO.2012.47.4999. Epub 2013 Jun 24.
4
Lymphomatoid granulomatosis: a case report with unique clinical and histopathologic features.淋巴瘤样肉芽肿病:一例具有独特临床和组织病理学特征的病例报告。
Ann Clin Lab Sci. 2013 Spring;43(2):181-5.
5
Lymphomatoid granulomatosis with CNS involvement can lead to spontaneous remission: case study.伴有中枢神经系统受累的淋巴瘤样肉芽肿病可导致自发缓解:病例报告
CNS Neurosci Ther. 2013 Jul;19(7):536-8. doi: 10.1111/cns.12109. Epub 2013 Apr 13.
6
Lymphoproliferative neoplasms of the lung: a review.肺淋巴增殖性肿瘤:综述。
Arch Pathol Lab Med. 2013 Mar;137(3):382-91. doi: 10.5858/arpa.2012-0202-RA.
7
Epicardial mass causing cardiac compression: an unusual involvement in lymphomatoid granulomatosis.引起心脏压迫的心外膜肿块:淋巴瘤样肉芽肿病的一种不寻常表现。
Tex Heart Inst J. 2012;39(1):116-8.
8
Current histological diagnosis of lymphomatoid granulomatosis.现行的淋巴瘤样肉芽肿病的组织学诊断。
Mod Pathol. 2012 Jan;25 Suppl 1:S39-42. doi: 10.1038/modpathol.2011.149.
9
Lymphomatoid granulomatosis: CT and FDG-PET findings.淋巴样肉芽肿病:CT 和 FDG-PET 表现。
Korean J Radiol. 2011 Nov-Dec;12(6):671-8. doi: 10.3348/kjr.2011.12.6.671. Epub 2011 Sep 27.
10
A case of diffuse large B-cell lymphoma of the lung demonstrating diffuse ground-glass shadows.一例表现为弥漫性磨玻璃影的肺弥漫性大B细胞淋巴瘤。
Ann Thorac Cardiovasc Surg. 2011;17(6):591-4. doi: 10.5761/atcs.cr.10.01651. Epub 2011 Aug 17.