Suppr超能文献

麒麟菜作为一种食品补充剂可预防大鼠饮食诱导的代谢综合征。

Kappaphycus alvarezii as a Food Supplement Prevents Diet-Induced Metabolic Syndrome in Rats.

机构信息

Functional Foods Research Group, Institute for Agriculture and the Environment, University of Southern Queensland, Toowoomba, QLD 4350, Australia.

School of Health and Wellbeing, University of Southern Queensland, Toowoomba, QLD 4350, Australia.

出版信息

Nutrients. 2017 Nov 17;9(11):1261. doi: 10.3390/nu9111261.

Abstract

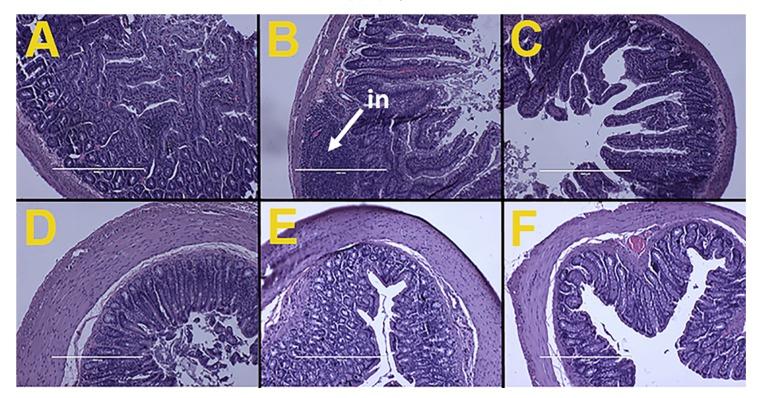
The red seaweed, , was evaluated for its potential to prevent signs of metabolic syndrome through use as a whole food supplement. Major biochemical components of dried are carrageenan (soluble fiber ~34.6%) and salt (predominantly potassium (K) 20%) with a low overall energy content for whole seaweed. Eight to nine week old male Wistar rats were randomly divided into three groups and fed for 8 weeks on a corn starch diet, a high-carbohydrate, high-fat (H) diet, alone or supplemented with a 5% (/) dried and milled blended into the base diet. H-fed rats showed symptoms of metabolic syndrome including increased body weight, total fat mass, systolic blood pressure, left ventricular collagen deposition, plasma triglycerides, and plasma non-esterified fatty acids along with fatty liver. Relative to these obese rats, -treated rats showed normalized body weight and adiposity, lower systolic blood pressure, improved heart and liver structure, and lower plasma lipids, even in presence of H diet. modulated the balance between Firmicutes and Bacteroidetes in the gut, which could serve as the potential mechanism for improved metabolic variables; this was accompanied by no damage to the gut structure. Thus, whole improved cardiovascular, liver, and metabolic parameters in obese rats.

摘要

红海藻被评估为具有作为全食物补充剂预防代谢综合征迹象的潜力。干海藻的主要生化成分是角叉菜胶(可溶性纤维~34.6%)和盐(主要是钾(K)20%),全海藻的总能量含量低。八到九周龄雄性 Wistar 大鼠随机分为三组,分别用玉米淀粉饮食、高碳水化合物高脂肪(H)饮食、或用 5%(/)的干磨红海藻混合在基础饮食中喂养 8 周。H 喂养的大鼠表现出代谢综合征的症状,包括体重增加、总脂肪量、收缩压、左心室胶原沉积、血浆甘油三酯和非酯化脂肪酸以及脂肪肝。与这些肥胖大鼠相比,-处理的大鼠表现出正常的体重和肥胖、更低的收缩压、改善的心脏和肝脏结构以及更低的血浆脂质,即使在 H 饮食存在的情况下也是如此。调节了肠道中厚壁菌门和拟杆菌门之间的平衡,这可能是改善代谢变量的潜在机制;这伴随着对肠道结构没有损害。因此,全海藻改善了肥胖大鼠的心血管、肝脏和代谢参数。

https://cdn.ncbi.nlm.nih.gov/pmc/blobs/aa7a/5707733/8487be97ca86/nutrients-09-01261-g001.jpg

文献AI研究员

20分钟写一篇综述,助力文献阅读效率提升50倍。

立即体验

用中文搜PubMed

大模型驱动的PubMed中文搜索引擎

马上搜索

文档翻译

学术文献翻译模型,支持多种主流文档格式。

立即体验