Suppr超能文献

通过支架置入术逆转颈动脉夹层所致的眼部和脑部缺血

Reversal of carotid dissection-induced ocular and cerebral ischemia by stenting.

作者信息

Albertus Daniel L, Pipitone Baldassare, Srinivasan Ashok, Trobe Jonathan D

机构信息

Kellogg Eye Center, Department of Ophthalmology and Visual Sciences, University of Michigan, United States.

Department of Radiology (Neuroradiology), University of Michigan, United States.

出版信息

Am J Ophthalmol Case Rep. 2017 May 18;7:50-54. doi: 10.1016/j.ajoc.2017.05.003. eCollection 2017 Sep.

Abstract

PURPOSE

To present an example of how close clinical monitoring of a patient with acute Horner syndrome from carotid artery dissection may be critical in reversing neurologic dysfunction.

OBSERVATIONS

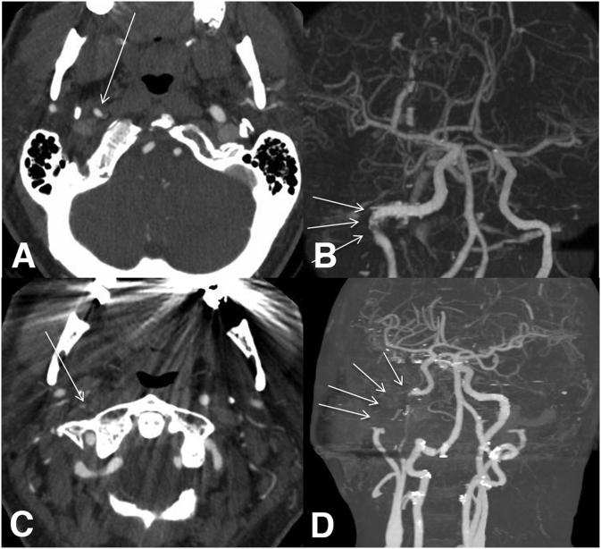
A patient whose initial neuro-ophthalmic manifestation was Horner syndrome, but who evolved over 14 days to display transient monocular vision loss, ipsilateral ocular ischemic syndrome, and episodic contralateral hemiparesis. Digital subtraction angiography demonstrated progressive ipsilateral carotid occlusion with lack of collateral flow. The patient underwent stenting with rapid reversal of transient monocular visual loss and hemiparesis. Follow-up examination several months later confirmed complete resolution of all clinical abnormalities.

CONCLUSIONS AND IMPORTANCE

This case displayed protracted evolution of ischemic manifestations following carotid artery dissection and their prompt reversal with stenting. This case emphasizes the value of close clinical attention to a patient with acute Horner syndrome because manifestations may appear more than 10 days after event onset that impel intervention for the dissection.

摘要

目的

举例说明对因颈动脉夹层导致急性霍纳综合征患者进行密切临床监测对于逆转神经功能障碍可能至关重要。

观察结果

一名患者最初的神经眼科表现为霍纳综合征,但在14天内病情进展,出现短暂性单眼视力丧失、同侧眼部缺血综合征和发作性对侧偏瘫。数字减影血管造影显示同侧颈动脉逐渐闭塞且无侧支血流。该患者接受了支架置入术,短暂性单眼视力丧失和偏瘫迅速逆转。数月后的随访检查证实所有临床异常均已完全消失。

结论及重要性

该病例显示了颈动脉夹层后缺血表现的迁延演变以及支架置入术使其迅速逆转。该病例强调了对急性霍纳综合征患者进行密切临床关注的价值,因为在事件发生10天以上可能会出现促使对夹层进行干预的表现。

https://cdn.ncbi.nlm.nih.gov/pmc/blobs/453b/5722172/83d786b3a9e7/gr1.jpg

相似文献

1
Reversal of carotid dissection-induced ocular and cerebral ischemia by stenting.
Am J Ophthalmol Case Rep. 2017 May 18;7:50-54. doi: 10.1016/j.ajoc.2017.05.003. eCollection 2017 Sep.
2
Internal Carotid Artery Dissection Presenting with Transient or Subclinical Horner Syndrome.
Case Rep Ophthalmol. 2024 Jan 9;15(1):29-35. doi: 10.1159/000535475. eCollection 2024 Jan-Dec.
3
Percutaneous carotid artery angioplasty and stenting for ocular ischemic syndrome.
Ophthalmology. 2004 Dec;111(12):2284-91. doi: 10.1016/j.ophtha.2004.05.029.
4
Blindness Following Carotid Artery Stenting Due to Ocular Hyperperfusion - Report and Review of Literature.
Neurol India. 2020 Jul-Aug;68(4):897-899. doi: 10.4103/0028-3886.293455.
5
A Case of Complete Recovery of Fluctuating Monocular Blindness Following Endovascular Treatment in Internal Carotid Artery Dissection.
J Stroke Cerebrovasc Dis. 2015 Sep;24(9):e283-6. doi: 10.1016/j.jstrokecerebrovasdis.2015.06.029. Epub 2015 Jul 17.
6
Vascular emergencies in neuro-ophthalmology.
Rom J Ophthalmol. 2020 Oct-Dec;64(4):323-332. doi: 10.22336/rjo.2020.54.

引用本文的文献

1
Ocular ischemic syndrome secondary to cerebral aneurysms.
Am J Ophthalmol Case Rep. 2024 Oct 31;36:102214. doi: 10.1016/j.ajoc.2024.102214. eCollection 2024 Dec.

本文引用的文献

1
Antiplatelet treatment compared with anticoagulation treatment for cervical artery dissection (CADISS): a randomised trial.
Lancet Neurol. 2015 Apr;14(4):361-7. doi: 10.1016/S1474-4422(15)70018-9. Epub 2015 Feb 12.
2
Cervical carotid artery dissection: current review of diagnosis and treatment.
Cardiol Rev. 2012 May-Jun;20(3):145-52. doi: 10.1097/CRD.0b013e318247cd15.
3
Ocular ischemic syndrome.
Surv Ophthalmol. 2010 Jan-Feb;55(1):2-34. doi: 10.1016/j.survophthal.2009.02.024.
4
Endovascular treatment of distal cervical and intracranial dissections with the neuroform stent.
Neurosurgery. 2008 Mar;62(3):636-46; discussion 636-46. doi: 10.1227/01.NEU.0000311350.25281.6B.
5
Incidence and outcome of cervical artery dissection: a population-based study.
Neurology. 2006 Nov 28;67(10):1809-12. doi: 10.1212/01.wnl.0000244486.30455.71.
7
Spontaneous dissection of the carotid and vertebral arteries.
N Engl J Med. 2001 Mar 22;344(12):898-906. doi: 10.1056/NEJM200103223441206.
8
Ophthalmologic manifestations of internal carotid artery dissection.
Am J Ophthalmol. 1998 Oct;126(4):565-77. doi: 10.1016/s0002-9394(98)00136-6.
10
Ocular ischemic syndrome secondary to carotid artery dissection.
Am J Ophthalmol. 1988 Dec 15;106(6):750-2. doi: 10.1016/0002-9394(88)90721-0.

文献AI研究员

20分钟写一篇综述,助力文献阅读效率提升50倍。

立即体验

用中文搜PubMed

大模型驱动的PubMed中文搜索引擎

马上搜索

文档翻译

学术文献翻译模型,支持多种主流文档格式。

立即体验