• 文献检索
  • 文档翻译
  • 深度研究
  • 学术资讯
  • Suppr Zotero 插件Zotero 插件
  • 邀请有礼
  • 套餐&价格
  • 历史记录
应用&插件
Suppr Zotero 插件Zotero 插件浏览器插件Mac 客户端Windows 客户端微信小程序
定价
高级版会员购买积分包购买API积分包
服务
文献检索文档翻译深度研究API 文档MCP 服务
关于我们
关于 Suppr公司介绍联系我们用户协议隐私条款
关注我们

Suppr 超能文献

核心技术专利:CN118964589B侵权必究
粤ICP备2023148730 号-1Suppr @ 2026

文献检索

告别复杂PubMed语法,用中文像聊天一样搜索,搜遍4000万医学文献。AI智能推荐,让科研检索更轻松。

立即免费搜索

文件翻译

保留排版,准确专业,支持PDF/Word/PPT等文件格式,支持 12+语言互译。

免费翻译文档

深度研究

AI帮你快速写综述,25分钟生成高质量综述,智能提取关键信息,辅助科研写作。

立即免费体验

miR-183-5p 通过靶向整合素亚基β 1(ITGB1)抑制宫颈癌细胞的侵袭性。

MicroRNA-183-5p Inhibits Aggressiveness of Cervical Cancer Cells by Targeting Integrin Subunit Beta 1 (ITGB1).

机构信息

Affiliated Hongqi Hospital, Mudanjiang Medical University, Mudanjiang, Heilongjiang, China (mainland).

Jiangxi Medical College, Nanchang University, Nanchang, Jiangxi, China (mainland).

出版信息

Med Sci Monit. 2018 Oct 7;24:7137-7145. doi: 10.12659/MSM.910295.

DOI:10.12659/MSM.910295
PMID:30293085
原文链接:https://pmc.ncbi.nlm.nih.gov/articles/PMC6190727/
Abstract

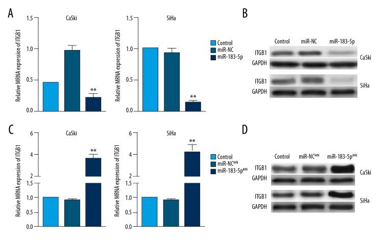
BACKGROUND Accumulating studies demonstrate that microRNAs play crucial roles in multiple processes of cancer progression. Lower levels of miR-183 have been observed in diverse types of tumors but the mechanism and precise function of miR-183-5p in cervical cancer have largely not been investigated. MATERIAL AND METHODS The level of miR-183-5p in different cervical cancer cell lines and clinical tissues was detected qRT-PCR assays. Transwell and wound-healing migration assays were conducted to assess the functional roles of miR-183-5p in over-expressing cervical cancer cells in vitro. Rescue assays were carried out to confirm the contribution of integrin subunit Beta 1 (ITGB1) to the aggressiveness of cancer cells regulated by miR-183-5p. RESULTS miR-183-5p was reduced in clinical tissues of cervical cancer and cell lines when compared to the normal subjects and normal cervical epithelial cell line, respectively. In addition, over-expression of miR-183-5p markedly inhibited migration and invasion in cervical cancer cells, and increased aggressiveness was observed in miR-183-5p inhibitor transfected cells. Furthermore, the luciferase reporter assays revealed that ITGB1 was the gene directly regulated by miR-183-5p. Notably, a negative association between the ITGB1 and miR-183-5p was found, and the gene expressions of ITGB1 was mediated by miR-183-5p in cervical cancer cells. CONCLUSIONS miR-183-5p serves as a latent anti-oncogene by targeting the metastasis-promoter gene, ITGB1.

摘要

背景

越来越多的研究表明,microRNAs 在癌症进展的多个过程中发挥着关键作用。在不同类型的肿瘤中观察到 miR-183 的水平降低,但 miR-183-5p 在宫颈癌中的机制和精确功能在很大程度上尚未得到研究。

材料和方法

通过 qRT-PCR 检测不同宫颈癌细胞系和临床组织中 miR-183-5p 的水平。进行 Transwell 和划痕愈合迁移实验,以评估 miR-183-5p 在体外过表达宫颈癌细胞中的功能作用。进行挽救实验,以确认整合素亚基β 1(ITGB1)对 miR-183-5p 调节的癌细胞侵袭性的贡献。

结果

与正常个体和正常宫颈上皮细胞系相比,miR-183-5p 在宫颈癌临床组织和细胞系中降低。此外,miR-183-5p 的过表达显著抑制了宫颈癌细胞的迁移和侵袭,并且在转染 miR-183-5p 抑制剂的细胞中观察到侵袭性增加。此外,荧光素酶报告基因实验表明,ITGB1 是受 miR-183-5p 直接调控的基因。值得注意的是,发现 ITGB1 和 miR-183-5p 之间存在负相关,并且 ITGB1 的基因表达受宫颈癌细胞中 miR-183-5p 的介导。

结论

miR-183-5p 通过靶向转移促进基因 ITGB1 作为潜在的抑癌基因。

https://cdn.ncbi.nlm.nih.gov/pmc/blobs/9168/6190727/c66cb345406c/medscimonit-24-7137-g006.jpg
https://cdn.ncbi.nlm.nih.gov/pmc/blobs/9168/6190727/206a1d034bed/medscimonit-24-7137-g001.jpg
https://cdn.ncbi.nlm.nih.gov/pmc/blobs/9168/6190727/eff4d6fb936c/medscimonit-24-7137-g002.jpg
https://cdn.ncbi.nlm.nih.gov/pmc/blobs/9168/6190727/21ba11691202/medscimonit-24-7137-g003.jpg
https://cdn.ncbi.nlm.nih.gov/pmc/blobs/9168/6190727/918c4de00da3/medscimonit-24-7137-g004.jpg
https://cdn.ncbi.nlm.nih.gov/pmc/blobs/9168/6190727/fa4ee3fad468/medscimonit-24-7137-g005.jpg
https://cdn.ncbi.nlm.nih.gov/pmc/blobs/9168/6190727/c66cb345406c/medscimonit-24-7137-g006.jpg
https://cdn.ncbi.nlm.nih.gov/pmc/blobs/9168/6190727/206a1d034bed/medscimonit-24-7137-g001.jpg
https://cdn.ncbi.nlm.nih.gov/pmc/blobs/9168/6190727/eff4d6fb936c/medscimonit-24-7137-g002.jpg
https://cdn.ncbi.nlm.nih.gov/pmc/blobs/9168/6190727/21ba11691202/medscimonit-24-7137-g003.jpg
https://cdn.ncbi.nlm.nih.gov/pmc/blobs/9168/6190727/918c4de00da3/medscimonit-24-7137-g004.jpg
https://cdn.ncbi.nlm.nih.gov/pmc/blobs/9168/6190727/fa4ee3fad468/medscimonit-24-7137-g005.jpg
https://cdn.ncbi.nlm.nih.gov/pmc/blobs/9168/6190727/c66cb345406c/medscimonit-24-7137-g006.jpg

相似文献

1
MicroRNA-183-5p Inhibits Aggressiveness of Cervical Cancer Cells by Targeting Integrin Subunit Beta 1 (ITGB1).miR-183-5p 通过靶向整合素亚基β 1(ITGB1)抑制宫颈癌细胞的侵袭性。
Med Sci Monit. 2018 Oct 7;24:7137-7145. doi: 10.12659/MSM.910295.
2
Hsa_circ_CSPP1/MiR-361-5p/ITGB1 Regulates Proliferation and Migration of Cervical Cancer (CC) by Modulating the PI3K-Akt Signaling Pathway.人源环状RNA CSPP1/微小RNA-361-5p/整合素β1通过调控PI3K-Akt信号通路调节宫颈癌的增殖和迁移
Reprod Sci. 2020 Jan;27(1):132-144. doi: 10.1007/s43032-019-00008-5. Epub 2020 Jan 1.
3
MicroRNA-101-5p inhibits the growth and metastasis of cervical cancer cell by inhibiting CXCL6.微小 RNA-101-5p 通过抑制 CXCL6 抑制宫颈癌细胞的生长和转移。
Eur Rev Med Pharmacol Sci. 2019 Mar;23(5):1957-1968. doi: 10.26355/eurrev_201903_17234.
4
MicroRNA-590 promotes cervical cancer cell growth and invasion by targeting CHL1.MicroRNA-590 通过靶向 CHL1 促进宫颈癌细胞的生长和侵袭。
J Cell Biochem. 2014 May;115(5):847-53. doi: 10.1002/jcb.24726.
5
Long non-coding RNA WT1-AS inhibits cell aggressiveness via miR-203a-5p/FOXN2 axis and is associated with prognosis in cervical cancer.长链非编码 RNA WT1-AS 通过 miR-203a-5p/FOXN2 轴抑制细胞侵袭性,并与宫颈癌的预后相关。
Eur Rev Med Pharmacol Sci. 2019 Jan;23(2):486-495. doi: 10.26355/eurrev_201901_16860.
6
MiR-199b-5p promotes tumor growth and metastasis in cervical cancer by down-regulating KLK10.miR-199b-5p 通过下调 KLK10 促进宫颈癌的肿瘤生长和转移。
Biochem Biophys Res Commun. 2018 Sep 5;503(2):556-563. doi: 10.1016/j.bbrc.2018.05.165. Epub 2018 Aug 2.
7
miR-424-5p regulates cell proliferation, migration and invasion by targeting doublecortin-like kinase 1 in basal-like breast cancer.miR-424-5p 通过靶向双皮质素样激酶 1 调节基底样乳腺癌细胞的增殖、迁移和侵袭。
Biomed Pharmacother. 2018 Jun;102:147-152. doi: 10.1016/j.biopha.2018.03.018. Epub 2018 Mar 22.
8
Serum miR-486-5p as a diagnostic marker in cervical cancer: with investigation of potential mechanisms.血清 miR-486-5p 作为宫颈癌的诊断标志物:潜在机制的研究。
BMC Cancer. 2018 Jan 9;18(1):61. doi: 10.1186/s12885-017-3753-z.
9
Influence of hsa-miR-6727-5p on the proliferation, apoptosis, invasion and migration of Caski, Hela and SiHa cervical cancer cells.人源微小RNA-6727-5p对Caski、Hela和SiHa宫颈癌细胞增殖、凋亡、侵袭及迁移的影响
J BUON. 2017 Jul-Aug;22(4):973-978.
10
MicroRNA-106b is involved in transforming growth factor β1-induced cell migration by targeting disabled homolog 2 in cervical carcinoma.微小RNA-106b通过靶向宫颈癌中的失活同源物2参与转化生长因子β1诱导的细胞迁移。
J Exp Clin Cancer Res. 2016 Jan 15;35:11. doi: 10.1186/s13046-016-0290-6.

引用本文的文献

1
MicroRNA-183-5p negatively regulates interleukin-8 expression in cervical cancer cells.微小RNA-183-5p对宫颈癌细胞中白细胞介素-8的表达起负向调控作用。
Int J Health Sci (Qassim). 2024 Nov-Dec;18(6):25-30.
2
miRNA-ome plasma analysis unveils changes in blood-brain barrier integrity associated with acute liver failure in rats.miRNA 组血浆分析揭示了与急性肝衰竭相关的血脑屏障完整性变化。
Fluids Barriers CNS. 2023 Dec 8;20(1):92. doi: 10.1186/s12987-023-00484-7.
3
Mir-183 functions as an oncogene via decreasing PTEN in breast cancer cells.

本文引用的文献

1
Enhanced expression of SRPK2 contributes to aggressive progression and metastasis in prostate cancer.SRPK2 的过表达促进了前列腺癌的侵袭性进展和转移。
Biomed Pharmacother. 2018 Jun;102:531-538. doi: 10.1016/j.biopha.2018.03.079. Epub 2018 Mar 26.
2
Integrin expression and glycosylation patterns regulate cell-matrix adhesion and alter with breast cancer progression.整合素的表达和糖基化模式调节细胞与基质的黏附,并随着乳腺癌的进展而改变。
Biochem Biophys Res Commun. 2018 May 5;499(2):374-380. doi: 10.1016/j.bbrc.2018.03.169. Epub 2018 Mar 26.
3
Integrin αvβ6 Promotes Lung Cancer Proliferation and Metastasis through Upregulation of IL-8-Mediated MAPK/ERK Signaling.
miR-183 通过降低乳腺癌细胞中的 PTEN 发挥癌基因作用。
Sci Rep. 2023 May 19;13(1):8086. doi: 10.1038/s41598-023-35059-x.
4
lncRNA LINC00960 promotes apoptosis by sponging ubiquitin ligase Nrdp1-targeting miR-183-5p.长链非编码 RNA LINC00960 通过海绵吸附泛素连接酶 Nrdp1 靶向 miR-183-5p 促进细胞凋亡。
Acta Biochim Biophys Sin (Shanghai). 2023 Jan 25;55(1):91-102. doi: 10.3724/abbs.2023005.
5
Discovering biomarkers for hormone-dependent tumors: in silico study on signaling pathways implicated in cell cycle and cytoskeleton regulation.发现激素依赖性肿瘤的生物标志物:细胞周期和细胞骨架调节相关信号通路的计算研究。
Mol Genet Genomics. 2022 Jul;297(4):947-963. doi: 10.1007/s00438-022-01900-7. Epub 2022 May 9.
6
Reference Genes for qPCR-Based miRNA Expression Profiling in 14 Human Tissues.用于 qPCR 检测 miRNA 表达谱的 14 个人类组织参考基因。
Med Princ Pract. 2022;31(4):322-332. doi: 10.1159/000524283. Epub 2022 Mar 30.
7
Hsa-miR-183-5p Modulates Cell Adhesion by Repression of Expression in Prostate Cancer.人源微小RNA-183-5p通过抑制前列腺癌中的表达来调节细胞黏附。
Noncoding RNA. 2022 Jan 18;8(1):11. doi: 10.3390/ncrna8010011.
8
miR-183-5p Aggravates Breast Cancer Development via Mediation of RGS2.miR-183-5p 通过调控 RGS2 促进乳腺癌发生发展。
Comput Math Methods Med. 2021 Nov 20;2021:9664195. doi: 10.1155/2021/9664195. eCollection 2021.
9
Identification of a novel circ_0018289/miR-183-5p/TMED5 regulatory network in cervical cancer development.鉴定宫颈癌发展过程中的新型 circ_0018289/miR-183-5p/TMED5 调控网络。
World J Surg Oncol. 2021 Aug 17;19(1):246. doi: 10.1186/s12957-021-02350-y.
10
MiR-183-5p Promotes Tumor Progression of Osteosarcoma and Predicts Poor Prognosis in Patients.微小RNA-183-5p促进骨肉瘤肿瘤进展并预示患者预后不良。
Cancer Manag Res. 2021 Jan 27;13:805-814. doi: 10.2147/CMAR.S285909. eCollection 2021.
整合素αvβ6通过上调IL-8介导的MAPK/ERK信号通路促进肺癌增殖和转移。
Transl Oncol. 2018 Jun;11(3):619-627. doi: 10.1016/j.tranon.2018.02.013. Epub 2018 Mar 21.
4
β1 and β3 integrins in breast, prostate and pancreatic cancer: A novel implication.β1和β3整合素在乳腺癌、前列腺癌和胰腺癌中的新意义。
Oncol Lett. 2018 Apr;15(4):5412-5416. doi: 10.3892/ol.2018.8076. Epub 2018 Feb 16.
5
Wnt/catenin β1/microRNA 183 predicts recurrence and prognosis of patients with colorectal cancer.Wnt/β-连环蛋白1/微小RNA 183可预测结直肠癌患者的复发和预后。
Oncol Lett. 2018 Apr;15(4):4451-4456. doi: 10.3892/ol.2018.7886. Epub 2018 Jan 26.
6
MiR-183 inhibits osteosarcoma cell growth and invasion by regulating LRP6-Wnt/β-catenin signaling pathway.微小RNA-183通过调控低密度脂蛋白受体相关蛋白6-翼状螺旋转录因子/β-连环蛋白信号通路抑制骨肉瘤细胞的生长和侵袭。
Biochem Biophys Res Commun. 2018 Feb 19;496(4):1197-1203. doi: 10.1016/j.bbrc.2018.01.170. Epub 2018 Jan 31.
7
Hypoxia stimulates invasion and migration of human cervical cancer cell lines HeLa/SiHa through the Rab11 trafficking of integrin αvβ3/FAK/PI3K pathway-mediated Rac1 activation.缺氧通过Rab11介导的整合素αvβ3/黏着斑激酶/磷脂酰肌醇-3激酶信号通路激活Rac1,刺激人宫颈癌细胞系HeLa/SiHa的侵袭和迁移。
J Biosci. 2017 Sep;42(3):491-499. doi: 10.1007/s12038-017-9699-0.
8
Cervical Cancer Induction Enhancement Potential of Chlamydia Trachomatis: A Systematic Review.沙眼衣原体诱导宫颈癌的增强潜力:一项系统综述。
Curr Microbiol. 2018 Dec;75(12):1667-1674. doi: 10.1007/s00284-018-1439-7. Epub 2018 Jan 22.
9
Incidence and mortality of cervical cancer in China, 2013.2013年中国宫颈癌的发病率和死亡率
Chin J Cancer Res. 2017 Dec;29(6):471-476. doi: 10.21147/j.issn.1000-9604.2017.06.01.
10
Downregulation of miR-30a is associated with proliferation and invasion via targeting MEF2D in cervical cancer.在宫颈癌中,miR-30a的下调通过靶向MEF2D与增殖和侵袭相关。
Oncol Lett. 2017 Dec;14(6):7437-7442. doi: 10.3892/ol.2017.7114. Epub 2017 Oct 2.