Suppr超能文献

在意大利:一例败血症合并腹主动脉瘤感染病例。

in Italy: A Case of Septicemia and Abdominal Aortic Aneurysm Infection.

作者信息

Rodio Donatella M, Bressan Alessia, Ambrosi Cecilia, Scribano Daniela, Tolli Rita, Mansour Wassim, Speziale Francesco, Antonelli Guido, Trancassini Maria, Pietropaolo Valeria

机构信息

Department of Public Health and Infectious Diseases, Sapienza University of Rome, Rome, Italy.

Dani Di Giò Foundation-Onlus, Rome, Italy.

出版信息

Front Med (Lausanne). 2018 May 24;5:156. doi: 10.3389/fmed.2018.00156. eCollection 2018.

Abstract

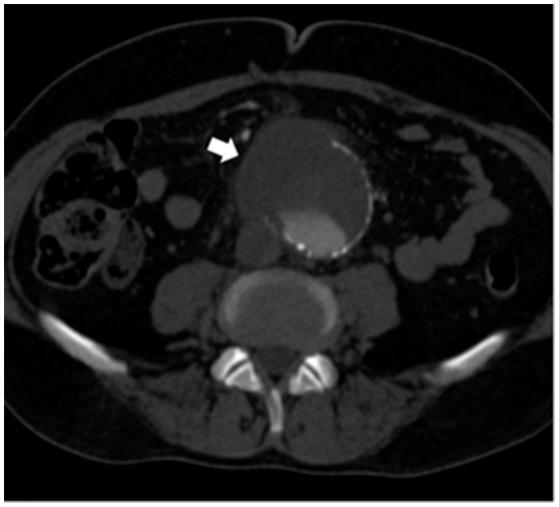
We report a case of septicemia in a 63-year-old patient admitted to the Vascular Surgery Department of Umberto I Hospital (Rome, Italy) for an abdominal aortic aneurysm. The microorganism, recovered from both peripheral blood cultures and aneurysmatic aortic wall specimens, was identified as using matrix-assisted laser desorption ionization-time of flight analysis (MALDI-TOF MS) and 16S rDNA gene sequencing. The isolate responsible for septicemia belonged to the O:9 serotype (biogroup 2). A genetic screening of the isolate made it possible to detect the presence of both the and genes, encoding a heat-stable enterotoxin and a protein involved in invasion/adherence and serum resistance, respectively. Our case contributes in enriching epidemiological data concerning infections, which might represent severe complications in patients suffering from cardiovascular diseases. Moreover, this study, together with the others, should be regarded as valuable and useful tools for monitoring the rate of infections worldwide.

摘要

我们报告了一例63岁患者的败血症病例,该患者因腹主动脉瘤入住意大利罗马翁贝托一世医院血管外科。从外周血培养物和动脉瘤性主动脉壁标本中分离出的微生物,通过基质辅助激光解吸电离飞行时间分析(MALDI-TOF MS)和16S rDNA基因测序进行鉴定。导致败血症的分离株属于O:9血清型(生物群2)。对该分离株进行基因筛查,发现了分别编码热稳定肠毒素和参与侵袭/黏附及血清抗性的一种蛋白质的stx和eae基因。我们的病例有助于丰富有关感染的流行病学数据,这种感染可能是心血管疾病患者的严重并发症。此外,本研究与其他研究一起,应被视为监测全球感染率的有价值且有用的工具。

https://cdn.ncbi.nlm.nih.gov/pmc/blobs/5cba/5978273/30c56f516d70/fmed-05-00156-g0001.jpg

文献AI研究员

20分钟写一篇综述,助力文献阅读效率提升50倍。

立即体验

用中文搜PubMed

大模型驱动的PubMed中文搜索引擎

马上搜索

文档翻译

学术文献翻译模型,支持多种主流文档格式。

立即体验