• 文献检索
  • 文档翻译
  • 深度研究
  • 学术资讯
  • Suppr Zotero 插件Zotero 插件
  • 邀请有礼
  • 套餐&价格
  • 历史记录
应用&插件
Suppr Zotero 插件Zotero 插件浏览器插件Mac 客户端Windows 客户端微信小程序
定价
高级版会员购买积分包购买API积分包
服务
文献检索文档翻译深度研究API 文档MCP 服务
关于我们
关于 Suppr公司介绍联系我们用户协议隐私条款
关注我们

Suppr 超能文献

核心技术专利:CN118964589B侵权必究
粤ICP备2023148730 号-1Suppr @ 2026

文献检索

告别复杂PubMed语法,用中文像聊天一样搜索,搜遍4000万医学文献。AI智能推荐,让科研检索更轻松。

立即免费搜索

文件翻译

保留排版,准确专业,支持PDF/Word/PPT等文件格式,支持 12+语言互译。

免费翻译文档

深度研究

AI帮你快速写综述,25分钟生成高质量综述,智能提取关键信息,辅助科研写作。

立即免费体验

实质性肺疾病和/或低氧血症中的肺动脉高压性血管病:“临床医生病理学”系列第1篇,由彼得·多夫米勒和阿尔贝托·卡瓦扎编辑。

Pulmonary hypertensive vasculopathy in parenchymal lung diseases and/or hypoxia: Number 1 in the Series "Pathology for the clinician" Edited by Peter Dorfmüller and Alberto Cavazza.

作者信息

Ghigna Maria Rosa, Mooi Wolter J, Grünberg Katrien

机构信息

Service d'Anatomie et de Cytologie Pathologiques, Hôpital Marie Lannelongue, Le Plessis Robinson, France

Dept of Pathology, VU University Medical Center, Amsterdam, The Netherlands.

出版信息

Eur Respir Rev. 2017 Jun 28;26(144). doi: 10.1183/16000617.0003-2017. Print 2017 Jun 30.

DOI:10.1183/16000617.0003-2017
PMID:28659502
原文链接:https://pmc.ncbi.nlm.nih.gov/articles/PMC9488579/
Abstract

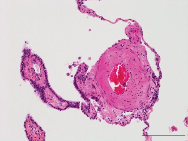
Pulmonary hypertension (PH) with complicating chronic lung diseases and/or hypoxia falls into group 3 of the updated classification of PH. Patients with chronic obstructive lung disease (COPD), diffuse lung disease (such as idiopathic pulmonary fibrosis (IPF)) and with sleep disordered breathing are particularly exposed to the risk of developing PH. Although PH in such a context is usually mild, a minority of patients exhibit severe haemodynamic impairment, defined by a mean pulmonary arterial pressure (mPAP) of ≥35 mmHg or mPAP values ranging between 25 mmHg and 35 mmHg with a low cardiac index (<2 L·min·m). The overlap between lung parenchymal disease and PH heavily affects life expectancy in such a patient population and complicates their therapeutic management. In this review we illustrate the pathological features and the underlying pathophysiological mechanisms of pulmonary circulation in chronic lung diseases, with an emphasis on COPD, IPF and obstructive sleep apnoea syndrome.

摘要

合并慢性肺部疾病和/或缺氧的肺动脉高压(PH)属于PH更新分类中的第3组。慢性阻塞性肺疾病(COPD)、弥漫性肺疾病(如特发性肺纤维化(IPF))以及睡眠呼吸障碍患者尤其容易发生PH。尽管在这种情况下的PH通常较轻,但少数患者表现出严重的血流动力学损害,定义为平均肺动脉压(mPAP)≥35 mmHg或mPAP值在25 mmHg至35 mmHg之间且心脏指数较低(<2 L·min·m)。肺实质疾病与PH之间的重叠严重影响了这类患者群体的预期寿命,并使其治疗管理变得复杂。在本综述中,我们阐述了慢性肺部疾病中肺循环的病理特征和潜在的病理生理机制,重点关注COPD、IPF和阻塞性睡眠呼吸暂停综合征。

https://cdn.ncbi.nlm.nih.gov/pmc/blobs/d89a/9488579/bb7b36344add/ERR-0003-2017.03.jpg
https://cdn.ncbi.nlm.nih.gov/pmc/blobs/d89a/9488579/532748509fcd/ERR-0003-2017.01.jpg
https://cdn.ncbi.nlm.nih.gov/pmc/blobs/d89a/9488579/fede709cb921/ERR-0003-2017.02.jpg
https://cdn.ncbi.nlm.nih.gov/pmc/blobs/d89a/9488579/bb7b36344add/ERR-0003-2017.03.jpg
https://cdn.ncbi.nlm.nih.gov/pmc/blobs/d89a/9488579/532748509fcd/ERR-0003-2017.01.jpg
https://cdn.ncbi.nlm.nih.gov/pmc/blobs/d89a/9488579/fede709cb921/ERR-0003-2017.02.jpg
https://cdn.ncbi.nlm.nih.gov/pmc/blobs/d89a/9488579/bb7b36344add/ERR-0003-2017.03.jpg

相似文献

1
Pulmonary hypertensive vasculopathy in parenchymal lung diseases and/or hypoxia: Number 1 in the Series "Pathology for the clinician" Edited by Peter Dorfmüller and Alberto Cavazza.实质性肺疾病和/或低氧血症中的肺动脉高压性血管病:“临床医生病理学”系列第1篇,由彼得·多夫米勒和阿尔贝托·卡瓦扎编辑。
Eur Respir Rev. 2017 Jun 28;26(144). doi: 10.1183/16000617.0003-2017. Print 2017 Jun 30.
2
Pulmonary hypertension in chronic lung diseases.慢性肺部疾病相关肺动脉高压。
J Am Coll Cardiol. 2013 Dec 24;62(25 Suppl):D109-16. doi: 10.1016/j.jacc.2013.10.036.
3
Effects of intermittent hypoxia on pulmonary haemodynamics: animal models versus studies in humans.间歇性低氧对肺血流动力学的影响:动物模型与人体研究对比
Eur Respir J. 2005 Jan;25(1):173-80. doi: 10.1183/09031936.04.00037204.
4
Pulmonary hemodynamic profile in chronic obstructive pulmonary disease.慢性阻塞性肺疾病的肺血流动力学特征
Int J Chron Obstruct Pulmon Dis. 2015 Jul 14;10:1313-20. doi: 10.2147/COPD.S78180. eCollection 2015.
5
Cardiovascular Disease in Patients with Chronic Obstructive Pulmonary Disease, Obstructive Sleep Apnoea Syndrome and Overlap Syndrome.慢性阻塞性肺疾病、阻塞性睡眠呼吸暂停综合征和重叠综合征患者的心血管疾病。
Curr Vasc Pharmacol. 2021;19(3):285-300. doi: 10.2174/1570161118666200318103553.
6
Idiopathic pulmonary fibrosis and sleep disorders: no longer strangers in the night.特发性肺纤维化与睡眠障碍:不再是夜间的陌生人。
Eur Respir Rev. 2015 Jun;24(136):327-39. doi: 10.1183/16000617.00009114.
7
Update on obstructive sleep apnea and its relation to COPD.阻塞性睡眠呼吸暂停及其与 COPD 的关系的最新进展。
Int J Chron Obstruct Pulmon Dis. 2014 Apr 8;9:349-62. doi: 10.2147/COPD.S42394. eCollection 2014.
8
[Effect of nocturnal hypoxia on pulmonary hemodynamics in patients with obstructive sleep apnea].[夜间低氧对阻塞性睡眠呼吸暂停患者肺血流动力学的影响]
Pneumonol Alergol Pol. 2000;68(1-2):28-36.
9
Pulmonary Hypertension in Chronic Obstructive Pulmonary Disease and Pulmonary Fibrosis: Prevalence and Hemodynamic Differences in Lung Transplant Recipients at Transplant Center's Referral Time.慢性阻塞性肺疾病和肺纤维化中的肺动脉高压:移植中心转诊时肺移植受者的患病率及血流动力学差异
Transplant Proc. 2015 Sep;47(7):2161-5. doi: 10.1016/j.transproceed.2015.01.031.
10
Hemodynamic and gas exchange effects of inhaled iloprost in patients with COPD and pulmonary hypertension.吸入伊洛前列素对慢性阻塞性肺疾病合并肺动脉高压患者血流动力学和气体交换的影响。
Int J Chron Obstruct Pulmon Dis. 2017 Nov 22;12:3353-3360. doi: 10.2147/COPD.S141798. eCollection 2017.

引用本文的文献

1
Pulmonary artery-targeted low-dose metformin-loaded nanocapsules safely improve pulmonary arterial hypertension in rats.肺动脉靶向低剂量载二甲双胍纳米胶囊可安全改善大鼠肺动脉高压。
Front Pharmacol. 2025 Apr 30;16:1577570. doi: 10.3389/fphar.2025.1577570. eCollection 2025.
2
High Prevalence of Myositis-Specific and Associated Antibodies in Patients with Pulmonary Hypertension.肺动脉高压患者中肌炎特异性抗体和相关抗体的高患病率。
Diagnostics (Basel). 2024 Jul 9;14(14):1471. doi: 10.3390/diagnostics14141471.
3
Pulmonary Hypertension in the Course of Interstitial Lung Diseases-A Personalised Approach Is Needed to Identify a Dominant Cause and Provide an Effective Therapy.

本文引用的文献

1
Chronic intermittent hypoxia and obstructive sleep apnea: an experimental and clinical approach.慢性间歇性缺氧与阻塞性睡眠呼吸暂停:实验与临床研究方法
Hypoxia (Auckl). 2016 Apr 27;4:99-108. doi: 10.2147/HP.S103091. eCollection 2016.
2
Definitions and diagnosis of pulmonary hypertension.肺动脉高压的定义和诊断。
J Am Coll Cardiol. 2013 Dec 24;62(25 Suppl):D42-50. doi: 10.1016/j.jacc.2013.10.032.
3
Updated clinical classification of pulmonary hypertension.肺动脉高压的最新临床分类。
间质性肺疾病过程中的肺动脉高压——需要个性化方法来确定主要病因并提供有效治疗。
Diagnostics (Basel). 2023 Jul 13;13(14):2354. doi: 10.3390/diagnostics13142354.
4
Tensions in Taxonomies: Current Understanding and Future Directions in the Pathobiologic Basis and Treatment of Group 1 and Group 3 Pulmonary Hypertension.分类学中的紧张局势:1 型和 3 型肺动脉高压的病理生物学基础和治疗的当前理解和未来方向。
Compr Physiol. 2023 Jan 30;13(1):4295-4319. doi: 10.1002/cphy.c220010.
5
Beyond Bronchiolitis Obliterans: In-Depth Histopathologic Characterization of Bronchiolitis Obliterans Syndrome after Lung Transplantation.超越闭塞性细支气管炎:肺移植后闭塞性细支气管炎综合征的深入组织病理学特征
J Clin Med. 2021 Dec 25;11(1):111. doi: 10.3390/jcm11010111.
6
Brief Report: Case Comparison of Therapy With the Histone Deacetylase Inhibitor Vorinostat in a Neonatal Calf Model of Pulmonary Hypertension.简短报告:在新生小牛肺动脉高压模型中使用组蛋白去乙酰化酶抑制剂伏立诺他进行治疗的病例比较
Front Physiol. 2021 Sep 6;12:712583. doi: 10.3389/fphys.2021.712583. eCollection 2021.
7
Management of Pulmonary Hypertension Due to Chronic Lung Disease.慢性肺病相关肺动脉高压的管理。
Methodist Debakey Cardiovasc J. 2021 Jul 1;17(2):124-133. doi: 10.14797/ZKUT3813. eCollection 2021.
8
Radiographic pulmonary vessel volume, lung function and airways disease in the Framingham Heart Study.弗雷明汉心脏研究中心的肺部血管容积、肺功能和气道疾病的 X 射线影像学表现。
Eur Respir J. 2019 Sep 12;54(3). doi: 10.1183/13993003.00408-2019. Print 2019 Sep.
9
Lung pathology for the clinician: a comprehensive approach.临床医生的肺部病理学:综合方法。
Eur Respir Rev. 2017 Jun 28;26(144). doi: 10.1183/16000617.0041-2017. Print 2017 Jun 30.
J Am Coll Cardiol. 2013 Dec 24;62(25 Suppl):D34-41. doi: 10.1016/j.jacc.2013.10.029.
4
Pulmonary hypertension in chronic lung diseases.慢性肺部疾病相关肺动脉高压。
J Am Coll Cardiol. 2013 Dec 24;62(25 Suppl):D109-16. doi: 10.1016/j.jacc.2013.10.036.
5
Sensing hypoxia: physiology, genetics and epigenetics.感知缺氧:生理学、遗传学和表观遗传学。
J Physiol. 2013 May 1;591(9):2245-57. doi: 10.1113/jphysiol.2012.247759. Epub 2013 Mar 4.
6
New models of pulmonary hypertension based on VEGF receptor blockade-induced endothelial cell apoptosis.基于血管内皮生长因子受体阻断诱导的内皮细胞凋亡的新型肺动脉高压模型。
Pulm Circ. 2012 Oct;2(4):434-42. doi: 10.4103/2045-8932.105031.
7
Pulmonary hypertension as a prognostic indicator at the initial evaluation in idiopathic pulmonary fibrosis.特发性肺纤维化初始评估中肺动脉高压作为预后指标。
Respiration. 2013;85(6):456-63. doi: 10.1159/000345221. Epub 2012 Dec 19.
8
The Impact of Pulmonary Arterial Pressure on Exercise Capacity in Mild-to-Moderate Cystic Fibrosis: A Case Control Study.肺动脉压对轻至中度囊性纤维化患者运动能力的影响:一项病例对照研究
Pulm Med. 2012;2012:252345. doi: 10.1155/2012/252345. Epub 2012 Jul 29.
9
Antioxidants for the treatment of patients with severe angioproliferative pulmonary hypertension?抗氧化剂治疗严重血管增殖性肺动脉高压患者?
Antioxid Redox Signal. 2013 May 10;18(14):1810-7. doi: 10.1089/ars.2012.4828. Epub 2012 Sep 28.
10
Osteopontin is an endogenous modulator of the constitutively activated phenotype of pulmonary adventitial fibroblasts in hypoxic pulmonary hypertension.骨桥蛋白是低氧性肺动脉高压肺血管外膜成纤维细胞固有激活表型的内源性调节剂。
Am J Physiol Lung Cell Mol Physiol. 2012 Jul 1;303(1):L1-L11. doi: 10.1152/ajplung.00050.2012. Epub 2012 May 11.