Suppr超能文献

实验性结肠炎会延迟并减轻小鼠胶原诱导性关节炎的严重程度。

Experimental colitis delays and reduces the severity of collagen-induced arthritis in mice.

作者信息

Hablot Julie, Peyrin-Biroulet Laurent, Kokten Tunay, El Omar Reine, Netter Patrick, Bastien Claire, Jouzeau Jean-Yves, Sokol Harry, Moulin David

机构信息

IMoPA, UMR7365 CNRS-Université de Lorraine, Vandœuvre Les Nancy, France.

NGERE, UMR_S954 INSERM-Université de Lorraine, Vandœuvre Les Nancy, France.

出版信息

PLoS One. 2017 Sep 19;12(9):e0184624. doi: 10.1371/journal.pone.0184624. eCollection 2017.

Abstract

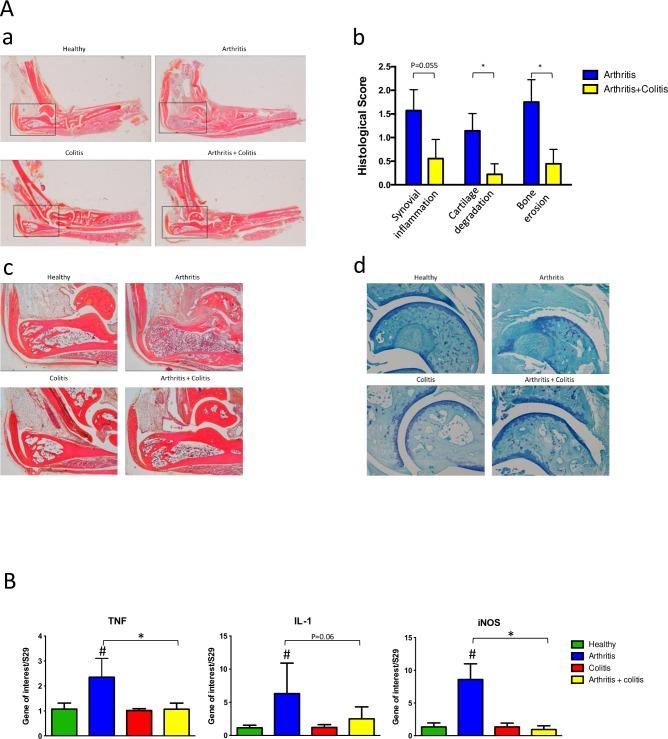
Amongst extraintestinal manifestations (EIM) occurring in IBD patients, rheumatologic manifestations are the most frequent. Understanding the relationships between arthritis and colitis is a prerequisite to improving the management of these patients. Microbiota of patients with IBD or rheumatologic diseases, like spondyloarthritis (SpA) is modified compared to healthy individual. Thus, we have evaluated the impact of colitis in the development of arthritis in mice and we have analyzed microbiota changes. Collagen-induced arthritis (CIA) was induced at day 0 in DBA1 mice exposed or not to Dextran Sodium Sulfate (DSS) to induce colitis between day 14 and day 21. Animals were monitored regularly for arthritis and colitis severity (clinical score, hindpaw edema). Fecal microbiota was studied by 16S rRNA deep sequencing at critical time points (D14, D14, D21 & D41). At day 41, histological scoring of the intestines and ankles were performed at the end of experiment. Induction of colitis slightly delayed arthritis onset (2 ± 1 days of delay) and reduced its severity (5.75 ± 1.62 in arthritis only group vs 4.00 ± 1.48 in arthritis + colitis group (p = 0.02 at day 28) macroscopically and histologically. In contrast, colitis severity was not influenced by arthritis development. Induction of colitis promoted a modification of microbiota composition and a decrease of α-diversity. Fecal microbiota composition was different between "colitis" and "arthritis+colitis" groups during colitis development. Interestingly a milder decrease of bacterial diversity in the "arthritis+colitis" group was observed. Concomitant experimental colitis protects mice against collagen-induced arthritis and this is associated with changes in gut microbiome composition.

摘要

在炎症性肠病(IBD)患者出现的肠外表现(EIM)中,风湿性表现最为常见。了解关节炎与结肠炎之间的关系是改善这些患者管理的前提。与健康个体相比,IBD患者或风湿性疾病患者(如脊柱关节炎(SpA))的微生物群发生了改变。因此,我们评估了结肠炎对小鼠关节炎发展的影响,并分析了微生物群的变化。在第0天,对暴露或未暴露于葡聚糖硫酸钠(DSS)的DBA1小鼠诱导胶原诱导性关节炎(CIA),以在第14天至第21天诱导结肠炎。定期监测动物的关节炎和结肠炎严重程度(临床评分、后爪水肿)。在关键时间点(D14、D21和D41)通过16S rRNA深度测序研究粪便微生物群。在第41天,在实验结束时对肠道和踝关节进行组织学评分。结肠炎的诱导略微延迟了关节炎的发作(延迟2±1天)并降低了其严重程度(仅患关节炎组在第28天宏观和组织学上为5.75±1.62,而患关节炎+结肠炎组为4.00±1.48(p=0.02))。相反,关节炎的发展并未影响结肠炎的严重程度。结肠炎的诱导促进了微生物群组成 的改变和α多样性的降低。在结肠炎发展过程中,“结肠炎”组和“关节炎+结肠炎”组的粪便微生物群组成不同。有趣的是,在“关节炎+结肠炎”组中观察到细菌多样性的下降较为轻微。同时发生的实验性结肠炎可保护小鼠免受胶原诱导性关节炎的影响,这与肠道微生物群组成的变化有关。

https://cdn.ncbi.nlm.nih.gov/pmc/blobs/f403/5604972/dba3bd39ab18/pone.0184624.g001.jpg

文献检索

告别复杂PubMed语法,用中文像聊天一样搜索,搜遍4000万医学文献。AI智能推荐,让科研检索更轻松。

立即免费搜索

文件翻译

保留排版,准确专业,支持PDF/Word/PPT等文件格式,支持 12+语言互译。

免费翻译文档

深度研究

AI帮你快速写综述,25分钟生成高质量综述,智能提取关键信息,辅助科研写作。

立即免费体验