Sir William Dunn School of Pathology, University of Oxford, South Parks Road, Oxford OX1 3RE, UK.
Max Planck Institute for Biology of Ageing, Joseph-Stelzmann-Strasse 9b, Cologne 50931, Germany.
Cell Rep. 2018 Sep 25;24(13):3488-3502.e5. doi: 10.1016/j.celrep.2018.08.092.
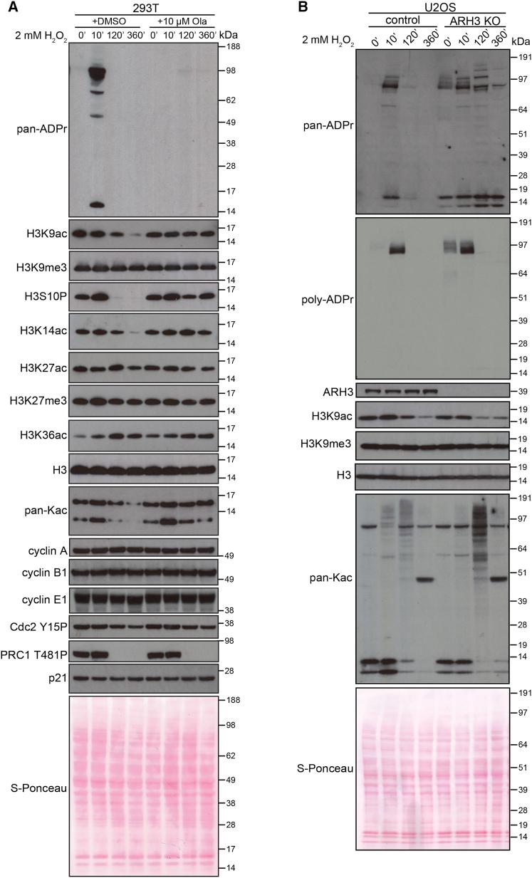
Serine ADP-ribosylation (Ser-ADPr) is a recently discovered protein modification that is catalyzed by PARP1 and PARP2 when in complex with the eponymous histone PARylation factor 1 (HPF1). In addition to numerous other targets, core histone tails are primary acceptors of Ser-ADPr in the DNA damage response. Here, we show that specific canonical histone marks interfere with Ser-ADPr of neighboring residues and vice versa. Most notably, acetylation, but not methylation of H3K9, is mutually exclusive with ADPr of H3S10 in vitro and in vivo. We also broaden the O-linked ADPr spectrum by providing evidence for tyrosine ADPr on HPF1 and other proteins. Finally, we facilitate wider investigations into the interplay of histone marks with Ser-ADPr by introducing a simple approach for profiling posttranslationally modified peptides. Our findings implicate Ser-ADPr as a dynamic addition to the complex interplay of modifications that shape the histone code.
丝氨酸 ADP-核糖基化(Ser-ADPr)是一种最近发现的蛋白质修饰,当与命名的组蛋白 PAR 化因子 1(HPF1)形成复合物时,由 PARP1 和 PARP2 催化。除了许多其他靶标外,核心组蛋白尾部是 DNA 损伤反应中 Ser-ADPr 的主要接受体。在这里,我们表明特定的典型组蛋白标记与邻近残基的 Ser-ADPr 相互干扰,反之亦然。最值得注意的是,H3K9 的乙酰化,但不是甲基化,与体外和体内的 H3S10 的 ADPr 是互斥的。我们还通过提供 HPF1 和其他蛋白质上酪氨酸 ADPr 的证据,拓宽了 O 连接的 ADPr 谱。最后,我们通过引入一种简单的方法来分析翻译后修饰肽,为更广泛地研究组蛋白标记与 Ser-ADPr 的相互作用提供了便利。我们的研究结果表明,Ser-ADPr 是一种动态的修饰,它参与了组蛋白密码子的复杂修饰相互作用。