• 文献检索
  • 文档翻译
  • 深度研究
  • 学术资讯
  • Suppr Zotero 插件Zotero 插件
  • 邀请有礼
  • 套餐&价格
  • 历史记录
应用&插件
Suppr Zotero 插件Zotero 插件浏览器插件Mac 客户端Windows 客户端微信小程序
定价
高级版会员购买积分包购买API积分包
服务
文献检索文档翻译深度研究API 文档MCP 服务
关于我们
关于 Suppr公司介绍联系我们用户协议隐私条款
关注我们

Suppr 超能文献

核心技术专利:CN118964589B侵权必究
粤ICP备2023148730 号-1Suppr @ 2026

文献检索

告别复杂PubMed语法,用中文像聊天一样搜索,搜遍4000万医学文献。AI智能推荐,让科研检索更轻松。

立即免费搜索

文件翻译

保留排版,准确专业,支持PDF/Word/PPT等文件格式,支持 12+语言互译。

免费翻译文档

深度研究

AI帮你快速写综述,25分钟生成高质量综述,智能提取关键信息,辅助科研写作。

立即免费体验

采用髌上入路联合髁螺栓髓内钉治疗胫骨平台双髁骨折

Intramedullary Nailing with a Suprapatellar Approach and Condylar Bolts for the Treatment of Bicondylar Fractures of the Tibial Plateau.

作者信息

Garnavos Christos

机构信息

Orthopaedic Department, "Evangelismos" General Hospital, Athens, Greece.

出版信息

JB JS Open Access. 2017 Apr 18;2(2):e0017. doi: 10.2106/JBJS.OA.16.00017. eCollection 2017 Jun 26.

DOI:10.2106/JBJS.OA.16.00017
PMID:30229216
原文链接:https://pmc.ncbi.nlm.nih.gov/articles/PMC6132469/
Abstract

BACKGROUND

Bicondylar tibial plateau fractures have been treated with either plating or external fixation techniques, with conflicting results. A recently introduced technique involving the combined use of intramedullary nailing via a suprapatellar approach and condylar bolts could represent a new pathway toward better treatment of this severe injury.

METHODS

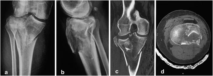
The present report describes a retrospective and prospective study of all 17 patients (age range, 25 to 75 years) who were admitted under the author's care for the treatment of a closed, bicondylar tibial plateau fracture between 2013 and 2015. All patients consented to undergo fixation of the fracture with intramedullary nailing through a suprapatellar approach and with use of condylar bolts. The reconstructed articular surface was supported with freeze-dried allograft that had been previously soaked in concentrated bone marrow. The patients were followed at regular intervals, and the results were assessed with the Knee injury and Osteoarthritis Outcome Score (KOOS).

RESULTS

All patients were followed for at least 1 year (average and standard deviation, 25.23 ± 8.95 months; range, 12 to 46 months). All fractures united clinically and radiographically between 10 and 22 weeks (average, 15.1 ± 2.91 weeks), with no instances of neurovascular complication, infection, or implant failure. One patient underwent early revision of the fixation because of unsatisfactory reduction of the articular surface, and 1 patient had secondary fracture displacement. One condylar bolt was removed after fracture healing because of irritation at the insertion site. However, all patients regained knee motion without physiotherapy and all were fully weight-bearing by the fifth postoperative month.

CONCLUSIONS

The short and intermediate-term results associated with the use of the proposed technique appear to be satisfactory. However, the effectiveness of the technique should be reassessed with long-term studies as well as comparative studies involving other fixation techniques.

LEVEL OF EVIDENCE

Therapeutic Level IV. See Instructions for Authors for a complete description of levels of evidence.

摘要

背景

双髁胫骨平台骨折的治疗方法有钢板固定或外固定技术,但结果存在争议。最近引入的一种技术,即通过髌上入路联合使用髓内钉和髁螺栓,可能为更好地治疗这种严重损伤开辟一条新途径。

方法

本报告描述了一项回顾性和前瞻性研究,研究对象为2013年至2015年间在作者治疗下因闭合性双髁胫骨平台骨折入院的所有17例患者(年龄范围25至75岁)。所有患者均同意采用髌上入路髓内钉固定并使用髁螺栓固定骨折。用预先浸泡在浓缩骨髓中的冻干同种异体骨支撑重建的关节面。定期对患者进行随访,并采用膝关节损伤和骨关节炎疗效评分(KOOS)评估结果。

结果

所有患者均随访至少1年(平均和标准差,25.23±8.95个月;范围,12至46个月)。所有骨折在10至22周(平均,15.1±2.91周)临床和影像学上均愈合,无神经血管并发症、感染或植入物失败的情况。1例患者因关节面复位不满意而早期进行了内固定翻修,1例患者出现二次骨折移位。1枚髁螺栓在骨折愈合后因插入部位刺激而取出。然而,所有患者未经物理治疗即恢复了膝关节活动,且在术后第五个月时均完全负重。

结论

与所提出技术相关的短期和中期结果似乎令人满意。然而,该技术的有效性应通过长期研究以及涉及其他固定技术的比较研究进行重新评估。

证据水平

治疗性IV级。有关证据水平的完整描述,请参阅作者须知。

https://cdn.ncbi.nlm.nih.gov/pmc/blobs/9156/6132469/013b60ecbda7/jbjsoa-2-00e0017-g008.jpg
https://cdn.ncbi.nlm.nih.gov/pmc/blobs/9156/6132469/111e96866821/jbjsoa-2-00e0017-g001.jpg
https://cdn.ncbi.nlm.nih.gov/pmc/blobs/9156/6132469/b0c281b21d21/jbjsoa-2-00e0017-g002.jpg
https://cdn.ncbi.nlm.nih.gov/pmc/blobs/9156/6132469/e55af6e976e7/jbjsoa-2-00e0017-g003.jpg
https://cdn.ncbi.nlm.nih.gov/pmc/blobs/9156/6132469/015ea90864dd/jbjsoa-2-00e0017-g004.jpg
https://cdn.ncbi.nlm.nih.gov/pmc/blobs/9156/6132469/12dcde08e61f/jbjsoa-2-00e0017-g005.jpg
https://cdn.ncbi.nlm.nih.gov/pmc/blobs/9156/6132469/58fdbbaab777/jbjsoa-2-00e0017-g007.jpg
https://cdn.ncbi.nlm.nih.gov/pmc/blobs/9156/6132469/013b60ecbda7/jbjsoa-2-00e0017-g008.jpg
https://cdn.ncbi.nlm.nih.gov/pmc/blobs/9156/6132469/111e96866821/jbjsoa-2-00e0017-g001.jpg
https://cdn.ncbi.nlm.nih.gov/pmc/blobs/9156/6132469/b0c281b21d21/jbjsoa-2-00e0017-g002.jpg
https://cdn.ncbi.nlm.nih.gov/pmc/blobs/9156/6132469/e55af6e976e7/jbjsoa-2-00e0017-g003.jpg
https://cdn.ncbi.nlm.nih.gov/pmc/blobs/9156/6132469/015ea90864dd/jbjsoa-2-00e0017-g004.jpg
https://cdn.ncbi.nlm.nih.gov/pmc/blobs/9156/6132469/12dcde08e61f/jbjsoa-2-00e0017-g005.jpg
https://cdn.ncbi.nlm.nih.gov/pmc/blobs/9156/6132469/58fdbbaab777/jbjsoa-2-00e0017-g007.jpg
https://cdn.ncbi.nlm.nih.gov/pmc/blobs/9156/6132469/013b60ecbda7/jbjsoa-2-00e0017-g008.jpg

相似文献

1
Intramedullary Nailing with a Suprapatellar Approach and Condylar Bolts for the Treatment of Bicondylar Fractures of the Tibial Plateau.采用髌上入路联合髁螺栓髓内钉治疗胫骨平台双髁骨折
JB JS Open Access. 2017 Apr 18;2(2):e0017. doi: 10.2106/JBJS.OA.16.00017. eCollection 2017 Jun 26.
2
A comparative biomechanical study for complex tibial plateau fractures: nailing and compression bolts versus modern and traditional plating.复杂胫骨平台骨折的比较生物力学研究:髓内钉和加压螺钉与现代和传统接骨板。
Injury. 2013 Oct;44(10):1333-9. doi: 10.1016/j.injury.2013.03.013. Epub 2013 Apr 16.
3
Retropatellar nailing and condylar bolts for complex fractures of the tibial plateau: technique, pilot study and rationale.用于胫骨平台复杂骨折的髌后钉和髁螺栓:技术、初步研究及理论依据
Injury. 2014 Jul;45(7):1099-104. doi: 10.1016/j.injury.2014.01.008. Epub 2014 Jan 14.
4
[Suprapatellar Nailing of Tibial Fractures - Evaluation of Clinical and Radiological Results].[胫骨骨折的髌上钉固定——临床及影像学结果评估]
Acta Chir Orthop Traumatol Cech. 2018;85(2):113-119.
5
Outcome evaluation of staged treatment for bicondylar tibial plateau fractures.胫骨双髁平台骨折分期治疗的疗效评估
Injury. 2017 Oct;48 Suppl 4:S34-S40. doi: 10.1016/S0020-1383(17)30773-8.
6
Is Early Definitive Fixation of Bicondylar Tibial Plateau Fractures Safe? An Observational Cohort Study.双髁胫骨平台骨折早期确定性固定是否安全?一项观察性队列研究。
J Orthop Trauma. 2017 Mar;31(3):151-157. doi: 10.1097/BOT.0000000000000779.
7
The management of complex fractures of the proximal tibia with minimal intra-articular impaction in fragility patients using intramedullary nailing and compression bolts.采用髓内钉和加压螺栓治疗脆性患者伴轻微关节内撞击的胫骨近端复杂骨折。
Injury. 2011 Oct;42(10):1066-72. doi: 10.1016/j.injury.2011.03.024. Epub 2011 Apr 13.
8
Complications associated with internal fixation of high-energy bicondylar tibial plateau fractures utilizing a two-incision technique.使用双切口技术对高能双髁胫骨平台骨折进行内固定相关的并发症。
J Orthop Trauma. 2004 Nov-Dec;18(10):649-57. doi: 10.1097/00005131-200411000-00001.
9
[Combination of intramedullary nail and covered screw osteosynthesis for managing distal tibial fracture with ankle joint involvement].髓内钉与带锁螺钉内固定联合治疗累及踝关节的胫骨干远端骨折
Unfallchirurg. 1998 Dec;101(12):907-13. doi: 10.1007/s001130050357.
10
Intramedullary nailing via suprapatellar approach versus locked plating of proximal extra-articular tibial fractures: a randomized control trial.经髌上入路髓内钉与锁定钢板治疗胫骨近关节外骨折:一项随机对照试验。
Int Orthop. 2021 Jun;45(6):1599-1608. doi: 10.1007/s00264-020-04821-5. Epub 2020 Sep 26.

引用本文的文献

1
Suprapatellar intramedullary nail combined with screw fixation has comparable surgical outcomes to minimally invasive locking plate fixation in ipsilateral tibial plateau and shaft fractures.髁上髓内钉联合螺钉固定与微创锁定钢板固定治疗同侧胫骨平台和干骨折的手术效果相当。
Arch Orthop Trauma Surg. 2024 Feb;144(2):673-681. doi: 10.1007/s00402-023-05147-8. Epub 2023 Nov 30.
2
Locking compression plate + T-type steel plate for postoperative weight bearing and functional recovery in complex tibial plateau fractures.锁定加压钢板联合T型钢板用于复杂胫骨平台骨折术后负重及功能恢复
World J Clin Cases. 2022 Jan 14;10(2):502-510. doi: 10.12998/wjcc.v10.i2.502.
3

本文引用的文献

1
What's new in the management of complex tibial plateau fractures?复杂胫骨平台骨折的治疗有哪些新进展?
Injury. 2016 Jun;47(6):1162-9. doi: 10.1016/j.injury.2016.03.001. Epub 2016 Mar 3.
2
Surgical fixation methods for tibial plateau fractures.胫骨平台骨折的手术固定方法。
Cochrane Database Syst Rev. 2015 Sep 15;2015(9):CD009679. doi: 10.1002/14651858.CD009679.pub2.
3
Biomechanical analysis of operative methods in the treatment of extra-articular fracture of the proximal tibia.胫骨近端关节外骨折治疗中手术方法的生物力学分析
Systematic review assessing the evidence for the use of stem cells in fracture healing.
评估干细胞用于骨折愈合证据的系统评价。
Bone Jt Open. 2020 Oct 6;1(10):628-638. doi: 10.1302/2633-1462.110.BJO-2020-0129. eCollection 2020 Oct.
4
Establishment of Classification of Tibial Plateau Fracture Associated with Proximal Fibular Fracture.胫骨平台骨折合并腓骨近端骨折分类的建立
Orthop Surg. 2019 Feb;11(1):97-101. doi: 10.1111/os.12424. Epub 2019 Feb 8.
Clin Orthop Surg. 2014 Sep;6(3):312-7. doi: 10.4055/cios.2014.6.3.312. Epub 2014 Aug 5.
4
Retropatellar nailing and condylar bolts for complex fractures of the tibial plateau: technique, pilot study and rationale.用于胫骨平台复杂骨折的髌后钉和髁螺栓:技术、初步研究及理论依据
Injury. 2014 Jul;45(7):1099-104. doi: 10.1016/j.injury.2014.01.008. Epub 2014 Jan 14.
5
Radiologic outcome and patient-reported function after intramedullary nailing: a comparison of the retropatellar and infrapatellar approach.髓内钉固定术后的放射学结果和患者报告的功能:髌前入路和髌下入路的比较。
J Orthop Trauma. 2014 May;28(5):256-62. doi: 10.1097/BOT.0000000000000070.
6
Comparison of insertional trauma between suprapatellar and infrapatellar portals for tibial nailing.胫骨钉固定时髌上和髌下入路插入性创伤的比较。
Orthopedics. 2013 Sep;36(9):e1155-8. doi: 10.3928/01477447-20130821-17.
7
A comparative biomechanical study for complex tibial plateau fractures: nailing and compression bolts versus modern and traditional plating.复杂胫骨平台骨折的比较生物力学研究:髓内钉和加压螺钉与现代和传统接骨板。
Injury. 2013 Oct;44(10):1333-9. doi: 10.1016/j.injury.2013.03.013. Epub 2013 Apr 16.
8
Biomechanical comparison of intramedullar versus extramedullar stabilization of intra-articular tibial plateau fractures.关节内胫骨平台骨折髓内与髓外固定的生物力学比较。
Arch Orthop Trauma Surg. 2013 Jan;133(1):59-64. doi: 10.1007/s00402-012-1629-x. Epub 2012 Oct 18.
9
Wound healing problems in total knee arthroplasty.全膝关节置换术中的伤口愈合问题。
Orthopedics. 2011 Sep 9;34(9):e516-8. doi: 10.3928/01477447-20110714-42.
10
High energy tibial plateau fractures treated with hybrid external fixation.采用混合外固定架治疗高能胫骨平台骨折。
J Orthop Surg Res. 2011 Jul 14;6:35. doi: 10.1186/1749-799X-6-35.