• 文献检索
  • 文档翻译
  • 深度研究
  • 学术资讯
  • Suppr Zotero 插件Zotero 插件
  • 邀请有礼
  • 套餐&价格
  • 历史记录
应用&插件
Suppr Zotero 插件Zotero 插件浏览器插件Mac 客户端Windows 客户端微信小程序
定价
高级版会员购买积分包购买API积分包
服务
文献检索文档翻译深度研究API 文档MCP 服务
关于我们
关于 Suppr公司介绍联系我们用户协议隐私条款
关注我们

Suppr 超能文献

核心技术专利:CN118964589B侵权必究
粤ICP备2023148730 号-1Suppr @ 2026

文献检索

告别复杂PubMed语法,用中文像聊天一样搜索,搜遍4000万医学文献。AI智能推荐,让科研检索更轻松。

立即免费搜索

文件翻译

保留排版,准确专业,支持PDF/Word/PPT等文件格式,支持 12+语言互译。

免费翻译文档

深度研究

AI帮你快速写综述,25分钟生成高质量综述,智能提取关键信息,辅助科研写作。

立即免费体验

亚甲基四氢叶酸脱氢酶 1 沉默通过调节 DNA 甲基化促进非小细胞肺癌细胞凋亡。

Methylenetetrahydrofolate Dehydrogenase 1 Silencing Expedites the Apoptosis of Non-Small Cell Lung Cancer Cells via Modulating DNA Methylation.

机构信息

Dispensary of Traditional Chinese Medicine, The First Affiliated Hospital of Zhejiang Chinese Medical University, Hangzhou, Zhejiang, China (mainland).

Department of Respiration, Quzhou People's Hospital, Quzhou, Zhejiang, China (mainland).

出版信息

Med Sci Monit. 2018 Oct 21;24:7499-7507. doi: 10.12659/MSM.910265.

DOI:10.12659/MSM.910265
PMID:30343310
原文链接:https://pmc.ncbi.nlm.nih.gov/articles/PMC6206813/
Abstract

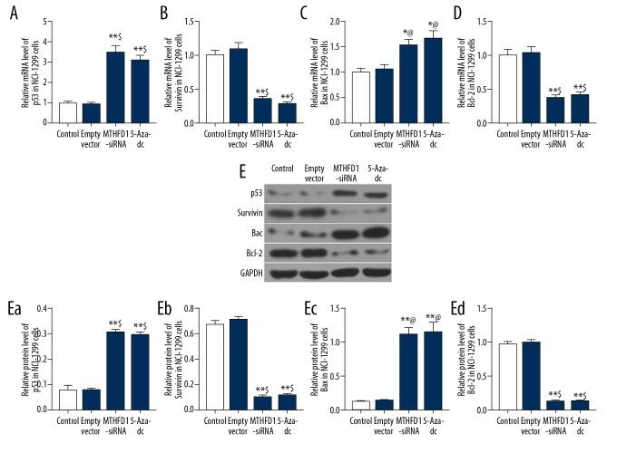
BACKGROUND Non-small cell lung cancer (NSCLC) accounts for about 85% of all types of lung cancer. Methylenetetrahydrofolate dehydrogenase 1 (MTHFD1) is involved in DNA methylation, and DNA methylation is related to tumorigenesis. The role of MTHFD1 in NSCLC was examined in our study. MATERIAL AND METHODS The correlation between the expression of MTHFD1 and the clinicopathological features of patients diagnosed with lung cancer was investigated using the chi-square test. The viability and apoptosis of NCI-H1299 cells was respectively detected using cell counting kit-8 and flow cytometry assays. The expression levels of MTHFD1, apoptosis-related factors and DNA methyltransferase-related factors were assessed by quantitative real-time PCR (qRT-PCR) and western blot assays. RESULTS We found that MTHFD1 expression in the tumor tissues and cells was higher than that of adjacent normal tissues and cells. The survival time of patients with high MTHFD1 expression was shorter than those with low MTHFD1 expression. The expression level of MTHFD1 was related to tumor size, TNM stage, histologic grade, and metastasis, but not linked to gender and age. Besides, si-MTHFD1 significantly decreased the viability of cells in a time-dependent manner, and increased cell apoptosis. When cells were transfected with MTHFD1-siRNA, the levels of surviving and B-cell lymphoma-2 (Bcl-2) were attenuated, while p53 and Bcl-2 associated X protein (Bax) levels were enhanced. Moreover, si-MTHFD1 markedly downregulated the expression levels of DNA methyltransferase 1 (DNMT1), DNMT3a, and DNMT3b. CONCLUSIONS Collectively, our results proved that MTHFD1 silencing obviously reduced the proliferation and enhanced the apoptosis of NSCLC via suppressing DNA methylation.

摘要

背景

非小细胞肺癌(NSCLC)约占所有肺癌类型的 85%。亚甲基四氢叶酸脱氢酶 1(MTHFD1)参与 DNA 甲基化,而 DNA 甲基化与肿瘤发生有关。本研究旨在探讨 MTHFD1 在 NSCLC 中的作用。

方法

采用卡方检验研究 MTHFD1 表达与肺癌患者临床病理特征的相关性。通过细胞计数试剂盒-8 和流式细胞术分别检测 NCI-H1299 细胞的活力和凋亡。通过定量实时 PCR(qRT-PCR)和 Western blot 检测 MTHFD1、凋亡相关因子和 DNA 甲基转移酶相关因子的表达水平。

结果

我们发现肿瘤组织和细胞中的 MTHFD1 表达高于相邻正常组织和细胞。MTHFD1 高表达患者的生存时间短于 MTHFD1 低表达患者。MTHFD1 的表达水平与肿瘤大小、TNM 分期、组织学分级和转移有关,但与性别和年龄无关。此外,si-MTHFD1 可显著降低细胞活力,并增加细胞凋亡。当细胞转染 MTHFD1-siRNA 时,存活蛋白和 B 细胞淋巴瘤-2(Bcl-2)的水平降低,而 p53 和 Bcl-2 相关 X 蛋白(Bax)的水平升高。此外,si-MTHFD1 明显下调了 DNA 甲基转移酶 1(DNMT1)、DNMT3a 和 DNMT3b 的表达水平。

结论

总之,我们的研究结果证明,MTHFD1 沉默通过抑制 DNA 甲基化显著降低了 NSCLC 的增殖并增强了其凋亡。

https://cdn.ncbi.nlm.nih.gov/pmc/blobs/b0b4/6206813/15b5727ab5fc/medscimonit-24-7499-g004.jpg
https://cdn.ncbi.nlm.nih.gov/pmc/blobs/b0b4/6206813/4a35c8cc6783/medscimonit-24-7499-g001.jpg
https://cdn.ncbi.nlm.nih.gov/pmc/blobs/b0b4/6206813/cc5a8a6d5fe2/medscimonit-24-7499-g002.jpg
https://cdn.ncbi.nlm.nih.gov/pmc/blobs/b0b4/6206813/d185c83191e5/medscimonit-24-7499-g003.jpg
https://cdn.ncbi.nlm.nih.gov/pmc/blobs/b0b4/6206813/15b5727ab5fc/medscimonit-24-7499-g004.jpg
https://cdn.ncbi.nlm.nih.gov/pmc/blobs/b0b4/6206813/4a35c8cc6783/medscimonit-24-7499-g001.jpg
https://cdn.ncbi.nlm.nih.gov/pmc/blobs/b0b4/6206813/cc5a8a6d5fe2/medscimonit-24-7499-g002.jpg
https://cdn.ncbi.nlm.nih.gov/pmc/blobs/b0b4/6206813/d185c83191e5/medscimonit-24-7499-g003.jpg
https://cdn.ncbi.nlm.nih.gov/pmc/blobs/b0b4/6206813/15b5727ab5fc/medscimonit-24-7499-g004.jpg

相似文献

1
Methylenetetrahydrofolate Dehydrogenase 1 Silencing Expedites the Apoptosis of Non-Small Cell Lung Cancer Cells via Modulating DNA Methylation.亚甲基四氢叶酸脱氢酶 1 沉默通过调节 DNA 甲基化促进非小细胞肺癌细胞凋亡。
Med Sci Monit. 2018 Oct 21;24:7499-7507. doi: 10.12659/MSM.910265.
2
Methylenetetrahydrofolate Dehydrogenase 1 (MTHFD1) is Underexpressed in Clear Cell Renal Cell Carcinoma Tissue and Transfection and Overexpression in Caki-1 Cells Inhibits Cell Proliferation and Increases Apoptosis.亚甲基四氢叶酸脱氢酶 1(MTHFD1)在肾透明细胞癌组织中表达下调,在 Caki-1 细胞中转染和过表达可抑制细胞增殖并增加细胞凋亡。
Med Sci Monit. 2018 Nov 21;24:8391-8400. doi: 10.12659/MSM.911124.
3
Specific association of expressions with small cell lung cancer development and chemoradiotherapy outcome.与小细胞肺癌发生和放化疗疗效相关的特定表达。
Saudi Med J. 2024 Aug;45(8):783-790. doi: 10.15537/smj.2024.45.8.20230990.
4
The role of mitochondrial folate enzyme MTHFD1L in esophageal squamous cell carcinoma.线粒体叶酸酶MTHFD1L在食管鳞状细胞癌中的作用。
Scand J Gastroenterol. 2018 May;53(5):533-540. doi: 10.1080/00365521.2017.1407440. Epub 2017 Nov 24.
5
Silencing the FOLR2 Gene Inhibits Cell Proliferation and Increases Apoptosis in the NCI-H1650 Non-Small Cell Lung Cancer Cell Line via Inhibition of AKT/Mammalian Target of Rapamycin (mTOR)/Ribosomal Protein S6 Kinase 1 (S6K1) Signaling.沉默 FOLR2 基因通过抑制 AKT/哺乳动物雷帕霉素靶蛋白(mTOR)/核糖体蛋白 S6 激酶 1(S6K1)信号通路抑制 NCI-H1650 非小细胞肺癌细胞系的细胞增殖并增加细胞凋亡。
Med Sci Monit. 2018 Nov 11;24:8064-8073. doi: 10.12659/MSM.911384.
6
Significant Association of Promoter Hypomethylation with Stroke in a Chinese Population with Primary Hypertension.启动子低甲基化与中国原发性高血压人群中风的显著关联。
Ann Clin Lab Sci. 2019 Jan;49(1):112-118.
7
LncRNA BC200 regulates the cell proliferation and cisplatin resistance in non-small cell lung cancer via PI3K/AKT pathway.长链非编码 RNA BC200 通过 PI3K/AKT 通路调节非小细胞肺癌细胞的增殖和顺铂耐药性。
Eur Rev Med Pharmacol Sci. 2019 Feb;23(3):1093-1101. doi: 10.26355/eurrev_201902_16999.
8
Downregulation of N-Acetylglucosaminyltransferase GCNT3 by miR-302b-3p Decreases Non-Small Cell Lung Cancer (NSCLC) Cell Proliferation, Migration and Invasion.miR-302b-3p对N-乙酰葡糖胺基转移酶GCNT3的下调作用可降低非小细胞肺癌(NSCLC)细胞的增殖、迁移和侵袭能力。
Cell Physiol Biochem. 2018;50(3):987-1004. doi: 10.1159/000494482. Epub 2018 Oct 24.
9
Long non-coding RNA MEG3 inhibits NSCLC cells proliferation and induces apoptosis by affecting p53 expression.长链非编码RNA MEG3通过影响p53表达抑制非小细胞肺癌细胞增殖并诱导其凋亡。
BMC Cancer. 2013 Oct 7;13:461. doi: 10.1186/1471-2407-13-461.
10
MicroRNA-330-3p promotes cell invasion and metastasis in non-small cell lung cancer through GRIA3 by activating MAPK/ERK signaling pathway.微小RNA-330-3p通过激活丝裂原活化蛋白激酶/细胞外信号调节激酶(MAPK/ERK)信号通路,作用于谷氨酸受体离子otropic AMPA 3型(GRIA3),从而促进非小细胞肺癌的细胞侵袭和转移。
J Hematol Oncol. 2017 Jun 19;10(1):125. doi: 10.1186/s13045-017-0493-0.

引用本文的文献

1
Analysis of a pan-cancer panel reveals the amino acid metabolism-related gene MTHFD1 as a potential prognostic and immunotherapeutic biomarker.一项泛癌研究分析显示,氨基酸代谢相关基因MTHFD1是一种潜在的预后和免疫治疗生物标志物。
Exp Ther Med. 2025 May 20;30(1):142. doi: 10.3892/etm.2025.12892. eCollection 2025 Jul.
2
Identifying MTHFD1 and LGALS4 as Potential Therapeutic Targets in Prostate Cancer Through Multi-Omics Mendelian Randomization Analysis.通过多组学孟德尔随机化分析确定MTHFD1和LGALS4作为前列腺癌的潜在治疗靶点
Biomedicines. 2025 Jan 13;13(1):185. doi: 10.3390/biomedicines13010185.
3
MTHFD1 Regulates Autophagy to Promote Growth and Metastasis in Colorectal Cancer via the PI3K-AKT-mTOR Signaling Pathway.

本文引用的文献

1
N-(p-coumaroyl) serotonin induces cell cycle arrest and apoptosis in breast cancer cells.N-(对香豆酰)血清素诱导乳腺癌细胞的细胞周期停滞和凋亡。
J BUON. 2018 Jan-Feb;23(1):129-133.
2
TGF-β1 mediates the effects of aspirin on colonic tumor cell proliferation and apoptosis.转化生长因子-β1介导阿司匹林对结肠肿瘤细胞增殖和凋亡的作用。
Oncol Lett. 2018 Apr;15(4):5903-5909. doi: 10.3892/ol.2018.8047. Epub 2018 Feb 14.
3
Knockdown of spindle pole body component 25 homolog inhibits cell proliferation and cycle progression in prostate cancer.
MTHFD1 通过 PI3K-AKT-mTOR 信号通路调控自噬促进结直肠癌细胞的生长和转移。
Cancer Med. 2024 Nov;13(22):e70267. doi: 10.1002/cam4.70267.
4
MTHFD1 regulates the NADPH redox homeostasis in MYCN-amplified neuroblastoma.MTHFD1 调节 MYCN 扩增神经母细胞瘤中的 NADPH 氧化还原稳态。
Cell Death Dis. 2024 Feb 9;15(2):124. doi: 10.1038/s41419-024-06490-3.
5
Identifying the role of MTHFD1L in prostate cancer progression from genetic analysis and experimental validation.通过基因分析和实验验证确定MTHFD1L在前列腺癌进展中的作用。
Am J Cancer Res. 2024 Jan 15;14(1):169-181. doi: 10.62347/ASMT9261. eCollection 2024.
6
Melatonin: A Potential Regulator of DNA Methylation.褪黑素:一种潜在的DNA甲基化调节因子。
Antioxidants (Basel). 2023 May 25;12(6):1155. doi: 10.3390/antiox12061155.
7
Folate Metabolism in Hepatocellular Carcinoma. What Do We Know So Far?肝细胞癌中的叶酸代谢。目前我们了解多少?
Technol Cancer Res Treat. 2022 Jan-Dec;21:15330338221144446. doi: 10.1177/15330338221144446.
8
How DNA methylation affects the Warburg effect.DNA 甲基化如何影响瓦堡效应。
Int J Biol Sci. 2020 Apr 27;16(12):2029-2041. doi: 10.7150/ijbs.45420. eCollection 2020.
9
MTHFD1L-Mediated Redox Homeostasis Promotes Tumor Progression in Tongue Squamous Cell Carcinoma.MTHFD1L介导的氧化还原稳态促进舌鳞状细胞癌的肿瘤进展。
Front Oncol. 2019 Dec 5;9:1278. doi: 10.3389/fonc.2019.01278. eCollection 2019.
10
Long Non-Coding RNAs (lncRNAs) Tumor-Suppressive Role of lncRNA on Chromosome 8p12 (TSLNC8) Inhibits Tumor Metastasis and Promotes Apoptosis by Regulating Interleukin 6 (IL-6)/Signal Transducer and Activator of Transcription 3 (STAT3)/Hypoxia-Inducible Factor 1-alpha (HIF-1α) Signaling Pathway in Non-Small Cell Lung Cancer.长链非编码 RNA(lncRNA) lncRNA 在 8p12 染色体上的抑瘤作用通过调节白细胞介素 6(IL-6)/信号转导和转录激活因子 3(STAT3)/缺氧诱导因子 1-α(HIF-1α)信号通路抑制非小细胞肺癌的肿瘤转移并促进细胞凋亡。
Med Sci Monit. 2019 Oct 11;25:7624-7633. doi: 10.12659/MSM.917565.
纺锤极体组件25同源物的敲低抑制前列腺癌细胞增殖和细胞周期进程。
Oncol Lett. 2018 Apr;15(4):5712-5720. doi: 10.3892/ol.2018.8003. Epub 2018 Feb 8.
4
Lung cancer health disparities.肺癌健康差异。
Carcinogenesis. 2018 May 28;39(6):741-751. doi: 10.1093/carcin/bgy047.
5
DNA methylome and transcriptome alterations and cancer prevention by curcumin in colitis-accelerated colon cancer in mice.姜黄素对结肠炎加速结肠癌小鼠的 DNA 甲基组和转录组改变及癌症预防作用。
Carcinogenesis. 2018 May 3;39(5):669-680. doi: 10.1093/carcin/bgy043.
6
Suppressing autophagy enhances disulfiram/copper-induced apoptosis in non-small cell lung cancer.抑制自噬可增强二硫化硒/铜诱导的非小细胞肺癌细胞凋亡。
Eur J Pharmacol. 2018 May 15;827:1-12. doi: 10.1016/j.ejphar.2018.02.039. Epub 2018 Mar 13.
7
Allele-specific DNA methylation of disease susceptibility genes in Japanese patients with inflammatory bowel disease.日本炎症性肠病患者疾病易感性基因的等位基因特异性 DNA 甲基化。
PLoS One. 2018 Mar 16;13(3):e0194036. doi: 10.1371/journal.pone.0194036. eCollection 2018.
8
Molecular Pathology of Lung Cancer Cytology Specimens: A Concise Review.肺癌细胞学标本的分子病理学:简要综述。
Arch Pathol Lab Med. 2018 Sep;142(9):1127-1133. doi: 10.5858/arpa.2017-0444-RA. Epub 2018 Mar 16.
9
The long-term impact of folic acid in pregnancy on offspring DNA methylation: follow-up of the Aberdeen Folic Acid Supplementation Trial (AFAST).孕期补充叶酸对后代DNA甲基化的长期影响:阿伯丁叶酸补充试验(AFAST)的随访研究
Int J Epidemiol. 2018 Jun 1;47(3):928-937. doi: 10.1093/ije/dyy032.
10
Prognostic significance of combined fibrinogen concentration and neutrophil-to-lymphocyte ratio in patients with resectable non-small cell lung cancer.纤维蛋白原浓度与中性粒细胞与淋巴细胞比值联合检测对可切除非小细胞肺癌患者的预后意义
Cancer Biol Med. 2018 Feb;15(1):88-96. doi: 10.20892/j.issn.2095-3941.2017.0124.