• 文献检索
  • 文档翻译
  • 深度研究
  • 学术资讯
  • Suppr Zotero 插件Zotero 插件
  • 邀请有礼
  • 套餐&价格
  • 历史记录
应用&插件
Suppr Zotero 插件Zotero 插件浏览器插件Mac 客户端Windows 客户端微信小程序
定价
高级版会员购买积分包购买API积分包
服务
文献检索文档翻译深度研究API 文档MCP 服务
关于我们
关于 Suppr公司介绍联系我们用户协议隐私条款
关注我们

Suppr 超能文献

核心技术专利:CN118964589B侵权必究
粤ICP备2023148730 号-1Suppr @ 2026

文献检索

告别复杂PubMed语法,用中文像聊天一样搜索,搜遍4000万医学文献。AI智能推荐,让科研检索更轻松。

立即免费搜索

文件翻译

保留排版,准确专业,支持PDF/Word/PPT等文件格式,支持 12+语言互译。

免费翻译文档

深度研究

AI帮你快速写综述,25分钟生成高质量综述,智能提取关键信息,辅助科研写作。

立即免费体验

红毛丹果皮酚类提取物对高脂饮食和链脲佐菌素诱导糖尿病小鼠的降血糖作用。

Anti-Diabetic Effects of Phenolic Extract from Rambutan Peels (Nephelium lappaceum) in High-Fat Diet and Streptozotocin-Induced Diabetic Mice.

机构信息

Yunnan Institute of Food Safety, Kunming University of Science and Technology, No. 727 South Jingming Road, Kunming 650500, China.

出版信息

Nutrients. 2017 Jul 26;9(8):801. doi: 10.3390/nu9080801.

DOI:10.3390/nu9080801
PMID:28933738
原文链接:https://pmc.ncbi.nlm.nih.gov/articles/PMC5579595/
Abstract

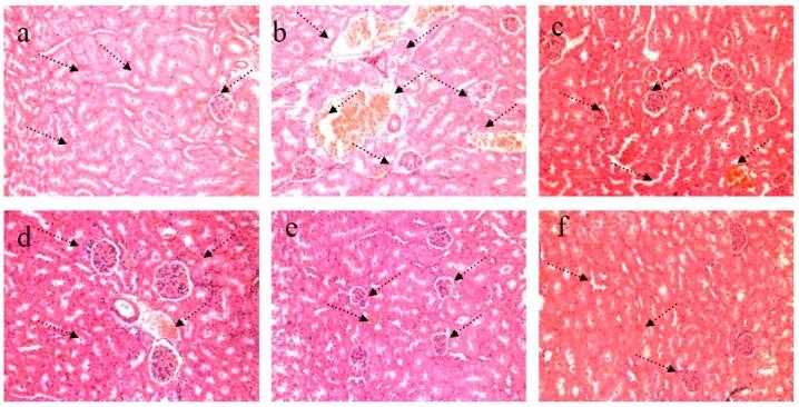
Recent studies have shown that rambutan peel phenolic (RPP) extract demonstrate high antioxidant and antiglycation activities in vitro and in vivo. This study further evaluated the anti-diabetic activity of RPP in a mouse model of Type II diabetes induced by streptozotocin combined with high-fat diet. Results showed that RPP increased the body weight and reduced the fasting blood glucose level of the diabetic mice. RPP significantly reduced the serum levels of total cholesterol, triglyceride, creatinine, and glycated serum protein in diabetic mice in a dose-dependent manner. Glycogen content in mice liver was recovered by RPP, which further increased the activity of superoxide dismutase and glutathione peroxidase and reduced lipid peroxidation in diabetic mice. Histological analysis showed that RPP effectively protected the tissue structure of the liver, kidney, and pancreas. In addition, RPP decreased the mesangial index and inhibited the expression of TGF-β in the kidney of diabetic mice.

摘要

最近的研究表明,红毛丹果皮酚(RPP)提取物在体外和体内均表现出较高的抗氧化和抗糖化活性。本研究进一步评估了 RPP 在链脲佐菌素联合高脂肪饮食诱导的 II 型糖尿病小鼠模型中的抗糖尿病活性。结果表明,RPP 增加了糖尿病小鼠的体重,降低了其空腹血糖水平。RPP 可显著降低糖尿病小鼠血清总胆固醇、甘油三酯、肌酐和糖化血清蛋白水平,呈剂量依赖性。RPP 可恢复小鼠肝糖原含量,进一步提高超氧化物歧化酶和谷胱甘肽过氧化物酶的活性,减少糖尿病小鼠的脂质过氧化。组织学分析表明,RPP 可有效保护肝、肾和胰腺的组织结构。此外,RPP 可降低糖尿病小鼠肾脏的系膜指数,并抑制 TGF-β的表达。

https://cdn.ncbi.nlm.nih.gov/pmc/blobs/d54e/5579595/21ff8f8a7d6d/nutrients-09-00801-g007.jpg
https://cdn.ncbi.nlm.nih.gov/pmc/blobs/d54e/5579595/4681bd24e893/nutrients-09-00801-g001.jpg
https://cdn.ncbi.nlm.nih.gov/pmc/blobs/d54e/5579595/ab7c1722b3af/nutrients-09-00801-g002.jpg
https://cdn.ncbi.nlm.nih.gov/pmc/blobs/d54e/5579595/048078a78003/nutrients-09-00801-g003.jpg
https://cdn.ncbi.nlm.nih.gov/pmc/blobs/d54e/5579595/81f436ab08bc/nutrients-09-00801-g004.jpg
https://cdn.ncbi.nlm.nih.gov/pmc/blobs/d54e/5579595/ba30097cc78f/nutrients-09-00801-g005.jpg
https://cdn.ncbi.nlm.nih.gov/pmc/blobs/d54e/5579595/5d23035367b7/nutrients-09-00801-g006.jpg
https://cdn.ncbi.nlm.nih.gov/pmc/blobs/d54e/5579595/21ff8f8a7d6d/nutrients-09-00801-g007.jpg
https://cdn.ncbi.nlm.nih.gov/pmc/blobs/d54e/5579595/4681bd24e893/nutrients-09-00801-g001.jpg
https://cdn.ncbi.nlm.nih.gov/pmc/blobs/d54e/5579595/ab7c1722b3af/nutrients-09-00801-g002.jpg
https://cdn.ncbi.nlm.nih.gov/pmc/blobs/d54e/5579595/048078a78003/nutrients-09-00801-g003.jpg
https://cdn.ncbi.nlm.nih.gov/pmc/blobs/d54e/5579595/81f436ab08bc/nutrients-09-00801-g004.jpg
https://cdn.ncbi.nlm.nih.gov/pmc/blobs/d54e/5579595/ba30097cc78f/nutrients-09-00801-g005.jpg
https://cdn.ncbi.nlm.nih.gov/pmc/blobs/d54e/5579595/5d23035367b7/nutrients-09-00801-g006.jpg
https://cdn.ncbi.nlm.nih.gov/pmc/blobs/d54e/5579595/21ff8f8a7d6d/nutrients-09-00801-g007.jpg

相似文献

1
Anti-Diabetic Effects of Phenolic Extract from Rambutan Peels (Nephelium lappaceum) in High-Fat Diet and Streptozotocin-Induced Diabetic Mice.红毛丹果皮酚类提取物对高脂饮食和链脲佐菌素诱导糖尿病小鼠的降血糖作用。
Nutrients. 2017 Jul 26;9(8):801. doi: 10.3390/nu9080801.
2
Healing effects of sumac (Rhus coriaria) in streptozotocin-induced diabetic rats.漆树(盐肤木)对链脲佐菌素诱导的糖尿病大鼠的治疗作用。
Pharm Biol. 2016 Oct;54(10):2092-102. doi: 10.3109/13880209.2016.1145702. Epub 2016 Mar 9.
3
Protective effects of Ficus carica leaves on glucose and lipids levels, carbohydrate metabolism enzymes and β-cells in type 2 diabetic rats.无花果叶对2型糖尿病大鼠血糖、血脂水平、碳水化合物代谢酶及β细胞的保护作用
Pharm Biol. 2017 Dec;55(1):1074-1081. doi: 10.1080/13880209.2017.1279671.
4
Dacryodes edulis (G. Don) H.J. Lam modulates glucose metabolism, cholinergic activities and Nrf2 expression, while suppressing oxidative stress and dyslipidemia in diabetic rats.使君子调节葡萄糖代谢、胆碱能活动和 Nrf2 表达,同时抑制糖尿病大鼠的氧化应激和血脂异常。
J Ethnopharmacol. 2020 Jun 12;255:112744. doi: 10.1016/j.jep.2020.112744. Epub 2020 Mar 9.
5
Antidiabetic and antihyperlipidemic activities of Forsythia suspensa (Thunb.) Vahl (fruit) in streptozotocin-induced diabetes mice.连翘(果实)对链脲佐菌素诱导的糖尿病小鼠的抗糖尿病和抗高血脂活性
J Ethnopharmacol. 2016 Nov 4;192:256-263. doi: 10.1016/j.jep.2016.07.002. Epub 2016 Jul 1.
6
Antidiabetic, antihyperlipidaemic, and antioxidant activity of Syzygium densiflorum fruits in streptozotocin and nicotinamide-induced diabetic rats.密花蒲桃果实对链脲佐菌素和烟酰胺诱导的糖尿病大鼠的抗糖尿病、抗高血脂及抗氧化活性
Pharm Biol. 2016 Sep;54(9):1716-26. doi: 10.3109/13880209.2015.1125932. Epub 2015 Dec 24.
7
Antihyperglycemic activity of Anoectochilus roxburghii polysaccharose in diabetic mice induced by high-fat diet and streptozotocin.金线莲多糖对高脂饮食联合链脲佐菌素诱导的糖尿病小鼠的降血糖活性
J Ethnopharmacol. 2015 Apr 22;164:180-5. doi: 10.1016/j.jep.2015.01.050. Epub 2015 Feb 7.
8
Black ginseng extract exerts anti-hyperglycemic effect via modulation of glucose metabolism in liver and muscle.黑参提取物通过调节肝脏和肌肉中的葡萄糖代谢发挥抗高血糖作用。
J Ethnopharmacol. 2016 Aug 22;190:231-40. doi: 10.1016/j.jep.2016.05.060. Epub 2016 May 31.
9
Anti-diabetic activity and potential mechanism of total flavonoids of Selaginella tamariscina (Beauv.) Spring in rats induced by high fat diet and low dose STZ.高脂饮食联合小剂量 STZ 诱导大鼠模型下翠云草总黄酮的降血糖作用及机制研究
J Ethnopharmacol. 2011 Sep 1;137(1):662-8. doi: 10.1016/j.jep.2011.06.018. Epub 2011 Jun 28.
10
Phenolics from Physalis peruviana fruits ameliorate streptozotocin-induced diabetes and diabetic nephropathy in rats via induction of autophagy and apoptosis regression.秘鲁酸浆果实中的酚类化合物通过诱导自噬和逆转细胞凋亡来改善链脲佐菌素诱导的糖尿病大鼠的糖尿病和糖尿病肾病。
Biomed Pharmacother. 2021 Oct;142:111948. doi: 10.1016/j.biopha.2021.111948. Epub 2021 Aug 9.

引用本文的文献

1
Effect of induced diabetes on morphometric indexes of the cerebellar cortex and gene expression in C57BL mice.诱导性糖尿病对C57BL小鼠小脑皮质形态学指标及基因表达的影响。
Iran J Basic Med Sci. 2023;26(12):1444-1448. doi: 10.22038/IJBMS.2023.71172.15457.
2
Nutritional, pharmaceutical, and functional aspects of rambutan in industrial perspective: An updated review.从产业角度看红毛丹的营养、药用和功能特性:最新综述
Food Sci Nutr. 2023 Apr 19;11(7):3675-3685. doi: 10.1002/fsn3.3379. eCollection 2023 Jul.
3
antidiabetic effects of phenolic compounds of spinach, mustard, and cabbage leaves in mice.

本文引用的文献

1
Hepatoprotective and antidiabetic effects of Pistacia lentiscus leaf and fruit extracts.乳香黄连木叶和果实提取物的保肝和降血糖作用。
J Food Drug Anal. 2016 Jul;24(3):653-669. doi: 10.1016/j.jfda.2016.03.002. Epub 2016 Apr 29.
2
Digestion property and synergistic effect on biological activity of purple rice (Oryza sativa L.) anthocyanins subjected to a simulated gastrointestinal digestion in vitro.体外模拟胃肠道消化对紫米(Oryza sativa L.)花青素消化特性及生物活性协同效应的研究
Food Res Int. 2015 Dec;78:114-123. doi: 10.1016/j.foodres.2015.10.029. Epub 2015 Oct 27.
3
Antioxidant and Anti-tyrosinase Activities of Phenolic Extracts from Rape Bee Pollen and Inhibitory Melanogenesis by cAMP/MITF/TYR Pathway in B16 Mouse Melanoma Cells.
菠菜、芥菜和卷心菜叶中酚类化合物对小鼠的抗糖尿病作用。
Heliyon. 2023 May 27;9(6):e16616. doi: 10.1016/j.heliyon.2023.e16616. eCollection 2023 Jun.
4
Quercetin, a Plant Flavonol Attenuates Diabetic Complications, Renal Tissue Damage, Renal Oxidative Stress and Inflammation in Streptozotocin-Induced Diabetic Rats.槲皮素,一种植物黄酮醇,可减轻链脲佐菌素诱导的糖尿病大鼠的糖尿病并发症、肾组织损伤、肾氧化应激和炎症。
Metabolites. 2023 Jan 15;13(1):130. doi: 10.3390/metabo13010130.
5
Phytochemical Investigation and Therapeutical Potential of Scop. in Alloxan-Induced Diabetic Mice.Scop. 在四氧嘧啶诱导的糖尿病小鼠中的植物化学研究与治疗潜力。
Oxid Med Cell Longev. 2022 Dec 31;2022:8802178. doi: 10.1155/2022/8802178. eCollection 2022.
6
A review: extraction, phytochemicals, and biological activities of rambutan ( L) peel extract.综述:红毛丹(L)果皮提取物的提取、植物化学成分及生物活性
Heliyon. 2022 Oct 31;8(11):e11314. doi: 10.1016/j.heliyon.2022.e11314. eCollection 2022 Nov.
7
Protective Mechanism of Moench. Bee Pollen EtOH Extract Against Type II Diabetes in a High-Fat Diet/Streptozocin-Induced C57BL/6J Mice.蒙氏蜜蜂花粉乙醇提取物对高脂饮食/链脲佐菌素诱导的C57BL/6J小鼠II型糖尿病的保护机制
Front Nutr. 2022 Jun 30;9:925351. doi: 10.3389/fnut.2022.925351. eCollection 2022.
8
Review of and : A High Potential Supplement.和:高潜力补充剂综述。
Molecules. 2021 Nov 19;26(22):7005. doi: 10.3390/molecules26227005.
9
Microencapsulation of Rambutan Peel Extract by Spray Drying.喷雾干燥法制备红毛丹果皮提取物微胶囊
Foods. 2020 Jul 8;9(7):899. doi: 10.3390/foods9070899.
10
Effects of Rambutan Peel () PhenolicExtract on RANKL-Induced Differentiation of RAW264.7 Cells into Osteoclasts and Retinoic Acid-Induced Osteoporosis in Rats.余甘子果皮酚提取物对 RANKL 诱导的 RAW264.7 细胞向破骨细胞分化及维甲酸致骨质疏松大鼠的作用。
Nutrients. 2020 Mar 25;12(4):883. doi: 10.3390/nu12040883.
油菜蜂花粉酚类提取物的抗氧化和抗酪氨酸酶活性以及cAMP/MITF/TYR信号通路对B16小鼠黑色素瘤细胞黑色素生成的抑制作用
Front Pharmacol. 2017 Mar 9;8:104. doi: 10.3389/fphar.2017.00104. eCollection 2017.
4
RETRACTED: Polysaccharide from Angelica sinensis ameliorates high-fat diet and STZ-induced hepatic oxidative stress and inflammation in diabetic mice by activating the Sirt1-AMPK pathway.撤回:当归多糖通过激活 Sirt1-AMPK 通路改善高脂饮食和 STZ 诱导的糖尿病小鼠肝氧化应激和炎症。
J Nutr Biochem. 2017 May;43:88-97. doi: 10.1016/j.jnutbio.2017.02.001. Epub 2017 Feb 10.
5
Beneficial effects of Lycium barbarum polysaccharide on spermatogenesis by improving antioxidant activity and inhibiting apoptosis in streptozotocin-induced diabetic male mice.枸杞多糖通过提高抗氧化活性和抑制糖尿病雄性小鼠链脲佐菌素诱导的细胞凋亡来改善精子发生的有益作用。
Food Funct. 2017 Mar 22;8(3):1215-1226. doi: 10.1039/c6fo01575a.
6
Lactucaxanthin - a potential anti-diabetic carotenoid from lettuce (Lactuca sativa) inhibits α-amylase and α-glucosidase activity in vitro and in diabetic rats.叶绿基叶黄素——一种来自莴苣(生菜)的潜在抗糖尿病类胡萝卜素,可在体外和糖尿病大鼠中抑制α-淀粉酶和α-葡萄糖苷酶活性。
Food Funct. 2017 Mar 22;8(3):1124-1131. doi: 10.1039/c6fo01655c.
7
Protective effects of rambutan (Nephelium lappaceum) peel phenolics on HO-induced oxidative damages in HepG2 cells and d-galactose-induced aging mice.红毛丹(Nephelium lappaceum)果皮酚类物质对过氧化氢诱导的HepG2细胞氧化损伤及D-半乳糖诱导的衰老小鼠的保护作用。
Food Chem Toxicol. 2017 Oct;108(Pt B):554-562. doi: 10.1016/j.fct.2017.01.022. Epub 2017 Jan 27.
8
Anti-glycation and anti-oxidative effects of a phenolic-enriched maple syrup extract and its protective effects on normal human colon cells.富含酚类的枫糖浆提取物的抗糖化和抗氧化作用及其对正常人结肠细胞的保护作用。
Food Funct. 2017 Feb 22;8(2):757-766. doi: 10.1039/c6fo01360k.
9
Betanin, isolated from fruits of Opuntia elatior Mill attenuates renal fibrosis in diabetic rats through regulating oxidative stress and TGF-β pathway.从刺梨果实中分离出的甜菜红素通过调节氧化应激和转化生长因子-β通路减轻糖尿病大鼠的肾纤维化。
J Ethnopharmacol. 2017 Feb 23;198:432-443. doi: 10.1016/j.jep.2016.12.048. Epub 2017 Jan 20.
10
Assessment of anti-diabetic activity of the aqueous extract of leaves of Astilboides tabularis.落新妇叶水提取物的抗糖尿病活性评估。
J Ethnopharmacol. 2016 Dec 24;194:635-641. doi: 10.1016/j.jep.2016.10.003. Epub 2016 Oct 14.