• 文献检索
  • 文档翻译
  • 深度研究
  • 学术资讯
  • Suppr Zotero 插件Zotero 插件
  • 邀请有礼
  • 套餐&价格
  • 历史记录
应用&插件
Suppr Zotero 插件Zotero 插件浏览器插件Mac 客户端Windows 客户端微信小程序
定价
高级版会员购买积分包购买API积分包
服务
文献检索文档翻译深度研究API 文档MCP 服务
关于我们
关于 Suppr公司介绍联系我们用户协议隐私条款
关注我们

Suppr 超能文献

核心技术专利:CN118964589B侵权必究
粤ICP备2023148730 号-1Suppr @ 2026

文献检索

告别复杂PubMed语法,用中文像聊天一样搜索,搜遍4000万医学文献。AI智能推荐,让科研检索更轻松。

立即免费搜索

文件翻译

保留排版,准确专业,支持PDF/Word/PPT等文件格式,支持 12+语言互译。

免费翻译文档

深度研究

AI帮你快速写综述,25分钟生成高质量综述,智能提取关键信息,辅助科研写作。

立即免费体验

布氏几丁质:一种对……具有抗菌潜力的瘤胃肽 。 (原文结尾不完整)

Buwchitin: A Ruminal Peptide with Antimicrobial Potential against .

作者信息

Oyama Linda B, Crochet Jean-Adrien, Edwards Joan E, Girdwood Susan E, Cookson Alan R, Fernandez-Fuentes Narcis, Hilpert Kai, Golyshin Peter N, Golyshina Olga V, Privé Florence, Hess Matthias, Mantovani Hilario C, Creevey Christopher J, Huws Sharon A

机构信息

Institute of Biological Environmental and Rural Sciences, Aberystwyth UniversityAberystwyth, United Kingdom.

Institute of Infection and Immunity, St George's University of LondonLondon, United Kingdom.

出版信息

Front Chem. 2017 Jul 12;5:51. doi: 10.3389/fchem.2017.00051. eCollection 2017.

DOI:10.3389/fchem.2017.00051
PMID:28748180
原文链接:https://pmc.ncbi.nlm.nih.gov/articles/PMC5506224/
Abstract

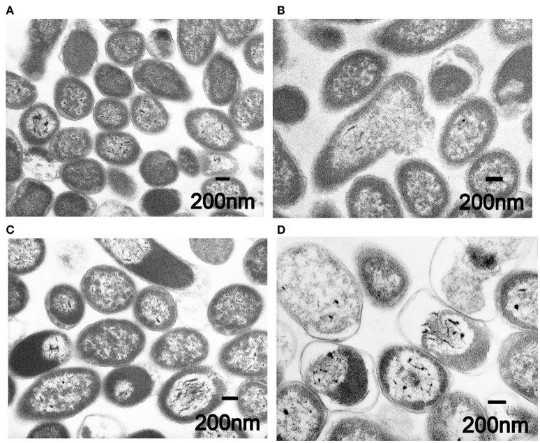
Antimicrobial peptides (AMPs) are gaining popularity as alternatives for treatment of bacterial infections and recent advances in technologies provide new platforms for AMP discovery. We sought to determine the antibacterial activity of a novel antimicrobial peptide, buwchitin, against . Buwchitin was identified from a rumen bacterial metagenome library, cloned, expressed and purified. The antimicrobial activity of the recombinant peptide was assessed using a broth microdilution susceptibility assay to determine the peptide's killing kinetics against selected bacterial strains. The killing mechanism of buwchitin was investigated further by monitoring its ability to cause membrane depolarization (diSC(5) method) and morphological changes in cells. Transmission electron micrographs of buwchitin treated cells showed intact outer membranes with blebbing, but no major damaging effects and cell morphology changes. Buwchitin had negligible cytotoxicity against defibrinated sheep erythrocytes. Although no significant membrane leakage and depolarization was observed, buwchitin at minimum inhibitory concentration (MIC) was bacteriostatic against cells and inhibited growth by 70% when compared to untreated cells. These findings suggest that buwchitin, a rumen derived peptide, has potential for antimicrobial activity against .

摘要

抗菌肽(AMPs)作为治疗细菌感染的替代物正日益受到关注,并且技术的最新进展为抗菌肽的发现提供了新平台。我们试图确定一种新型抗菌肽——布氏几丁质对……的抗菌活性。布氏几丁质是从瘤胃细菌宏基因组文库中鉴定出来的,经过克隆、表达和纯化。使用肉汤微量稀释药敏试验评估重组肽的抗菌活性,以确定该肽对选定细菌菌株的杀伤动力学。通过监测其引起膜去极化的能力(diSC(5)法)和……细胞的形态变化,进一步研究布氏几丁质的杀伤机制。布氏几丁质处理后的……细胞的透射电子显微镜图像显示,外膜完整但有泡状突起,但没有主要的损伤效应和细胞形态变化。布氏几丁质对去纤维蛋白羊红细胞的细胞毒性可忽略不计。虽然未观察到明显的膜泄漏和去极化现象,但最低抑菌浓度(MIC)的布氏几丁质对……细胞具有抑菌作用,与未处理细胞相比,生长抑制率达70%。这些发现表明,布氏几丁质这种源自瘤胃的肽具有对……的抗菌活性潜力。

https://cdn.ncbi.nlm.nih.gov/pmc/blobs/26b0/5506224/35994d4c69df/fchem-05-00051-g0004.jpg
https://cdn.ncbi.nlm.nih.gov/pmc/blobs/26b0/5506224/a1d981191211/fchem-05-00051-g0001.jpg
https://cdn.ncbi.nlm.nih.gov/pmc/blobs/26b0/5506224/591011b5923e/fchem-05-00051-g0002.jpg
https://cdn.ncbi.nlm.nih.gov/pmc/blobs/26b0/5506224/3eea0b20fb18/fchem-05-00051-g0003.jpg
https://cdn.ncbi.nlm.nih.gov/pmc/blobs/26b0/5506224/35994d4c69df/fchem-05-00051-g0004.jpg
https://cdn.ncbi.nlm.nih.gov/pmc/blobs/26b0/5506224/a1d981191211/fchem-05-00051-g0001.jpg
https://cdn.ncbi.nlm.nih.gov/pmc/blobs/26b0/5506224/591011b5923e/fchem-05-00051-g0002.jpg
https://cdn.ncbi.nlm.nih.gov/pmc/blobs/26b0/5506224/3eea0b20fb18/fchem-05-00051-g0003.jpg
https://cdn.ncbi.nlm.nih.gov/pmc/blobs/26b0/5506224/35994d4c69df/fchem-05-00051-g0004.jpg

相似文献

1
Buwchitin: A Ruminal Peptide with Antimicrobial Potential against .布氏几丁质:一种对……具有抗菌潜力的瘤胃肽 。 (原文结尾不完整)
Front Chem. 2017 Jul 12;5:51. doi: 10.3389/fchem.2017.00051. eCollection 2017.
2
A Comparison of Antibacterial Properties of Tachyplesin, Thanatin, and Enterocin P on Enterococcus faecalis.鱼精蛋白、Thanatin 和肠球菌素 P 对粪肠球菌抗菌性能的比较。
Eur Endod J. 2022 Mar;7(1):67-72. doi: 10.14744/eej.2021.04696.
3
In vitro antibacterial activity of the peptide PsVP-10 against antimicrobial-resistant Enterococcus faecalis isolated from clinical samples.肽PsVP-10对从临床样本中分离出的耐抗菌药物粪肠球菌的体外抗菌活性。
J Antimicrob Chemother. 2004 Feb;53(2):390-2. doi: 10.1093/jac/dkh067. Epub 2004 Jan 16.
4
Evaluation of the antibacterial activity of three gutta-percha solvents against Enterococcus faecalis.三种牙胶溶剂对粪肠球菌抗菌活性的评估
Int J Artif Organs. 2013 May 17;36(5):358-62. doi: 10.5301/ijao.5000209. Epub 2013 Mar 18.
5
Comparison of the use of d-enantiomeric and l-enantiomeric antimicrobial peptides incorporated in a calcium-chelating irrigant against Enterococcus faecalis root canal wall biofilms.比较 d-对映体和 l-对映体抗菌肽在结合钙的冲洗液中对粪肠球菌根管壁生物膜的作用。
J Dent. 2019 Dec;91:103231. doi: 10.1016/j.jdent.2019.103231. Epub 2019 Nov 8.
6
Cationic peptide of the male reproductive tract, HE2alpha, displays antimicrobial activity against Neisseria gonorrhoeae, Staphylococcus aureus and Enterococcus faecalis.男性生殖道的阳离子肽HE2α对淋病奈瑟菌、金黄色葡萄球菌和粪肠球菌具有抗菌活性。
J Antimicrob Chemother. 2005 Nov;56(5):957-61. doi: 10.1093/jac/dki350. Epub 2005 Sep 29.
7
Assessment of the antimicrobial effects of sodium hypochlorite on by DO-labeled single-cell Raman micro-spectroscopy.通过DO标记的单细胞拉曼显微光谱法评估次氯酸钠对……的抗菌作用。 需注意,原文中“on”后面缺少具体内容,翻译时只能按现有内容尽量准确翻译。
Hua Xi Kou Qiang Yi Xue Za Zhi. 2022 Jan 25;40(1):86-92. doi: 10.7518/hxkq.2022.01.013.
8
Substantiation in Enterococcus faecalis of dose-dependent resistance and cross-resistance to pore-forming antimicrobial peptides by use of a polydiacetylene-based colorimetric assay.应用基于聚二乙酰亚胺的比色测定法在粪肠球菌中证实了孔形成型抗菌肽的剂量依赖性耐药性和交叉耐药性。
Appl Environ Microbiol. 2011 Feb;77(3):786-93. doi: 10.1128/AEM.01496-10. Epub 2010 Nov 29.
9
Assessment of toxicity and differential antimicrobial activity of methanol extract of rhizome of Simaba ferruginea A. St.-Hil. and its isolate canthin-6-one.评价 Simaba ferruginea A. St.-Hil. 根茎甲醇提取物及其分离物卡亭酮的毒性和差异抗菌活性。
J Ethnopharmacol. 2018 Sep 15;223:122-134. doi: 10.1016/j.jep.2018.05.014. Epub 2018 May 26.
10
Emergence of High-level Gentamicin Resistance among Clinical Isolates from Burn Patients in South-west of Iran: Vancomycin Still Working.伊朗西南部烧伤患者临床分离株中高水平庆大霉素耐药性的出现:万古霉素仍然有效。
Pol J Microbiol. 2018;67(4):401-406. doi: 10.21307/pjm-2018-043.

引用本文的文献

1
Microbiome-derived antimicrobial peptides show therapeutic activity against the critically important priority pathogen, Acinetobacter baumannii.微生物组衍生的抗菌肽对重要的优先病原体鲍曼不动杆菌具有治疗活性。
NPJ Biofilms Microbiomes. 2024 Sep 30;10(1):92. doi: 10.1038/s41522-024-00560-2.
2
Vancomycin Resistance in and .[具体研究对象]中的万古霉素耐药性 以及[具体研究对象]。 你提供的原文信息不完整,我只能按照要求进行这样的翻译。请补充完整原文以便我能给出更准确的译文。
Microorganisms. 2022 Dec 21;11(1):24. doi: 10.3390/microorganisms11010024.
3
In silico identification of two peptides with antibacterial activity against multidrug-resistant Staphylococcus aureus.

本文引用的文献

1
Multidrug-Resistant Enterococcal Infections: New Compounds, Novel Antimicrobial Therapies?耐多药肠球菌感染:新化合物,新型抗菌疗法?
Trends Microbiol. 2017 Jun;25(6):467-479. doi: 10.1016/j.tim.2017.01.004. Epub 2017 Feb 13.
2
Membrane-active Antimicrobial Peptides as Template Structures for Novel Antibiotic Agents.作为新型抗生素模板结构的膜活性抗菌肽
Curr Top Med Chem. 2017;17(5):508-519.
3
Screening, Expression, Purification and Functional Characterization of Novel Antimicrobial Peptide Genes from Hermetia illucens (L.).
计算机筛选两种抗耐多药金黄色葡萄球菌的抗菌肽。
NPJ Biofilms Microbiomes. 2022 Jul 14;8(1):58. doi: 10.1038/s41522-022-00320-0.
4
The Role of Antimicrobial Peptides as Antimicrobial and Antibiofilm Agents in Tackling the Silent Pandemic of Antimicrobial Resistance.抗菌肽在应对抗菌耐药性这一“沉默的流行疾病”中的抗菌和抗生物膜作用。
Molecules. 2022 May 6;27(9):2995. doi: 10.3390/molecules27092995.
5
A Comparison of Antibacterial Properties of Tachyplesin, Thanatin, and Enterocin P on Enterococcus faecalis.鱼精蛋白、Thanatin 和肠球菌素 P 对粪肠球菌抗菌性能的比较。
Eur Endod J. 2022 Mar;7(1):67-72. doi: 10.14744/eej.2021.04696.
6
Reliability of thermal desalination (solar stills) for water/wastewater treatment in light of COVID-19 (novel coronavirus "SARS-CoV-2") pandemic: What should consider?鉴于2019冠状病毒病(新型冠状病毒“SARS-CoV-2”)大流行,热脱盐(太阳能蒸馏器)用于水/废水处理的可靠性:应考虑哪些因素?
Desalination. 2021 Sep 15;512:115106. doi: 10.1016/j.desal.2021.115106. Epub 2021 May 4.
7
The rumen eukaryotome is a source of novel antimicrobial peptides with therapeutic potential.瘤胃真核生物是具有治疗潜力的新型抗菌肽的来源。
BMC Microbiol. 2021 Apr 8;21(1):105. doi: 10.1186/s12866-021-02172-8.
8
[Antimicrobial effects of fentanyl and bupivacaine].[芬太尼和布比卡因的抗菌作用]
Braz J Anesthesiol. 2020 Jul-Aug;70(4):357-363. doi: 10.1016/j.bjan.2020.04.010. Epub 2020 Jul 7.
9
Bacterial inhibition efficiency of prilocaine and bupivacaine.普鲁卡因和布比卡因的抑菌效率。
Int Wound J. 2019 Oct;16(5):1185-1189. doi: 10.1111/iwj.13180. Epub 2019 Aug 12.
10
Antibacterial effects of lidocaine and adrenaline.利多卡因和肾上腺素的抗菌作用。
Int Wound J. 2019 Oct;16(5):1190-1194. doi: 10.1111/iwj.13182. Epub 2019 Aug 12.
黑水虻新型抗菌肽基因的筛选、表达、纯化及功能鉴定
PLoS One. 2017 Jan 5;12(1):e0169582. doi: 10.1371/journal.pone.0169582. eCollection 2017.
4
Antimicrobial Peptides Targeting Gram-Positive Bacteria.靶向革兰氏阳性菌的抗菌肽
Pharmaceuticals (Basel). 2016 Sep 20;9(3):59. doi: 10.3390/ph9030059.
5
Molecular Basis for the Protein Recognition Specificity of the Dynein Light Chain DYNLT1/Tctex1: CHARACTERIZATION OF THE INTERACTION WITH ACTIVIN RECEPTOR IIB.动力蛋白轻链DYNLT1/Tctex1蛋白质识别特异性的分子基础:与激活素受体IIB相互作用的特征
J Biol Chem. 2016 Sep 30;291(40):20962-20975. doi: 10.1074/jbc.M116.736884. Epub 2016 Aug 8.
6
Vancomycin-Resistant Enterococci and Bacterial Community Structure following a Sewage Spill into an Aquatic Environment.污水泄漏到水生环境后耐万古霉素肠球菌与细菌群落结构
Appl Environ Microbiol. 2016 Aug 30;82(18):5653-60. doi: 10.1128/AEM.01927-16. Print 2016 Sep 15.
7
Alternatives to antibiotics-a pipeline portfolio review.抗生素替代品-管线组合评审。
Lancet Infect Dis. 2016 Feb;16(2):239-51. doi: 10.1016/S1473-3099(15)00466-1. Epub 2016 Jan 13.
8
Development of new therapeutical/adjuvant molecules by pepscan mapping of autophagy and IFN inducing determinants of rhabdoviral G proteins.通过对弹状病毒G蛋白自噬和IFN诱导决定簇进行肽扫描图谱分析来开发新的治疗性/辅助性分子。
Mol Immunol. 2016 Feb;70:118-24. doi: 10.1016/j.molimm.2015.10.008. Epub 2016 Jan 4.
9
Lights, Camera, Action! Antimicrobial Peptide Mechanisms Imaged in Space and Time.灯光、镜头、开拍!抗菌肽作用机制的时空成像
Trends Microbiol. 2016 Feb;24(2):111-122. doi: 10.1016/j.tim.2015.11.004. Epub 2015 Dec 13.
10
Improving short antimicrobial peptides despite elusive rules for activity.尽管抗菌活性规则难以捉摸,但仍在改进短抗菌肽。
Biochim Biophys Acta. 2016 May;1858(5):1024-33. doi: 10.1016/j.bbamem.2015.12.013. Epub 2015 Dec 11.