Suppr超能文献

精神分裂症中局部和远程功能连接密度的异常模式。

Aberrant patterns of local and long-range functional connectivity densities in schizophrenia.

作者信息

Liu Chuanxin, Zhang Wei, Chen Guangdong, Tian Hongjun, Li Jie, Qu Hongru, Cheng Langlang, Zhu Jingjing, Zhuo Chuanjun

机构信息

Institute of Mental Health, Jining Medical University, Jining 272100, China.

Department of Psychiatry, Wenzhou Seventh People's Hospital, Wen Zhou 325000, China.

出版信息

Oncotarget. 2017 Jul 18;8(29):48196-48203. doi: 10.18632/oncotarget.18441.

Abstract

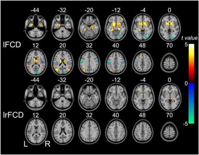
Schizophrenia is a disorder of brain dysconnectivity, and both the connection strength and connection number are disrupted in patients with schizophrenia. The functional connectivity density (FCD) can reflect alterations in the connection number. Alterations in the global FCD (gFCD) in schizophrenia were previously demonstrated; however, alterations in two other indices of the pathological characteristics of the brain, local FCD (lFCD) and long-range FCD (lrFCD), have not been revealed. To investigate lFCD and lrFCD alterations in patients with schizophrenia, 95 patients and 93 matched healthy controls were examined using structural and resting-state functional magnetic resonance imaging scanning. lFCD and lrFCD were measured using FCD mapping, and differences were identified using a two-sample t-test in a voxel-wise manner, with age and gender considered to increase variability. Multiple comparisons were performed using a false discovery rate method with a corrected threshold of P<0.05. Our analysis showed that lFCD was primarily decreased in the postcentral gyrus, right calcarine sulcus, and inferior occipital gyrus lobule, but increased in the bilateral subcortical regions. The differences in lFCD were more pronounced and complicated than those in lrFCD. In summary, in contrast with previous studies that focused on the connection strength, our findings, from the perspective of connection number, indicate that schizophrenia is a disorder of brain dysconnectivity, particularly affecting the local functional connectivity network, and support the hypothesis that schizophrenia is associated with a widespread cortical functional connectivity/activity deficit, with hyper- and/or hypo-connectivity/activity coexisting in some cortical or subcortical regions.

摘要

精神分裂症是一种大脑连接功能障碍性疾病,精神分裂症患者的连接强度和连接数量均受到破坏。功能连接密度(FCD)可以反映连接数量的改变。先前已证实精神分裂症患者的全脑功能连接密度(gFCD)存在改变;然而,大脑病理特征的另外两个指标,即局部功能连接密度(lFCD)和长程功能连接密度(lrFCD)的改变尚未被揭示。为了研究精神分裂症患者的lFCD和lrFCD改变,我们使用结构和静息态功能磁共振成像扫描对95例患者和93例匹配的健康对照进行了检查。使用FCD图谱测量lFCD和lrFCD,并采用双样本t检验以体素为单位识别差异,同时考虑年龄和性别以增加变异性。使用错误发现率方法进行多重比较,校正后的阈值为P<0.05。我们的分析表明,lFCD主要在中央后回、右侧距状沟和枕下回小叶降低,但在双侧皮质下区域增加。lFCD的差异比lrFCD更明显和复杂。总之,与以往关注连接强度的研究不同,我们从连接数量的角度发现,精神分裂症是一种大脑连接功能障碍性疾病,尤其影响局部功能连接网络,并支持精神分裂症与广泛的皮质功能连接/活动缺陷相关的假说,在一些皮质或皮质下区域存在连接增强和/或减弱以及活动增强和/或减弱并存的情况。

https://cdn.ncbi.nlm.nih.gov/pmc/blobs/6465/5564638/b9b270a7215a/oncotarget-08-48196-g001.jpg

文献检索

告别复杂PubMed语法,用中文像聊天一样搜索,搜遍4000万医学文献。AI智能推荐,让科研检索更轻松。

立即免费搜索

文件翻译

保留排版,准确专业,支持PDF/Word/PPT等文件格式,支持 12+语言互译。

免费翻译文档

深度研究

AI帮你快速写综述,25分钟生成高质量综述,智能提取关键信息,辅助科研写作。

立即免费体验