• 文献检索
  • 文档翻译
  • 深度研究
  • 学术资讯
  • Suppr Zotero 插件Zotero 插件
  • 邀请有礼
  • 套餐&价格
  • 历史记录
应用&插件
Suppr Zotero 插件Zotero 插件浏览器插件Mac 客户端Windows 客户端微信小程序
定价
高级版会员购买积分包购买API积分包
服务
文献检索文档翻译深度研究API 文档MCP 服务
关于我们
关于 Suppr公司介绍联系我们用户协议隐私条款
关注我们

Suppr 超能文献

核心技术专利:CN118964589B侵权必究
粤ICP备2023148730 号-1Suppr @ 2026

文献检索

告别复杂PubMed语法,用中文像聊天一样搜索,搜遍4000万医学文献。AI智能推荐,让科研检索更轻松。

立即免费搜索

文件翻译

保留排版,准确专业,支持PDF/Word/PPT等文件格式,支持 12+语言互译。

免费翻译文档

深度研究

AI帮你快速写综述,25分钟生成高质量综述,智能提取关键信息,辅助科研写作。

立即免费体验

与人相关的古菌通过其RNA被识别并诱导依赖TLR8的NLRP3炎性小体激活。

The Human-Associated Archaeon Is Recognized through Its RNA and Induces TLR8-Dependent NLRP3 Inflammasome Activation.

作者信息

Vierbuchen Tim, Bang Corinna, Rosigkeit Hanna, Schmitz Ruth A, Heine Holger

机构信息

Division of Innate Immunity, Research Center Borstel, Borstel, Germany.

Institute for General Microbiology, Christian-Albrechts-University Kiel, Kiel, Germany.

出版信息

Front Immunol. 2017 Nov 13;8:1535. doi: 10.3389/fimmu.2017.01535. eCollection 2017.

DOI:10.3389/fimmu.2017.01535
PMID:29181003
原文链接:https://pmc.ncbi.nlm.nih.gov/articles/PMC5694038/
Abstract

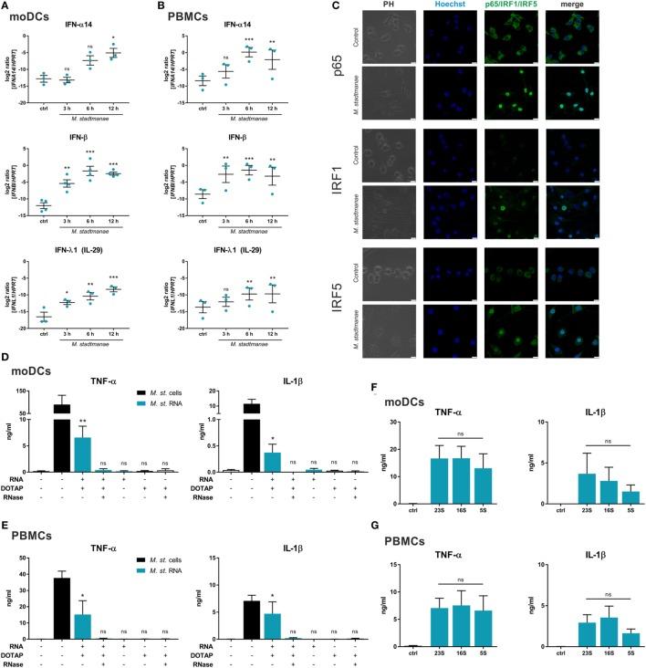
The archaeon is a member of the gut microbiota; yet, the molecular cross-talk between archaea and the human immune system and its potential contribution to inflammatory diseases has not been evaluated. Although archaea are as bacteria prokaryotes, they form a distinct domain having unique features such as different cell wall structures and membrane lipids. So far, no microbe-associated molecular patterns of archaea which activate innate immune receptors have been identified. By stimulating human myeloid cells with and purified archaeal nucleic acids, we identified both the microorganism and its RNA as potent stimuli for the innate immune system. To dissect the recognition and activation pathways induced by , human monocytic BLaER1 knockout cells were generated using the CRISPR/Cas9 system targeting components of TLR and inflammasome signaling. While the recognition of is mediated by TLR7 and TLR8, activation of the NLRP3 inflammasome depends solely on TLR8 engagement. Notably, this process resembles hallmarks of both the canonical and the recently described alternative inflammasome activation. Thus, we have demonstrated for the first time the specific recognition of and response to an archaeon by human cells at the molecular level.

摘要

古菌是肠道微生物群的成员;然而,古菌与人类免疫系统之间的分子相互作用及其对炎症性疾病的潜在影响尚未得到评估。尽管古菌与细菌一样都是原核生物,但它们形成了一个独特的域,具有独特的特征,如不同的细胞壁结构和膜脂。到目前为止,尚未鉴定出激活先天免疫受体的古菌微生物相关分子模式。通过用纯化的古菌核酸刺激人髓细胞,我们确定了该微生物及其RNA都是先天免疫系统的有效刺激物。为了剖析由该微生物诱导的识别和激活途径,使用靶向TLR和炎性小体信号传导成分的CRISPR/Cas9系统生成了人单核细胞BLaER1敲除细胞。虽然对该微生物的识别由TLR7和TLR8介导,但NLRP3炎性小体的激活仅取决于TLR8的参与。值得注意的是,这一过程类似于经典炎性小体激活和最近描述的替代性炎性小体激活的特征。因此,我们首次在分子水平上证明了人类细胞对古菌的特异性识别和反应。

https://cdn.ncbi.nlm.nih.gov/pmc/blobs/ef0f/5694038/201595db06d8/fimmu-08-01535-g004.jpg
https://cdn.ncbi.nlm.nih.gov/pmc/blobs/ef0f/5694038/f88c4cad3854/fimmu-08-01535-g001.jpg
https://cdn.ncbi.nlm.nih.gov/pmc/blobs/ef0f/5694038/b9c345aacaa7/fimmu-08-01535-g002.jpg
https://cdn.ncbi.nlm.nih.gov/pmc/blobs/ef0f/5694038/b532606029a6/fimmu-08-01535-g003.jpg
https://cdn.ncbi.nlm.nih.gov/pmc/blobs/ef0f/5694038/201595db06d8/fimmu-08-01535-g004.jpg
https://cdn.ncbi.nlm.nih.gov/pmc/blobs/ef0f/5694038/f88c4cad3854/fimmu-08-01535-g001.jpg
https://cdn.ncbi.nlm.nih.gov/pmc/blobs/ef0f/5694038/b9c345aacaa7/fimmu-08-01535-g002.jpg
https://cdn.ncbi.nlm.nih.gov/pmc/blobs/ef0f/5694038/b532606029a6/fimmu-08-01535-g003.jpg
https://cdn.ncbi.nlm.nih.gov/pmc/blobs/ef0f/5694038/201595db06d8/fimmu-08-01535-g004.jpg

相似文献

1
The Human-Associated Archaeon Is Recognized through Its RNA and Induces TLR8-Dependent NLRP3 Inflammasome Activation.与人相关的古菌通过其RNA被识别并诱导依赖TLR8的NLRP3炎性小体激活。
Front Immunol. 2017 Nov 13;8:1535. doi: 10.3389/fimmu.2017.01535. eCollection 2017.
2
The intestinal archaea Methanosphaera stadtmanae and Methanobrevibacter smithii activate human dendritic cells.肠道古菌史氏甲烷球形菌和史氏甲烷短杆菌可激活人树突状细胞。
PLoS One. 2014 Jun 10;9(6):e99411. doi: 10.1371/journal.pone.0099411. eCollection 2014.
3
Extensive Inter-Domain Lateral Gene Transfer in the Evolution of the Human Commensal Methanosphaera stadtmanae.人类共生甲烷八叠球菌进化过程中的广泛种间水平基因转移。
Front Genet. 2012 Sep 19;3:182. doi: 10.3389/fgene.2012.00182. eCollection 2012.
4
High prevalence of Methanobrevibacter smithii and Methanosphaera stadtmanae detected in the human gut using an improved DNA detection protocol.采用改良 DNA 检测方案在人类肠道中检测到大量 Methanobrevibacter smithii 和 Methanosphaera stadtmanae。
PLoS One. 2009 Sep 17;4(9):e7063. doi: 10.1371/journal.pone.0007063.
5
The genome sequence of Methanosphaera stadtmanae reveals why this human intestinal archaeon is restricted to methanol and H2 for methane formation and ATP synthesis.史氏甲烷球形菌的基因组序列揭示了为何这种人类肠道古菌仅利用甲醇和氢气来生成甲烷及合成ATP。
J Bacteriol. 2006 Jan;188(2):642-58. doi: 10.1128/JB.188.2.642-658.2006.
6
Tungsten-enhanced growth of Methanosphaera stadtmanae.钨促进史氏甲烷球形菌的生长。
BMC Res Notes. 2012 May 15;5:238. doi: 10.1186/1756-0500-5-238.
7
Gut Colonization by Methanogenic Archaea Is Associated with Organic Dairy Consumption in Children.产甲烷古菌在肠道中的定殖与儿童食用有机乳制品有关。
Front Microbiol. 2017 Mar 10;8:355. doi: 10.3389/fmicb.2017.00355. eCollection 2017.
8
A structural comparison of the total polar lipids from the human archaea Methanobrevibacter smithii and Methanosphaera stadtmanae and its relevance to the adjuvant activities of their liposomes.来自人类古菌史氏甲烷短杆菌和施氏甲烷球形菌的总极性脂质的结构比较及其与脂质体佐剂活性的相关性。
Biochim Biophys Acta. 1999 Sep 22;1440(2-3):275-88. doi: 10.1016/s1388-1981(99)00130-4.
9
Exploring the human archaeome: its relevance for health and disease, and its complex interplay with the human immune system.探索人类考古基因组:其与健康和疾病的相关性,以及它与人类免疫系统的复杂相互作用。
FEBS J. 2025 Mar;292(6):1316-1329. doi: 10.1111/febs.17123. Epub 2024 Mar 31.
10
Canonical and Non-Canonical Activation of NLRP3 Inflammasome at the Crossroad between Immune Tolerance and Intestinal Inflammation.NLRP3炎性小体在免疫耐受与肠道炎症十字路口的经典与非经典激活
Front Immunol. 2017 Jan 25;8:36. doi: 10.3389/fimmu.2017.00036. eCollection 2017.

引用本文的文献

1
Streptococcus pyogenes EVs induce the alternative inflammasome via caspase-4/-5 in human monocytes.化脓性链球菌细胞外囊泡通过半胱天冬酶-4/-5在人单核细胞中诱导替代性炎性小体。
EMBO Rep. 2025 Sep 8. doi: 10.1038/s44319-025-00558-7.
2
The expanding role of the NLRP3 inflammasome from periodic fevers to therapeutic targets.NLRP3炎性小体从周期性发热到治疗靶点的作用扩展
Nat Immunol. 2025 Aug 18. doi: 10.1038/s41590-025-02230-7.
3
Uptake of environmental halophilic archaea by human dendritic cells.人类树突状细胞对环境嗜盐古菌的摄取。

本文引用的文献

1
Activation of NLRP3 Inflammasome in Inflammatory Bowel Disease: Differences Between Crohn's Disease and Ulcerative Colitis.炎症性肠病中NLRP3炎性小体的激活:克罗恩病与溃疡性结肠炎的差异
Dig Dis Sci. 2017 Sep;62(9):2348-2356. doi: 10.1007/s10620-017-4609-8. Epub 2017 May 18.
2
induces a type IV hypersensitivity response in a mouse model of airway inflammation.在气道炎症的小鼠模型中引发IV型超敏反应。
Physiol Rep. 2017 Apr;5(7). doi: 10.14814/phy2.13163.
3
Unexplored Archaeal Diversity in the Great Ape Gut Microbiome.大猩猩肠道微生物群中未被探索的古菌多样性。
Sci Rep. 2025 Jul 1;15(1):21912. doi: 10.1038/s41598-025-07365-z.
4
Bacterial RNA sensing by TLR8 requires RNase 6 processing and is inhibited by RNA 2'O-methylation.TLR8 通过 RNase 6 加工来感应细菌 RNA,并受 RNA 2'O-甲基化的抑制。
EMBO Rep. 2024 Nov;25(11):4674-4692. doi: 10.1038/s44319-024-00281-9. Epub 2024 Oct 3.
5
Archaea in the Human Microbiome and Potential Effects on Human Infectious Disease.古菌在人类微生物组中的作用及其对人类传染病的潜在影响。
Emerg Infect Dis. 2024 Aug;30(8):1505-13. doi: 10.3201/eid3008.240181.
6
naRNA-LL37 composite DAMPs define sterile NETs as self-propagating drivers of inflammation.naRNA-LL37 复合 DAMPs 将无菌 NETs 定义为自我传播的炎症驱动因素。
EMBO Rep. 2024 Jul;25(7):2914-2949. doi: 10.1038/s44319-024-00150-5. Epub 2024 May 23.
7
Exploring the human archaeome: its relevance for health and disease, and its complex interplay with the human immune system.探索人类考古基因组:其与健康和疾病的相关性,以及它与人类免疫系统的复杂相互作用。
FEBS J. 2025 Mar;292(6):1316-1329. doi: 10.1111/febs.17123. Epub 2024 Mar 31.
8
The Role of Methanogenic Archaea in Inflammatory Bowel Disease-A Review.产甲烷古菌在炎症性肠病中的作用——综述
J Pers Med. 2024 Feb 10;14(2):196. doi: 10.3390/jpm14020196.
9
Methanogenic Archaea in the Pediatric Inflammatory Bowel Disease in Relation to Disease Type and Activity.产甲烷古菌与儿科炎症性肠病的关系及其与疾病类型和活动的关系。
Int J Mol Sci. 2024 Jan 4;25(1):673. doi: 10.3390/ijms25010673.
10
Methanosphaera massiliense sp. nov., a methanogenic archaeal species found in a human fecal sample and prevalent in pigs and red kangaroos.产甲烷菌属马赛氏菌,一种在人类粪便样本中发现的产甲烷古菌物种,在猪和红袋鼠中普遍存在。
Microbiol Spectr. 2024 Feb 6;12(2):e0514122. doi: 10.1128/spectrum.05141-22. Epub 2024 Jan 8.
mSphere. 2017 Feb 22;2(1). doi: 10.1128/mSphere.00026-17. eCollection 2017 Jan-Feb.
4
Structural Analysis Reveals that Toll-like Receptor 7 Is a Dual Receptor for Guanosine and Single-Stranded RNA.结构分析揭示 Toll 样受体 7 是鸟苷和单链 RNA 的双重受体。
Immunity. 2016 Oct 18;45(4):737-748. doi: 10.1016/j.immuni.2016.09.011. Epub 2016 Oct 11.
5
K Efflux-Independent NLRP3 Inflammasome Activation by Small Molecules Targeting Mitochondria.小分子靶向线粒体激活无钾钙离子通道依赖性 NLRP3 炎症小体。
Immunity. 2016 Oct 18;45(4):761-773. doi: 10.1016/j.immuni.2016.08.010. Epub 2016 Sep 27.
6
Endosomal recognition of Lactococcus lactis G121 and its RNA by dendritic cells is key to its allergy-protective effects.乳球菌 G121 及其 RNA 被树突状细胞内体识别是其发挥抗过敏保护作用的关键。
J Allergy Clin Immunol. 2017 Feb;139(2):667-678.e5. doi: 10.1016/j.jaci.2016.06.018. Epub 2016 Jul 15.
7
Recent insights into the molecular mechanisms of the NLRP3 inflammasome activation.NLRP3炎性小体激活分子机制的最新见解。
F1000Res. 2016 Jun 22;5. doi: 10.12688/f1000research.8614.1. eCollection 2016.
8
The Gut Microbiota in Immune-Mediated Inflammatory Diseases.免疫介导的炎症性疾病中的肠道微生物群
Front Microbiol. 2016 Jul 11;7:1081. doi: 10.3389/fmicb.2016.01081. eCollection 2016.
9
Inflammasome Complexes: Emerging Mechanisms and Effector Functions.炎性小体复合物:新出现的机制与效应功能
Cell. 2016 May 5;165(4):792-800. doi: 10.1016/j.cell.2016.03.046.
10
Recognition of Endogenous Nucleic Acids by the Innate Immune System.固有免疫系统对内源性核酸的识别。
Immunity. 2016 Apr 19;44(4):739-54. doi: 10.1016/j.immuni.2016.04.002.