Suppr超能文献

对一例具有经典和实体生长模式、酷似实体乳头状癌的小叶型乳腺癌进行亚克隆分析。

Subclonal analysis in a lobular breast cancer with classical and solid growth pattern mimicking a solid-papillary carcinoma.

作者信息

Christgen Matthias, Bartels Stephan, van Luttikhuizen Jana Lisa, Schieck Maximilian, Pertschy Stefanie, Kundu Sudip, Lehmann Ulrich, Sander Bjoern, Pelz Enrico, Länger Florian, Schlegelberger Brigitte, Steinemann Doris, Kreipe Hans

机构信息

Institute of Pathology, Hannover Medical SchoolHannoverGermany.

Department of Human GeneticsHannover Medical SchoolHannoverGermany.

出版信息

J Pathol Clin Res. 2017 Jul 19;3(3):191-202. doi: 10.1002/cjp2.76. eCollection 2017 Jul.

Abstract

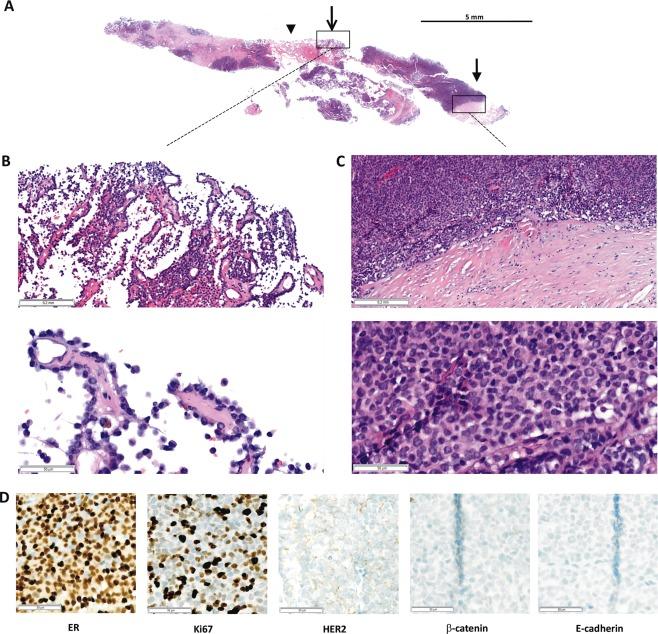
Recently, a new variant of invasive lobular breast cancer (ILBC) with solid-papillary-like growth pattern has been described. We present a case of ILBC with solid-papillary-like growth pattern in the main tumour mass and classical invasive lobular growth pattern in adjacent satellite foci. The two tumour components were subjected to comprehensive molecular analyses. Both components were ER/PR-positive, HER2-negative, and showed a complete loss of E-cadherin and beta-catenin protein expression, as determined by immunohistochemistry. Gene expression profiling classified the main tumour and a satellite focus as luminal-B and luminal-A subtypes, respectively. Whole-genome copy number profiles were highly similar in both tumour components. Shared copy number alterations (CNAs) included gains of chromosome 1q21.1-q43 and losses of chromosome 16q11.2-q24.3, the locus of the /E-cadherin tumour suppressor gene. CNAs detected only in the main tumour included a gain of chromosome 20q12-q13.33 and a loss of chromosome 1p36.33-p34.3, which has recently been associated with the solid variant of ILBC. Next generation sequencing revealed an identical, truncating mutation (p.G169fs*5) in both tumour components confirming a common clonal ancestry. In conclusion, we confirm the recently described variant of ILBC with solid-papillary-like growth pattern and provide evidence that it evolves from classical ILBC by subclonal evolution.

摘要

最近,一种具有实性乳头状样生长模式的浸润性小叶癌(ILBC)新变体已被报道。我们报告了一例主要肿瘤块具有实性乳头状样生长模式且相邻卫星灶具有经典浸润性小叶生长模式的ILBC病例。对这两个肿瘤成分进行了全面的分子分析。通过免疫组织化学测定,两个成分均为雌激素受体/孕激素受体(ER/PR)阳性、人表皮生长因子受体2(HER2)阴性,且E-钙黏蛋白和β-连环蛋白蛋白表达完全缺失。基因表达谱分析将主要肿瘤和一个卫星灶分别分类为腔面B型和腔面A型亚型。两个肿瘤成分的全基因组拷贝数图谱高度相似。共享的拷贝数改变(CNA)包括1号染色体1q21.1-q43区域的增益和16号染色体16q11.2-q24.3区域的缺失,该区域是/E-钙黏蛋白肿瘤抑制基因的位点。仅在主要肿瘤中检测到的CNA包括20号染色体20q12-q13.33区域的增益和1号染色体1p36.33-p34.3区域的缺失,该区域最近与ILBC的实性变体相关。二代测序显示两个肿瘤成分存在相同的截短突变(p.G169fs*5),证实了共同的克隆起源。总之,我们证实了最近报道的具有实性乳头状样生长模式的ILBC变体,并提供证据表明它是通过亚克隆进化从经典ILBC演变而来的。

https://cdn.ncbi.nlm.nih.gov/pmc/blobs/d82c/5527319/e6f8d1bfd92f/CJP2-3-191-g001.jpg

文献检索

告别复杂PubMed语法,用中文像聊天一样搜索,搜遍4000万医学文献。AI智能推荐,让科研检索更轻松。

立即免费搜索

文件翻译

保留排版,准确专业,支持PDF/Word/PPT等文件格式,支持 12+语言互译。

免费翻译文档

深度研究

AI帮你快速写综述,25分钟生成高质量综述,智能提取关键信息,辅助科研写作。

立即免费体验