Suppr超能文献

免疫功能正常患者由巨细胞病毒感染引起的相关心包积液:一例报告

Relevant pericardial effusion caused by cytomegalovirus infection in an immunocompetent patient: a case report.

作者信息

Hutter Tabea, Springe Dirk, Ebnöther Lukas, Delgado Marcos

机构信息

Intensive care unit, Department of Anaesthesiology, Bürgerspital Solothurn, Schöngrünstrasse 42, CH-4500, Solothurn, Switzerland.

出版信息

J Med Case Rep. 2018 Jan 19;12(1):14. doi: 10.1186/s13256-017-1542-6.

Abstract

BACKGROUND

Cytomegalovirus infection is known to cause symptomatic disease in immunocompromised patients, while an infection in immunocompetent individuals normally causes few or no symptoms. We present the case of an immunocompetent adult patient with unexpected severe evolution.

CASE PRESENTATION

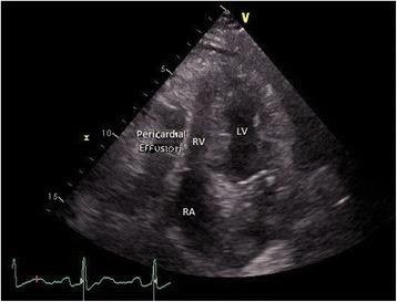
An otherwise healthy, 72-year-old Caucasian woman presented with complaints of progressive shoulder pain and dyspnoea on exertion. The blood test results showed elevated inflammation parameters and elevated hepatic transaminase levels. Radiologic examinations were carried out, and the computed tomography scan revealed a hepatomegaly and a chest X-ray showed evidence of a unilateral pleural effusion. A transthoracic echocardiography detected pericardial effusion with consecutive hemodynamic changes. Since it was considered that using ultrasound-guided pericardiocentesis could significantly increase the risk of liver injury due to hepatomegaly, a pericardial window was performed instead. Further investigation showed that our patient tested positive for an acute cytomegalovirus infection in the serologic tests. Laboratory findings included new evidence of immunoglobulin M seroconversion and high immunoglobulin G avidity, so we considered the possibility that a former cytomegalovirus infection may be coexisting with a new cytomegalovirus reinfection.

CONCLUSIONS

In immunocompetent individuals, a symptomatic cytomegalovirus primary infection or reinfection should be considered in patients presenting with pericardial effusion and serositis.

摘要

背景

已知巨细胞病毒感染会在免疫功能低下的患者中引起症状性疾病,而在免疫功能正常的个体中感染通常很少或不会引起症状。我们报告一例免疫功能正常的成年患者出现意外严重病情进展的病例。

病例介绍

一名72岁的健康白种女性因进行性肩部疼痛和劳力性呼吸困难前来就诊。血液检查结果显示炎症参数升高和肝转氨酶水平升高。进行了放射学检查,计算机断层扫描显示肝肿大,胸部X线显示有单侧胸腔积液的迹象。经胸超声心动图检测到心包积液并伴有连续的血流动力学变化。由于认为超声引导下心包穿刺术可能因肝肿大而显著增加肝损伤风险,因此改为进行心包开窗术。进一步检查显示,我们的患者血清学检测巨细胞病毒急性感染呈阳性。实验室检查结果包括免疫球蛋白M血清转化的新证据和高免疫球蛋白G亲和力,因此我们考虑既往巨细胞病毒感染可能与新的巨细胞病毒再感染同时存在。

结论

在免疫功能正常的个体中,出现心包积液和浆膜炎的患者应考虑有症状性巨细胞病毒原发性感染或再感染。

https://cdn.ncbi.nlm.nih.gov/pmc/blobs/1e05/5774143/10b565e00809/13256_2017_1542_Fig1_HTML.jpg

文献AI研究员

20分钟写一篇综述,助力文献阅读效率提升50倍。

立即体验

用中文搜PubMed

大模型驱动的PubMed中文搜索引擎

马上搜索

文档翻译

学术文献翻译模型,支持多种主流文档格式。

立即体验