Suppr超能文献

基于活动轮廓模型的心脏磁共振成像中左右心室分割

Segmentation of Left and Right Ventricles in Cardiac MRI Using Active Contours.

作者信息

Soomro Shafiullah, Akram Farhan, Munir Asad, Lee Chang Ha, Choi Kwang Nam

机构信息

Department of Computer Science and Engineering, Chung-Ang University, Seoul 156-756, Republic of Korea.

Department of Computer Engineering and Mathematics, Rovira i Virgili University, 43007 Tarragona, Spain.

出版信息

Comput Math Methods Med. 2017;2017:8350680. doi: 10.1155/2017/8350680. Epub 2017 Aug 8.

Abstract

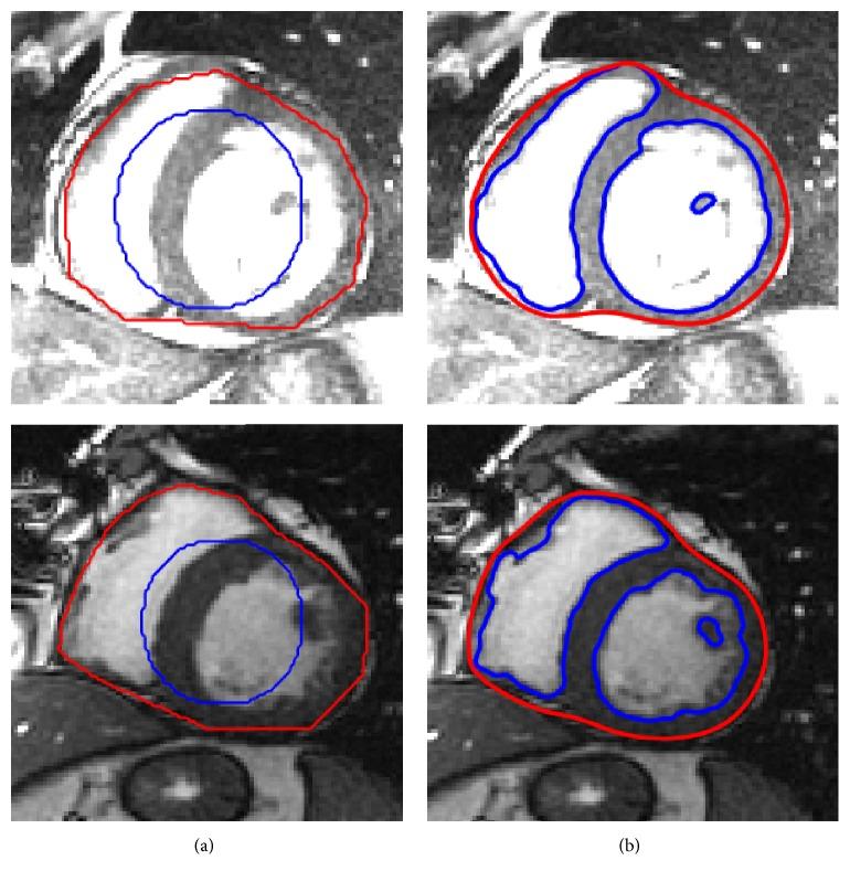
Segmentation of left and right ventricles plays a crucial role in quantitatively analyzing the global and regional information in the cardiac magnetic resonance imaging (MRI). In MRI, the intensity inhomogeneity and weak or blurred object boundaries are the problems, which makes it difficult for the intensity-based segmentation methods to properly delineate the regions of interests (ROI). In this paper, a hybrid signed pressure force function (SPF) is proposed, which yields both local and global image fitted differences in an additive fashion. A characteristic term is also introduced in the SPF function to restrict the contour within the ROI. The overlapping dice index and Hausdorff-Distance metrics have been used over cardiac datasets for quantitative validation. Using 2009 LV MICCAI validation dataset, the proposed method yields DSC values of 0.95 and 0.97 for endocardial and epicardial contours, respectively. Using 2012 RV MICCAI dataset, for the endocardial region, the proposed method yields DSC values of 0.97 and 0.90 and HD values of 8.51 and 7.67 for ED and ES, respectively. For the epicardial region, it yields DSC values of 0.92 and 0.91 and HD values of 6.47 and 9.34 for ED and ES, respectively. Results show its robustness in the segmentation application of the cardiac MRI.

摘要

左心室和右心室的分割在定量分析心脏磁共振成像(MRI)中的全局和局部信息方面起着至关重要的作用。在MRI中,强度不均匀性以及目标边界模糊或微弱是存在的问题,这使得基于强度的分割方法难以准确勾勒出感兴趣区域(ROI)。本文提出了一种混合符号压力力函数(SPF),它以相加的方式产生局部和全局图像拟合差异。在SPF函数中还引入了一个特征项,以将轮廓限制在ROI内。重叠骰子指数和豪斯多夫距离度量已用于心脏数据集进行定量验证。使用2009年左心室MICCAI验证数据集,所提出的方法对于心内膜和心外膜轮廓分别产生0.95和0.97的DSC值。使用2012年右心室MICCAI数据集,对于心内膜区域,所提出的方法对于舒张末期(ED)和收缩末期(ES)分别产生0.97和0.90的DSC值以及8.51和7.67的HD值。对于心外膜区域,对于ED和ES分别产生0.92和0.91的DSC值以及6.47和9.34的HD值。结果表明了其在心脏MRI分割应用中的鲁棒性。

https://cdn.ncbi.nlm.nih.gov/pmc/blobs/744c/5591936/702046ba7759/CMMM2017-8350680.001.jpg

文献检索

告别复杂PubMed语法,用中文像聊天一样搜索,搜遍4000万医学文献。AI智能推荐,让科研检索更轻松。

立即免费搜索

文件翻译

保留排版,准确专业,支持PDF/Word/PPT等文件格式,支持 12+语言互译。

免费翻译文档

深度研究

AI帮你快速写综述,25分钟生成高质量综述,智能提取关键信息,辅助科研写作。

立即免费体验