Department of Maxillofacial Biomedical Engineering and Institute of Oral Biology, School of Dentistry, Kyung Hee University, 26 Kyunghee-daero, Dongdaemun-gu, Seoul, 02447, South Korea.
Department of Periodontology, School of Dentistry, Kyung Hee University, 26 Kyunghee-daero, Dongdaemun-gu, Seoul, 02447, South Korea.
Stem Cell Res Ther. 2017 Dec 6;8(1):276. doi: 10.1186/s13287-017-0725-9.
Oxysterols, oxygenated by-products of cholesterol biosynthesis, play roles in various physiological and pathological systems. However, the effects of oxysterols on periodontal regeneration are unknown. This study investigated the effects of the specific oxysterol combination of 22(S)-hydroxycholesterol and 20(S)-hydroxycholesterol (SS) on the regeneration of periodontal tissues using in-vitro periodontal ligament stem cells (PDLSCs) and in-vivo models of alveolar bone defect.
To evaluate the effects of the combined oxysterols on PDLSC biology, we studied the SS-induced osteogenic differentiation of PDLSCs by assessing alkaline phosphatase activity, intracellular calcium levels [Ca], matrix mineralization, and osteogenic marker mRNA expression and protein levels. To verify the effect of oxysterols on alveolar bone regeneration, we employed tooth extraction bone defect models.
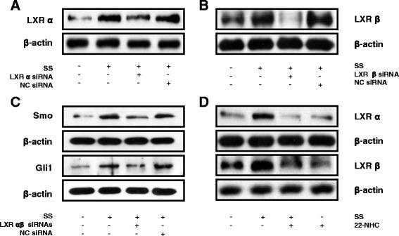
Oxysterols increased the osteogenic activity of PDLSCs compared with the control group. The expression of liver X receptor (LXR) α and β, the nuclear receptors for oxysterols, and their target gene, ATP-binding cassette transporter A1 (ABCA1), increased significantly during osteogenesis. Oxysterols also increased protein levels of the hedgehog (Hh) receptor Smo and the transcription factor Gli1. We further confirmed the reciprocal reaction between the LXRs and Hh signaling. Transfection of both LXRα and LXRβ siRNAs decreased Smo and Gli1 protein levels. In contrast, the inhibition of Hh signaling attenuated the LXRα and LXRβ protein levels. Subsequently, SS-induced osteogenic activity of PDLSCs was suppressed by the inhibition of LXRs or Hh signaling. The application of SS also enhanced bone formation in the defect sites of in-vivo models, showing equivalent efficacy to recombinant human bone morphogenetic protein-2.
These findings suggest that a specific combination of oxysterols promoted periodontal regeneration by regulating PDLSC activity and alveolar bone regeneration.
氧化固醇是胆固醇生物合成的含氧副产物,在各种生理和病理系统中发挥作用。然而,氧化固醇对牙周再生的影响尚不清楚。本研究使用体外牙周韧带干细胞(PDLSCs)和牙槽骨缺损的体内模型,研究了特定的氧化固醇 22(S)-羟胆固醇和 20(S)-羟胆固醇(SS)组合对牙周组织再生的影响。
为了评估联合氧化固醇对 PDLSC 生物学的影响,我们通过评估碱性磷酸酶活性、细胞内钙水平[Ca]、基质矿化以及成骨标志物的 mRNA 表达和蛋白水平来研究 SS 诱导的 PDLSC 成骨分化。为了验证氧化固醇对牙槽骨再生的影响,我们采用了拔牙牙槽骨缺损模型。
与对照组相比,氧化固醇增加了 PDLSCs 的成骨活性。在成骨过程中,肝 X 受体(LXR)α和β的表达,氧化固醇的核受体及其靶基因 ATP 结合盒转运蛋白 A1(ABCA1)显著增加。氧化固醇还增加了 hedgehog(Hh)受体 Smo 和转录因子 Gli1 的蛋白水平。我们进一步证实了 LXRs 和 Hh 信号之间的相互反应。转染 LXRα 和 LXRβ siRNA 降低了 Smo 和 Gli1 蛋白水平。相反,抑制 Hh 信号减弱了 LXRα 和 LXRβ 蛋白水平。随后,SS 抑制 LXRs 或 Hh 信号抑制了 PDLSCs 的成骨活性。SS 的应用也增强了体内模型缺陷部位的骨形成,表现出与重组人骨形态发生蛋白-2 相当的功效。
这些发现表明,特定的氧化固醇组合通过调节 PDLSC 活性和牙槽骨再生来促进牙周再生。