Suppr超能文献

表现为胸膜肿瘤的Castleman病:一例伴有CT表现的病例报告

Castleman's disease presenting as a pleural tumor: a case report with CT findings.

作者信息

Doo Kyung Won, Kim Bomi

机构信息

Department of Radiology, Inje University College of Medicine, Haeundae Paik Hospital, Haeundae-ro 875, Haeundae-gu, Busan 48108, Republic of Korea.

Department of Pathology, Inje University College of Medicine, Haeundae Paik Hospital, Haeundae-ro 875, Haeundae-gu, Busan 48108, Republic of Korea.

出版信息

Radiol Case Rep. 2017 Nov 1;13(1):18-20. doi: 10.1016/j.radcr.2017.09.022. eCollection 2018 Feb.

Abstract

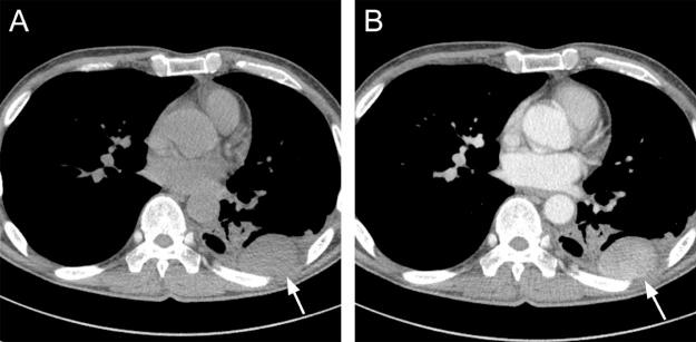
Castleman's disease (CD) is an uncommon benign lymphoproliferative disorder which most commonly involves the mediastinum but rarely affects the pleura. We report a case of unicentric CD that presents as a pleural mass in a 45-year-old man, which was subsequently resected followed by an unexpected diagnosis on histologic examination. Although rare, CD should be included in the differential diagnosis of well-enhancing pleural mass.

摘要

Castleman病(CD)是一种罕见的良性淋巴增生性疾病,最常累及纵隔,但很少影响胸膜。我们报告一例单中心性CD,表现为一名45岁男性的胸膜肿块,随后进行了切除,组织学检查后得到了意外诊断。尽管罕见,但CD应纳入强化良好的胸膜肿块的鉴别诊断中。

https://cdn.ncbi.nlm.nih.gov/pmc/blobs/05f1/5851112/46751e0c7481/radcr350-fig-0001.jpg

文献AI研究员

20分钟写一篇综述,助力文献阅读效率提升50倍。

立即体验

用中文搜PubMed

大模型驱动的PubMed中文搜索引擎

马上搜索

文档翻译

学术文献翻译模型,支持多种主流文档格式。

立即体验