The Key Laboratory of Myocardial Ischemia, Harbin Medical University, Ministry of Education, Harbin, Heilongjiang 150086, P.R. China.
Int J Mol Med. 2018 Jun;41(6):3342-3352. doi: 10.3892/ijmm.2018.3533. Epub 2018 Mar 5.
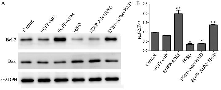
The poor survival rate of transplanted mesenchymal stem cells (MSCs) within the ischemic heart limits their therapeutic potential for cardiac repair. Adrenomedullin (ADM) has been identified as a potent apoptotic inhibitor. The present study aimed to investigate the protective effects of ADM on MSCs against hypoxia and serum deprivation (H/SD)‑induced apoptosis, and to determine the potential underlying mechanisms. In the present study, a recombinant adenovirus expressing the ADM gene was established and was infected into MSCs. The infection rate was determined via microscopic detection of green fluorescence and flow cytometric analysis. The mRNA expression levels of ADM were detected by reverse transcription‑polymerase chain reaction. In addition, a model of H/SD was generated. The MSCs were randomly separated into six groups: Control, enhanced green fluorescent protein (EGFP)‑Adv, EGFP‑ADM, H/SD, EGFP‑Adv + H/SD and EGFP‑ADM + H/SD. Cell viability and proliferation were determined using the Cell Counting kit‑8 assay. Apoptosis was assessed by terminal deoxynucleotidyl transferase‑mediated‑dUTP nick‑end labeling assay and flow cytometric analysis using Annexin V‑phycoerythrin/7‑aminoactinomycin D staining. The protein expression levels of total protein kinase B (Akt), phosphorylated (p)‑Akt, total glycogen synthase kinase (GSK)3β, p‑GSK3β, B‑cell lymphoma 2 (Bcl‑2), Bcl‑2‑associated X protein (Bax), caspase‑3 and cleaved caspase‑3 were detected by western blot analysis. The results indicated that ADM overexpression could improve MSC proliferation and viability, and protect MSCs against H/SD‑induced apoptosis. In addition, ADM overexpression increased Akt and GSK3β phosphorylation, and Bcl‑2/Bax ratio, and decreased the activation of caspase‑3. These results suggested that ADM protects MSCs against H/SD‑induced apoptosis, which may be mediated via the Akt/GSK3β and Bcl‑2 signaling pathways.
移植的间充质干细胞(MSCs)在缺血性心脏内的存活率低,限制了其用于心脏修复的治疗潜力。肾上腺髓质素(ADM)已被确定为一种有效的凋亡抑制剂。本研究旨在探讨 ADM 对缺氧和血清剥夺(H/SD)诱导的 MSCs 凋亡的保护作用,并确定其潜在的机制。在本研究中,构建了表达 ADM 基因的重组腺病毒,并感染 MSCs。通过显微镜观察绿色荧光和流式细胞术分析来确定感染率。采用逆转录-聚合酶链反应检测 ADM 的 mRNA 表达水平。此外,还构建了 H/SD 模型。将 MSCs 随机分为六组:对照组、增强型绿色荧光蛋白(EGFP)-Adv、EGFP-ADM、H/SD、EGFP-Adv+H/SD 和 EGFP-ADM+H/SD。采用细胞计数试剂盒-8 检测细胞活力和增殖。采用末端脱氧核苷酸转移酶介导的 dUTP 缺口末端标记法和 Annexin V-藻红蛋白/7-氨基放线菌素 D 染色的流式细胞术分析评估细胞凋亡。采用 Western blot 分析检测总蛋白激酶 B(Akt)、磷酸化(p)-Akt、总糖原合酶激酶(GSK)3β、p-GSK3β、B 细胞淋巴瘤 2(Bcl-2)、Bcl-2 相关 X 蛋白(Bax)、半胱氨酸天冬氨酸蛋白酶-3(caspase-3)和裂解的 caspase-3 的蛋白表达水平。结果表明,ADM 过表达可促进 MSC 增殖和活力,并保护 MSCs 免受 H/SD 诱导的凋亡。此外,ADM 过表达增加了 Akt 和 GSK3β 的磷酸化以及 Bcl-2/Bax 比值,同时降低了 caspase-3 的激活。这些结果表明,ADM 可保护 MSCs 免受 H/SD 诱导的凋亡,这可能是通过 Akt/GSK3β 和 Bcl-2 信号通路介导的。