Department of Paediatrics, University of Oxford, Oxford, United Kingdom.
FMRIB, Wellcome Centre for Integrative Neuroimaging, University of Oxford, Oxford, United Kingdom.
Neuroimage. 2019 Feb 1;186:286-300. doi: 10.1016/j.neuroimage.2018.11.006. Epub 2018 Nov 8.
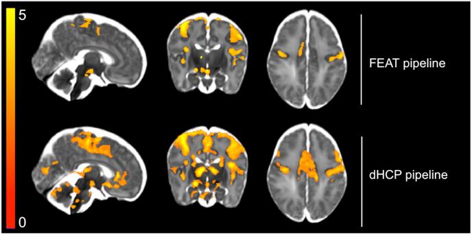
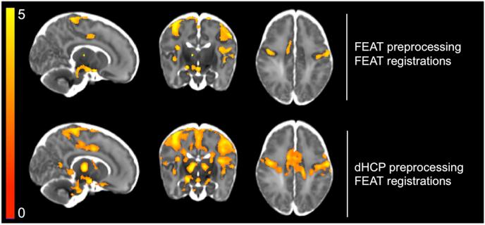
The infant brain is unlike the adult brain, with considerable differences in morphological, neurodynamic, and haemodynamic features. As the majority of current MRI analysis tools were designed for use in adults, a primary objective of the Developing Human Connectome Project (dHCP) is to develop optimised methodological pipelines for the analysis of neonatal structural, resting state, and diffusion MRI data. Here, in an independent neonatal dataset we have extended and optimised the dHCP fMRI preprocessing pipeline for the analysis of stimulus-response fMRI data. We describe and validate this extended dHCP fMRI preprocessing pipeline to analyse changes in brain activity evoked following an acute noxious stimulus applied to the infant's foot. We compare the results obtained from this extended dHCP pipeline to results obtained from a typical FSL FEAT-based analysis pipeline, evaluating the pipelines' outputs using a wide range of tests. We demonstrate that a substantial increase in spatial specificity and sensitivity to signal can be attained with a bespoke neonatal preprocessing pipeline through optimised motion and distortion correction, ICA-based denoising, and haemodynamic modelling. The improved sensitivity and specificity, made possible with this extended dHCP pipeline, will be paramount in making further progress in our understanding of the development of sensory processing in the infant brain.
婴儿的大脑不同于成人的大脑,在形态、神经动力学和血液动力学特征上存在很大差异。由于大多数当前的 MRI 分析工具是为成人设计的,因此发展人类连接组计划(dHCP)的主要目标之一是开发优化的方法学管道,用于分析新生儿结构、静息状态和扩散 MRI 数据。在这里,在一个独立的新生儿数据集上,我们扩展和优化了 dHCP fMRI 预处理管道,以分析应用于婴儿足部的急性疼痛刺激后大脑活动的变化。我们描述并验证了这个扩展的 dHCP fMRI 预处理管道,以分析在婴儿大脑中对急性疼痛刺激的反应。我们将从这个扩展的 dHCP 管道中获得的结果与从典型的基于 FSL FEAT 的分析管道中获得的结果进行比较,使用广泛的测试来评估管道的输出。我们证明,通过优化的运动和失真校正、基于 ICA 的去噪和血液动力学建模,可以通过定制的新生儿预处理管道获得更高的空间特异性和对信号的敏感性。这种扩展的 dHCP 管道所带来的更高的敏感性和特异性,对于我们进一步理解婴儿大脑中感觉处理的发展至关重要。