Suppr超能文献

皮肤、淋巴结和血液中对改良安卡拉牛痘病毒疫苗皮内注射免疫反应的分子和细胞动力学。

Molecular and Cellular Dynamics in the Skin, the Lymph Nodes, and the Blood of the Immune Response to Intradermal Injection of Modified Vaccinia Ankara Vaccine.

机构信息

Immunology of Viral Infections and Autoimmune Diseases, IDMIT Department, CEA - Université Paris Sud 11 - INSERM U1184, Fontenay-aux-Roses, France.

Vaccine Research Institute, Henri Mondor Hospital, Créteil, France.

出版信息

Front Immunol. 2018 Apr 25;9:870. doi: 10.3389/fimmu.2018.00870. eCollection 2018.

Abstract

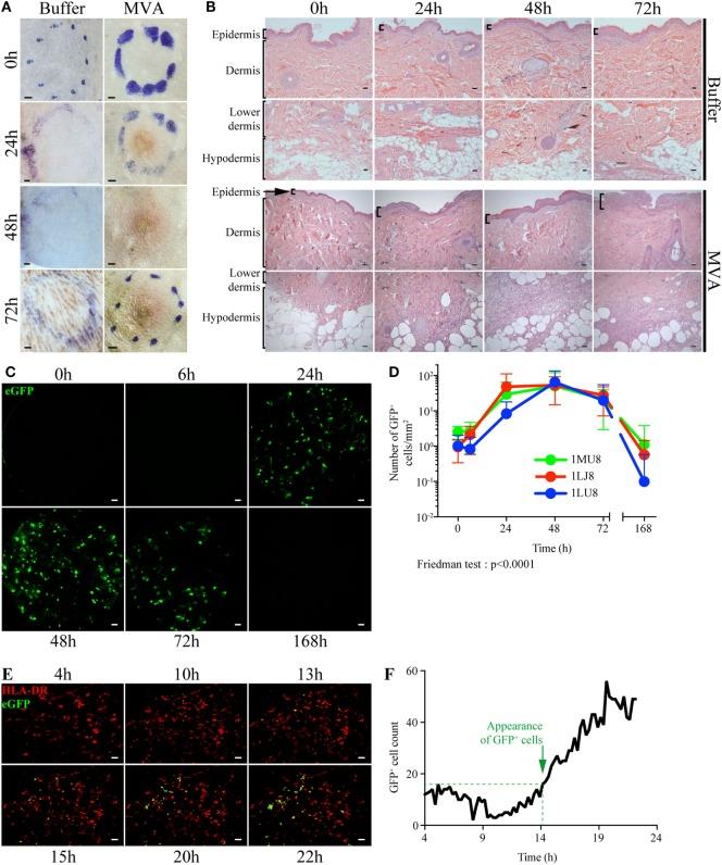
New vaccine design approaches would be greatly facilitated by a better understanding of the early systemic changes, and those that occur at the site of injection, responsible for the installation of a durable and oriented protective response. We performed a detailed characterization of very early infection and host response events following the intradermal administration of the modified vaccinia virus Ankara as a live attenuated vaccine model in non-human primates. Integrated analysis of the data obtained from imaging, histology, flow cytometry, multiplex cytokine, and transcriptomic analysis using tools derived from systems biology, such as co-expression networks, showed a strong early local and systemic inflammatory response that peaked at 24 h, which was then progressively replaced by an adaptive response during the installation of the host response to the vaccine. Granulocytes, macrophages, and monocytoid cells were massively recruited during the local innate response in association with local productions of GM-CSF, IL-1β, MIP1α, MIP1β, and TNFα. We also observed a rapid and transient granulocyte recruitment and the release of IL-6 and IL-1RA, followed by a persistent phase involving inflammatory monocytes. This systemic inflammation was confirmed by molecular signatures, such as upregulations of IL-6 and TNF pathways and acute phase response signaling. Such comprehensive approaches improve our understanding of the spatiotemporal orchestration of vaccine-elicited immune response, in a live-attenuated vaccine model, and thus contribute to rational vaccine development.

摘要

新疫苗设计方法将极大地受益于对早期全身性变化的更好理解,以及对注射部位发生的变化的理解,这些变化负责建立持久和定向的保护性反应。我们对改良安卡拉牛痘病毒作为活减毒疫苗模型在非人灵长类动物中的皮内给药后非常早期的感染和宿主反应事件进行了详细表征。使用系统生物学工具(如共表达网络)对来自成像、组织学、流式细胞术、多重细胞因子和转录组分析的数据进行综合分析表明,存在强烈的早期局部和全身性炎症反应,在 24 小时达到峰值,然后在宿主对疫苗的反应过程中逐渐被适应性反应所取代。粒细胞、巨噬细胞和单核细胞样细胞在局部先天反应中大量募集,与 GM-CSF、IL-1β、MIP1α、MIP1β 和 TNFα 的局部产生相关。我们还观察到粒细胞的快速和短暂募集以及 IL-6 和 IL-1RA 的释放,随后是涉及炎症性单核细胞的持续阶段。这种全身性炎症通过分子特征得到证实,如 IL-6 和 TNF 途径以及急性期反应信号的上调。这种全面的方法提高了我们对活减毒疫苗模型中疫苗诱导的免疫反应的时空协调的理解,从而有助于合理的疫苗开发。

https://cdn.ncbi.nlm.nih.gov/pmc/blobs/d088/5996922/26b2cba97ea1/fimmu-09-00870-g001.jpg

文献检索

告别复杂PubMed语法,用中文像聊天一样搜索,搜遍4000万医学文献。AI智能推荐,让科研检索更轻松。

立即免费搜索

文件翻译

保留排版,准确专业,支持PDF/Word/PPT等文件格式,支持 12+语言互译。

免费翻译文档

深度研究

AI帮你快速写综述,25分钟生成高质量综述,智能提取关键信息,辅助科研写作。

立即免费体验