Suppr超能文献

姜黄的热水提取物通过抑制肝脏氧化应激和炎性细胞因子的产生来抑制小鼠急性乙醇诱导的肝损伤。

A hot water extract of turmeric () suppresses acute ethanol-induced liver injury in mice by inhibiting hepatic oxidative stress and inflammatory cytokine production.

作者信息

Uchio Ryusei, Higashi Yohei, Kohama Yusuke, Kawasaki Kengo, Hirao Takashi, Muroyama Koutarou, Murosaki Shinji

机构信息

Research & Development Institute, House Wellness Foods Corporation, 3-20 Imoji, Itami 664-0011, Japan.

Central Research & Development Institute, House Foods Group Inc., 1-4 Takanodai, Yotsukaido 284-0033, Japan.

出版信息

J Nutr Sci. 2017 Jan 12;6:e3. doi: 10.1017/jns.2016.43. eCollection 2017.

Abstract

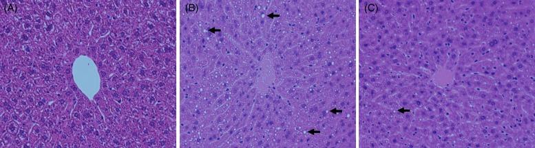
Turmeric () is a widely used spice that has various biological effects, and aqueous extracts of turmeric exhibit potent antioxidant activity and anti-inflammatory activity. Bisacurone, a component of turmeric extract, is known to have similar effects. Oxidative stress and inflammatory cytokines play an important role in ethanol-induced liver injury. This study was performed to evaluate the influence of a hot water extract of (WEC) or bisacurone on acute ethanol-induced liver injury. C57BL/6 mice were orally administered WEC (20 mg/kg body weight; BW) or bisacurone (60 µg/kg BW) at 30 min before a single dose of ethanol was given by oral administration (3·0 g/kg BW). Plasma levels of aspartate aminotransferase and alanine aminotransferase were markedly increased in ethanol-treated mice, while the increase of these enzymes was significantly suppressed by prior administration of WEC. The increase of alanine aminotransferase was also significantly suppressed by pretreatment with bisacurone. Compared with control mice, animals given WEC had higher hepatic tissue levels of superoxide dismutase and glutathione, as well as lower hepatic tissue levels of thiobarbituric acid-reactive substances, TNF-α protein and IL-6 mRNA. These results suggest that oral administration of WEC may have a protective effect against ethanol-induced liver injury by suppressing hepatic oxidation and inflammation, at least partly through the effects of bisacurone.

摘要

姜黄是一种广泛使用的香料,具有多种生物学效应,姜黄的水提取物具有强大的抗氧化活性和抗炎活性。姜黄素是姜黄提取物的一种成分,已知具有类似的作用。氧化应激和炎性细胞因子在乙醇诱导的肝损伤中起重要作用。本研究旨在评估姜黄热水提取物(WEC)或姜黄素对急性乙醇诱导的肝损伤的影响。在通过口服给予单剂量乙醇(3.0 g/kg体重)前30分钟,给C57BL/6小鼠口服WEC(20 mg/kg体重;BW)或姜黄素(60 μg/kg BW)。乙醇处理的小鼠血浆中天冬氨酸转氨酶和丙氨酸转氨酶水平显著升高,而预先给予WEC可显著抑制这些酶的升高。用姜黄素预处理也可显著抑制丙氨酸转氨酶的升高。与对照小鼠相比,给予WEC的动物肝脏组织中超氧化物歧化酶和谷胱甘肽水平较高,而肝脏组织中硫代巴比妥酸反应性物质、TNF-α蛋白和IL-6 mRNA水平较低。这些结果表明,口服WEC可能通过抑制肝脏氧化和炎症,至少部分通过姜黄素的作用,对乙醇诱导的肝损伤具有保护作用。

https://cdn.ncbi.nlm.nih.gov/pmc/blobs/31ec/5465857/413c1a69f016/S2048679016000434_fig1.jpg

文献检索

告别复杂PubMed语法,用中文像聊天一样搜索,搜遍4000万医学文献。AI智能推荐,让科研检索更轻松。

立即免费搜索

文件翻译

保留排版,准确专业,支持PDF/Word/PPT等文件格式,支持 12+语言互译。

免费翻译文档

深度研究

AI帮你快速写综述,25分钟生成高质量综述,智能提取关键信息,辅助科研写作。

立即免费体验