Natbrainlab, King's College London, Department of Neuroimaging, Institute of Psychiatry, Psychology, and Neuroscience (IoPPN), De Crespigny Park, London SE5 8AF, United Kingdom; Natbrainlab, Department of Forensic and Neurodevelopmental Sciences and Sackler Institute of Translational Neurodevelopment, Institute of Psychiatry, Psychology, and Neuroscience (IoPPN), King's College London De Crespigny Park, London SE5 8AF, United Kingdom.
Neuropsychologia. 2018 Jul 1;115:88-100. doi: 10.1016/j.neuropsychologia.2018.03.036. Epub 2018 Mar 30.
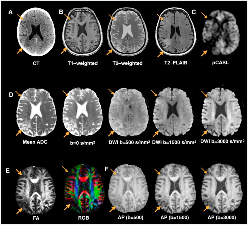
Patients with stroke offer a unique window into understanding human brain function. Mapping stroke lesions poses several challenges due to the complexity of the lesion anatomy and the mechanisms causing local and remote disruption on brain networks. In this prospective longitudinal study, we compare standard and advanced approaches to white matter lesion mapping applied to acute stroke patients with aphasia. Eighteen patients with acute left hemisphere stroke were recruited and scanned within two weeks from symptom onset. Aphasia assessment was performed at baseline and six-month follow-up. Structural and diffusion MRI contrasts indicated an area of maximum overlap in the anterior external/extreme capsule with diffusion images showing a larger overlap extending into posterior perisylvian regions. Anatomical predictors of recovery included damage to ipsilesional tracts (as shown by both structural and diffusion images) and contralesional tracts (as shown by diffusion images only). These findings indicate converging results from structural and diffusion lesion mapping methods but also clear differences between the two approaches in their ability to identify predictors of recovery outside the lesioned regions.
中风患者为了解人类大脑功能提供了一个独特的窗口。由于病变解剖结构的复杂性以及导致局部和远程脑网络中断的机制,对中风病变进行映射带来了一些挑战。在这项前瞻性纵向研究中,我们比较了应用于伴有失语症的急性中风患者的标准和高级白质病变映射方法。招募了 18 名急性左侧半球中风患者,并在症状发作后两周内进行扫描。在基线和 6 个月随访时进行了失语症评估。结构和弥散 MRI 对比表明,在前方外部/极端胶囊中存在最大重叠区域,弥散图像显示更大的重叠区域延伸到后颞叶区域。恢复的解剖学预测因子包括同侧束(如结构和弥散图像所示)和对侧束(仅如弥散图像所示)的损伤。这些发现表明,结构和弥散病变映射方法的结果趋同,但两种方法在识别病变区域外恢复预测因子的能力上存在明显差异。