Suppr超能文献

多结节性甲状腺肿中的显著冷结节被证实为甲状腺脂肪瘤:一例报告

Prominent Cold Nodule in Multinodular Goiter Revealed to Be Thyrolipoma: A Case Report.

作者信息

Kadivar Maryam, Kheirkhah Rahimabad Parnian, Salarinejad Sareh

机构信息

Dept. of Pathology, Rasoul Akram Hospital, Iran University of Medical Sciences, Tehran, Iran.

School of Medicine, Iran University of Medical Sciences, Tehran, Iran.

出版信息

Iran J Pathol. 2016 Fall;11(5):456-459. Epub 2016 Dec 24.

Abstract

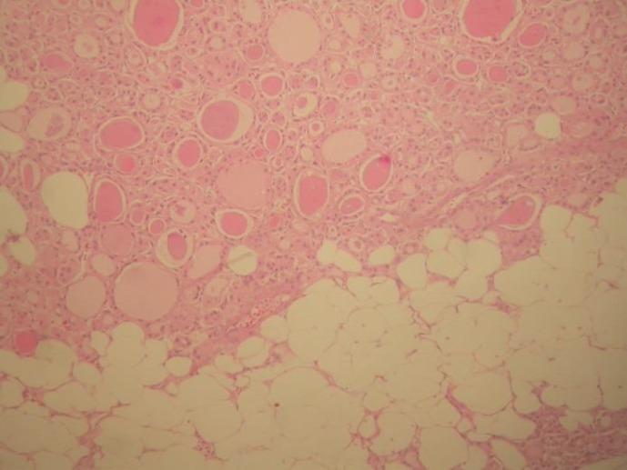
The presence of adipose tissue in the thyroid gland is a rare finding. Thyrolipoma or adenolipoma of the thyroid is a benign, encapsulated lesion of the thyroid composed of variable amounts of fat and glandular elements. This report presents a case of thyrolipoma in a 69-yr-old female presenting with neck swelling and respiratory distress. Differential diagnosis of the fat-containing thyroid lesion is also presented. Differentiation of the condition from similar lesions is necessary for accurate diagnosis of thyrolipoma

摘要

甲状腺中存在脂肪组织是一种罕见的发现。甲状腺脂肪瘤或腺脂肪瘤是一种良性的、有包膜的甲状腺病变,由不同数量的脂肪和腺性成分组成。本报告介绍了一例69岁女性甲状腺脂肪瘤病例,该患者表现为颈部肿胀和呼吸窘迫。文中还介绍了含脂肪甲状腺病变的鉴别诊断。为准确诊断甲状腺脂肪瘤,将该病症与相似病变进行区分很有必要。

https://cdn.ncbi.nlm.nih.gov/pmc/blobs/1dcb/5604110/6a058a476bed/ijp-11-456-g001.jpg

文献检索

告别复杂PubMed语法,用中文像聊天一样搜索,搜遍4000万医学文献。AI智能推荐,让科研检索更轻松。

立即免费搜索

文件翻译

保留排版,准确专业,支持PDF/Word/PPT等文件格式,支持 12+语言互译。

免费翻译文档

深度研究

AI帮你快速写综述,25分钟生成高质量综述,智能提取关键信息,辅助科研写作。

立即免费体验