• 文献检索
  • 文档翻译
  • 深度研究
  • 学术资讯
  • Suppr Zotero 插件Zotero 插件
  • 邀请有礼
  • 套餐&价格
  • 历史记录
应用&插件
Suppr Zotero 插件Zotero 插件浏览器插件Mac 客户端Windows 客户端微信小程序
定价
高级版会员购买积分包购买API积分包
服务
文献检索文档翻译深度研究API 文档MCP 服务
关于我们
关于 Suppr公司介绍联系我们用户协议隐私条款
关注我们

Suppr 超能文献

核心技术专利:CN118964589B侵权必究
粤ICP备2023148730 号-1Suppr @ 2026

文献检索

告别复杂PubMed语法,用中文像聊天一样搜索,搜遍4000万医学文献。AI智能推荐,让科研检索更轻松。

立即免费搜索

文件翻译

保留排版,准确专业,支持PDF/Word/PPT等文件格式,支持 12+语言互译。

免费翻译文档

深度研究

AI帮你快速写综述,25分钟生成高质量综述,智能提取关键信息,辅助科研写作。

立即免费体验

实验绵羊 BSE 朊病毒在表达人类朊病毒蛋白的转基因小鼠中连续传代时会产生 vCJD 表型。

Experimental sheep BSE prions generate the vCJD phenotype when serially passaged in transgenic mice expressing human prion protein.

机构信息

MRC Prion Unit at UCL, UCL Institute of Prion Diseases, London, UK.

Animal and Plant Health Agency, Addlestone, Surrey, UK.

出版信息

J Neurol Sci. 2018 Mar 15;386:4-11. doi: 10.1016/j.jns.2017.12.038. Epub 2017 Dec 29.

DOI:10.1016/j.jns.2017.12.038
PMID:29406965
原文链接:https://pmc.ncbi.nlm.nih.gov/articles/PMC5946165/
Abstract

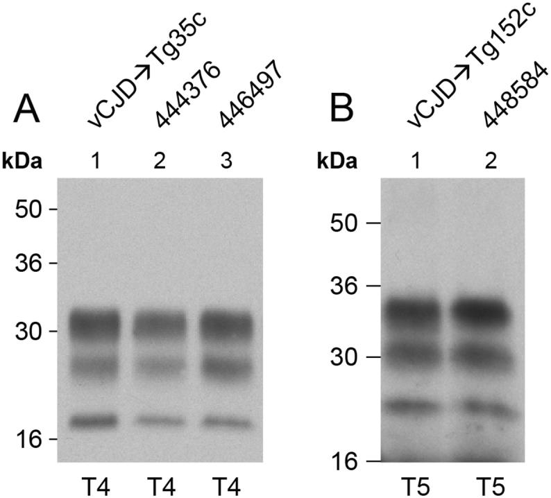
The epizootic prion disease of cattle, bovine spongiform encephalopathy (BSE), causes variant Creutzfeldt-Jakob disease (vCJD) in humans following dietary exposure. While it is assumed that all cases of vCJD attributed to a dietary aetiology are related to cattle BSE, sheep and goats are susceptible to experimental oral challenge with cattle BSE prions and farmed animals in the UK were undoubtedly exposed to BSE-contaminated meat and bone meal during the late 1980s and early 1990s. Although no natural field cases of sheep BSE have been identified, it cannot be excluded that some BSE-infected sheep might have entered the European human food chain. Evaluation of the zoonotic potential of sheep BSE prions has been addressed by examining the transmission properties of experimental brain isolates in transgenic mice that express human prion protein, however to-date there have been relatively few studies. Here we report that serial passage of experimental sheep BSE prions in transgenic mice expressing human prion protein with methionine at residue 129 produces the vCJD phenotype that mirrors that seen when the same mice are challenged with vCJD prions from patient brain. These findings are congruent with those reported previously by another laboratory, and thereby strongly reinforce the view that sheep BSE prions could have acted as a causal agent of vCJD within Europe.

摘要

牛的朊病毒病——牛海绵状脑病(BSE),在人类通过饮食暴露于该病后,会导致变异型克雅氏病(vCJD)。虽然人们认为所有归因于饮食病因的 vCJD 病例都与牛海绵状脑病有关,但绵羊和山羊易受牛海绵状脑病朊病毒的实验性口服感染,英国的养殖动物在 20 世纪 80 年代末和 90 年代初无疑接触过含有 BSE 污染的肉骨粉。尽管尚未发现天然的绵羊 BSE 病例,但不能排除某些感染 BSE 的绵羊可能已进入欧洲人类食物链。评估绵羊 BSE 朊病毒的人畜共患病潜力,是通过检查在表达人类朊病毒蛋白的转基因小鼠中实验性脑组织分离物的传播特性来实现的,然而迄今为止,此类研究相对较少。在此,我们报告了在表达人类朊病毒蛋白且 129 位为蛋氨酸的转基因小鼠中,连续传代实验性绵羊 BSE 朊病毒,可产生与用 vCJD 患者脑组织感染相同的小鼠相同的 vCJD 表型。这些发现与另一个实验室之前的报告一致,从而有力地支持了绵羊 BSE 朊病毒可能是欧洲 vCJD 的致病因子的观点。

https://cdn.ncbi.nlm.nih.gov/pmc/blobs/cd1a/5946165/d0c35f4e9e5d/gr6.jpg
https://cdn.ncbi.nlm.nih.gov/pmc/blobs/cd1a/5946165/4d1f80a5fef3/gr1.jpg
https://cdn.ncbi.nlm.nih.gov/pmc/blobs/cd1a/5946165/e81c6b681cb5/gr2.jpg
https://cdn.ncbi.nlm.nih.gov/pmc/blobs/cd1a/5946165/6b460f0ba092/gr3.jpg
https://cdn.ncbi.nlm.nih.gov/pmc/blobs/cd1a/5946165/80cd90aba896/gr4.jpg
https://cdn.ncbi.nlm.nih.gov/pmc/blobs/cd1a/5946165/775b40234e37/gr5.jpg
https://cdn.ncbi.nlm.nih.gov/pmc/blobs/cd1a/5946165/d0c35f4e9e5d/gr6.jpg
https://cdn.ncbi.nlm.nih.gov/pmc/blobs/cd1a/5946165/4d1f80a5fef3/gr1.jpg
https://cdn.ncbi.nlm.nih.gov/pmc/blobs/cd1a/5946165/e81c6b681cb5/gr2.jpg
https://cdn.ncbi.nlm.nih.gov/pmc/blobs/cd1a/5946165/6b460f0ba092/gr3.jpg
https://cdn.ncbi.nlm.nih.gov/pmc/blobs/cd1a/5946165/80cd90aba896/gr4.jpg
https://cdn.ncbi.nlm.nih.gov/pmc/blobs/cd1a/5946165/775b40234e37/gr5.jpg
https://cdn.ncbi.nlm.nih.gov/pmc/blobs/cd1a/5946165/d0c35f4e9e5d/gr6.jpg

相似文献

1
Experimental sheep BSE prions generate the vCJD phenotype when serially passaged in transgenic mice expressing human prion protein.实验绵羊 BSE 朊病毒在表达人类朊病毒蛋白的转基因小鼠中连续传代时会产生 vCJD 表型。
J Neurol Sci. 2018 Mar 15;386:4-11. doi: 10.1016/j.jns.2017.12.038. Epub 2017 Dec 29.
2
Guinea Pig Prion Protein Supports Rapid Propagation of Bovine Spongiform Encephalopathy and Variant Creutzfeldt-Jakob Disease Prions.豚鼠朊病毒蛋白支持牛海绵状脑病和变异型克雅氏病朊病毒的快速传播。
J Virol. 2016 Oct 14;90(21):9558-9569. doi: 10.1128/JVI.01106-16. Print 2016 Nov 1.
3
Sheep and goat BSE propagate more efficiently than cattle BSE in human PrP transgenic mice.绵羊和山羊 BSE 在人类 PrP 转基因小鼠中比牛 BSE 更有效地传播。
PLoS Pathog. 2011 Mar;7(3):e1001319. doi: 10.1371/journal.ppat.1001319. Epub 2011 Mar 17.
4
Isolation of a novel human prion strain from a PRNP codon 129 heterozygous vCJD patient.从一名PRNP密码子129杂合的变异型克雅氏病(vCJD)患者中分离出一种新型人类朊病毒株。
PLoS Pathog. 2025 Feb 20;21(2):e1012904. doi: 10.1371/journal.ppat.1012904. eCollection 2025 Feb.
5
Atypical scrapie prions from sheep and lack of disease in transgenic mice overexpressing human prion protein.绵羊中的非典型瘙痒病朊病毒和过度表达人朊病毒蛋白的转基因小鼠中缺乏疾病。
Emerg Infect Dis. 2013 Nov;19(11):1731-9. doi: 10.3201/eid1911.121341.
6
Dissociation of pathological and molecular phenotype of variant Creutzfeldt-Jakob disease in transgenic human prion protein 129 heterozygous mice.转基因人朊蛋白129杂合小鼠中变异型克雅氏病的病理与分子表型解离
Proc Natl Acad Sci U S A. 2006 Jul 11;103(28):10759-64. doi: 10.1073/pnas.0604292103. Epub 2006 Jun 29.
7
Prion Diseases in Animals and Zoonotic Potential.动物中的朊病毒疾病及其人畜共患病潜力。
Food Saf (Tokyo). 2016 Dec 7;4(4):105-109. doi: 10.14252/foodsafetyfscj.2016021. eCollection 2016 Dec.
8
Protective Effect of Val-PrP against Bovine Spongiform Encephalopathy but not Variant Creutzfeldt-Jakob Disease.缬氨酸-朊蛋白对牛海绵状脑病有保护作用,但对变异型克雅氏病没有保护作用。
Emerg Infect Dis. 2017 Sep;23(9):1522-1530. doi: 10.3201/eid2309.161948.
9
Strain-specific viral properties of variant Creutzfeldt-Jakob disease (vCJD) are encoded by the agent and not by host prion protein.变异型克雅氏病(vCJD)的毒株特异性病毒特性由病原体编码,而非由宿主朊病毒蛋白编码。
J Cell Biochem. 2009 Feb 1;106(2):220-31. doi: 10.1002/jcb.21988.
10
Increased susceptibility of human-PrP transgenic mice to bovine spongiform encephalopathy infection following passage in sheep.在绵羊中传代后,人朊病毒转基因小鼠对牛海绵状脑病感染的易感性增加。
J Virol. 2011 Feb;85(3):1174-81. doi: 10.1128/JVI.01578-10. Epub 2010 Nov 17.

引用本文的文献

1
Isolation of a novel human prion strain from a PRNP codon 129 heterozygous vCJD patient.从一名PRNP密码子129杂合的变异型克雅氏病(vCJD)患者中分离出一种新型人类朊病毒株。
PLoS Pathog. 2025 Feb 20;21(2):e1012904. doi: 10.1371/journal.ppat.1012904. eCollection 2025 Feb.
2
Scrapie versus Chronic Wasting Disease in White-Tailed Deer.白尾鹿中的瘙痒病与慢性消瘦病。
Emerg Infect Dis. 2024 Aug;30(8):1651-1659. doi: 10.3201/eid3008.240007.
3
Non-human primates in prion diseases.朊病毒疾病中的非人灵长类动物。

本文引用的文献

1
Mammalian prions and their wider relevance in neurodegenerative diseases.哺乳动物朊病毒及其在神经退行性疾病中的广泛关联
Nature. 2016 Nov 10;539(7628):217-226. doi: 10.1038/nature20415.
2
Transmission Properties of Human PrP 102L Prions Challenge the Relevance of Mouse Models of GSS.人源PrP 102L朊病毒的传播特性对格斯特曼综合征(GSS)小鼠模型的相关性提出了挑战。
PLoS Pathog. 2015 Jul 2;11(7):e1004953. doi: 10.1371/journal.ppat.1004953. eCollection 2015 Jul.
3
A naturally occurring variant of the human prion protein completely prevents prion disease.
Cell Tissue Res. 2023 Apr;392(1):7-20. doi: 10.1007/s00441-022-03644-7. Epub 2022 Jun 4.
4
Understanding Intra-Species and Inter-Species Prion Conversion and Zoonotic Potential Using Protein Misfolding Cyclic Amplification.利用蛋白质错误折叠循环扩增技术理解种内和种间朊病毒转化及人畜共患病潜力
Front Aging Neurosci. 2021 Aug 3;13:716452. doi: 10.3389/fnagi.2021.716452. eCollection 2021.
5
Prion Dissemination through the Environment and Medical Practices: Facts and Risks for Human Health.朊病毒通过环境和医疗实践传播:对人类健康的事实和风险。
Clin Microbiol Rev. 2021 Dec 15;34(4):e0005919. doi: 10.1128/CMR.00059-19. Epub 2021 Jul 28.
6
Spontaneous generation of prions and transmissible PrP amyloid in a humanised transgenic mouse model of A117V GSS.A117V GSS 人类化转基因小鼠模型中朊病毒的自发生成和可传播 PrP 淀粉样蛋白。
PLoS Biol. 2020 Jun 9;18(6):e3000725. doi: 10.1371/journal.pbio.3000725. eCollection 2020 Jun.
7
Prevalence in Britain of abnormal prion protein in human appendices before and after exposure to the cattle BSE epizootic.英国在接触牛海绵状脑病(BSE)流行期前后人类阑尾中异常朊病毒蛋白的流行情况。
Acta Neuropathol. 2020 Jun;139(6):965-976. doi: 10.1007/s00401-020-02153-7. Epub 2020 Mar 30.
8
Bovine Spongiform Encephalopathy 
- A Review from the Perspective of Food Safety.牛海绵状脑病——从食品安全角度的综述
Food Saf (Tokyo). 2019 Jun 13;7(2):21-47. doi: 10.14252/foodsafetyfscj.2018009. eCollection 2019 Jun.
人类朊病毒蛋白的一种天然变体可完全预防朊病毒疾病。
Nature. 2015 Jun 25;522(7557):478-81. doi: 10.1038/nature14510. Epub 2015 Jun 10.
4
The transmissible spongiform encephalopathies of livestock.家畜的传染性海绵状脑病
ILAR J. 2015;56(1):7-25. doi: 10.1093/ilar/ilv008.
5
Prion neuropathology follows the accumulation of alternate prion protein isoforms after infective titre has peaked.在感染滴度达到峰值后,朊病毒神经病理学表现为交替的朊病毒蛋白异构体的积累。
Nat Commun. 2014 Jul 9;5:4347. doi: 10.1038/ncomms5347.
6
Infectious prion diseases in humans: cannibalism, iatrogenicity and zoonoses.人类传染性朊病毒病:食人、医源性感染和人畜共患病。
Infect Genet Evol. 2014 Aug;26:303-12. doi: 10.1016/j.meegid.2014.06.010. Epub 2014 Jun 20.
7
Atypical scrapie prions from sheep and lack of disease in transgenic mice overexpressing human prion protein.绵羊中的非典型瘙痒病朊病毒和过度表达人朊病毒蛋白的转基因小鼠中缺乏疾病。
Emerg Infect Dis. 2013 Nov;19(11):1731-9. doi: 10.3201/eid1911.121341.
8
Prevalent abnormal prion protein in human appendixes after bovine spongiform encephalopathy epizootic: large scale survey.疯牛病流行后人类阑尾中普遍存在异常朊蛋白:大规模调查。
BMJ. 2013 Oct 15;347:f5675. doi: 10.1136/bmj.f5675.
9
Infectious titres of sheep scrapie and bovine spongiform encephalopathy agents cannot be accurately predicted from quantitative laboratory test results.绵羊痒病和牛海绵状脑病病原体的感染滴度不能从定量实验室检测结果中准确预测。
J Gen Virol. 2012 Nov;93(Pt 11):2518-2527. doi: 10.1099/vir.0.045849-0. Epub 2012 Aug 22.
10
Cell biology. The risk of prion zoonoses.细胞生物学。朊病毒人畜共患病的风险。
Science. 2012 Jan 27;335(6067):411-3. doi: 10.1126/science.1218167.