Suppr超能文献

樱花素对人鼻病毒3型的抗病毒活性。

Antiviral Activity of Sakuranetin against Human Rhinovirus 3.

作者信息

Choi Hwa-Jung

机构信息

Department of Beauty Science, Kwangju Women's University, Gwangju, Korea.

出版信息

Osong Public Health Res Perspect. 2017 Dec;8(6):415-420. doi: 10.24171/j.phrp.2017.8.6.09. Epub 2017 Dec 31.

Abstract

OBJECTIVES

Rhinoviruses (RVs) cause common cold and are associated with exacerbation of chronic inflammatory respiratory diseases. Until now, no clinically effective antiviral chemotherapeutic agents to treat diseases caused by human rhinoviruses (HRVs) have been reported. We assessed the anti-HRV3 activity of sakuranetin isolated from Hedl. in human epithelioid carcinoma cervix (HeLa) cells, to evaluate its anti-rhinoviral potential in the clinical setting.

METHODS

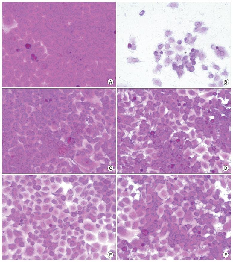
Antiviral activity and cytotoxicity as well as the effect of sakuranetin on HRV3-induced cytopathic effects (CPEs) were evaluated using the sulforhodamine B (SRB) method using CPE reduction. The morphology of HRV3-infected cells was studied using a light microscope.

RESULTS

Sakuranetin actively inhibited HRV3 replication and exhibited antiviral activity of more than 67% without cytotoxicity in HeLa cells, at 100 μg/mL. Ribavirin showed anti-HRV3 activity similar to that of sakuranetin. Treatment of HRV-infected HeLa cells with sakuranetin visibly reduced CPEs.

CONCLUSION

The inhibition of HRV production by sakuranetin is mainly due to its general antioxidant activity through inhibition of viral adsorption. Therefore, the antiviral activity of sakuranetin should be further investigated to elucidate its mode of action and prevent HRV3-mediated diseases in pathological conditions.

摘要

目的

鼻病毒(RVs)可引起普通感冒,并与慢性炎症性呼吸道疾病的加重有关。迄今为止,尚未有治疗由人鼻病毒(HRVs)引起疾病的临床有效抗病毒化疗药物报道。我们评估了从[植物名称未完整给出]中分离出的樱花素在人宫颈上皮样癌细胞(HeLa)中的抗HRV3活性,以评估其在临床环境中的抗鼻病毒潜力。

方法

采用磺酰罗丹明B(SRB)法,通过减少细胞病变效应(CPEs)来评估樱花素的抗病毒活性、细胞毒性以及对HRV3诱导的CPEs的影响。使用光学显微镜研究HRV3感染细胞的形态。

结果

樱花素在100μg/mL时可有效抑制HRV3复制,在HeLa细胞中表现出超过67%的抗病毒活性且无细胞毒性。利巴韦林显示出与樱花素相似的抗HRV3活性。用樱花素处理HRV感染的HeLa细胞可明显减少CPEs。

结论

樱花素对HRV产生的抑制作用主要归因于其通过抑制病毒吸附而具有的一般抗氧化活性。因此,应进一步研究樱花素的抗病毒活性,以阐明其作用方式,并在病理条件下预防HRV3介导的疾病。

https://cdn.ncbi.nlm.nih.gov/pmc/blobs/40ed/5749483/81b11a3f5d3c/phrp-08-415f1.jpg

文献AI研究员

20分钟写一篇综述,助力文献阅读效率提升50倍。

立即体验

用中文搜PubMed

大模型驱动的PubMed中文搜索引擎

马上搜索

文档翻译

学术文献翻译模型,支持多种主流文档格式。

立即体验