• 文献检索
  • 文档翻译
  • 深度研究
  • 学术资讯
  • Suppr Zotero 插件Zotero 插件
  • 邀请有礼
  • 套餐&价格
  • 历史记录
应用&插件
Suppr Zotero 插件Zotero 插件浏览器插件Mac 客户端Windows 客户端微信小程序
定价
高级版会员购买积分包购买API积分包
服务
文献检索文档翻译深度研究API 文档MCP 服务
关于我们
关于 Suppr公司介绍联系我们用户协议隐私条款
关注我们

Suppr 超能文献

核心技术专利:CN118964589B侵权必究
粤ICP备2023148730 号-1Suppr @ 2026

文献检索

告别复杂PubMed语法,用中文像聊天一样搜索,搜遍4000万医学文献。AI智能推荐,让科研检索更轻松。

立即免费搜索

文件翻译

保留排版,准确专业,支持PDF/Word/PPT等文件格式,支持 12+语言互译。

免费翻译文档

深度研究

AI帮你快速写综述,25分钟生成高质量综述,智能提取关键信息,辅助科研写作。

立即免费体验

一名26岁男性的乙状结肠和横结肠同步扭转。

Synchronous volvulus of the sigmoid and transverse colon in a 26-year-old male.

作者信息

Motsumi Mpapho Joseph, Tlhomelang Omphile

机构信息

Department of Surgery, Faculty of Medicine University of Botswana, Botswana.

Department of Surgery, Princess Marina Hospital, Gaborone, Botswana.

出版信息

J Surg Case Rep. 2018 Nov 13;2018(11):rjy295. doi: 10.1093/jscr/rjy295. eCollection 2018 Nov.

DOI:10.1093/jscr/rjy295
PMID:30443313
原文链接:https://pmc.ncbi.nlm.nih.gov/articles/PMC6232284/
Abstract

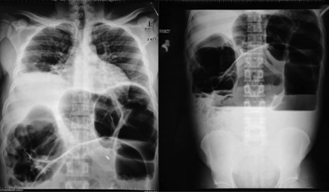
We present a 26-year-old male patient who presented with complete bowel obstruction and peritonitis. His abdominal X-rays showed grossly distended large bowels with air-fluid levels. A differential diagnosis of sigmoid volvulus was entertained and the patient was taken for an exploratory laparotomy. Intraoperatively, we found a sigmoid volvulus and a concurrent transverse colon volvulus. A subtotal colectomy and colostomy was performed. The histopathology results showed mucosal and submucosal congestion, chronic inflammation, and no malignancy or dysplasia. Synchronous volvulus of the sigmoid and transverse colon is an extremely rare. Management includes endoscopic derotation and decompression followed by semi-elective surgery in non-complicated cases. When endoscopic decompression has failed or there is suspicion of necrosis or perforation, surgery is mandatory.

摘要

我们报告一名26岁男性患者,其表现为完全性肠梗阻和腹膜炎。他的腹部X线片显示大肠明显扩张,伴有气液平面。考虑乙状结肠扭转的鉴别诊断,该患者接受了剖腹探查术。术中,我们发现乙状结肠扭转并同时存在横结肠扭转。进行了次全结肠切除术和结肠造口术。组织病理学结果显示黏膜和黏膜下充血、慢性炎症,无恶性肿瘤或发育异常。乙状结肠和横结肠同步扭转极为罕见。治疗包括内镜下复位和减压,在非复杂病例中随后进行半择期手术。当内镜减压失败或怀疑有坏死或穿孔时,手术是必需的。

https://cdn.ncbi.nlm.nih.gov/pmc/blobs/2762/6232284/941143f5864d/rjy295f03.jpg
https://cdn.ncbi.nlm.nih.gov/pmc/blobs/2762/6232284/4fb0b0024053/rjy295f01.jpg
https://cdn.ncbi.nlm.nih.gov/pmc/blobs/2762/6232284/2e241b2dbb58/rjy295f02.jpg
https://cdn.ncbi.nlm.nih.gov/pmc/blobs/2762/6232284/941143f5864d/rjy295f03.jpg
https://cdn.ncbi.nlm.nih.gov/pmc/blobs/2762/6232284/4fb0b0024053/rjy295f01.jpg
https://cdn.ncbi.nlm.nih.gov/pmc/blobs/2762/6232284/2e241b2dbb58/rjy295f02.jpg
https://cdn.ncbi.nlm.nih.gov/pmc/blobs/2762/6232284/941143f5864d/rjy295f03.jpg

相似文献

1
Synchronous volvulus of the sigmoid and transverse colon in a 26-year-old male.一名26岁男性的乙状结肠和横结肠同步扭转。
J Surg Case Rep. 2018 Nov 13;2018(11):rjy295. doi: 10.1093/jscr/rjy295. eCollection 2018 Nov.
2
Large bowel obstruction as a consequence of transverse colon volvulus: A case report.横结肠扭转导致的大肠梗阻:一例报告
Int J Surg Case Rep. 2020;76:534-538. doi: 10.1016/j.ijscr.2020.10.070. Epub 2020 Oct 21.
3
Volvulus of the transverse colon after resection of the sigmoid volvulus: A case report.乙状结肠扭转切除术后横结肠扭转:一例报告。
J Taibah Univ Med Sci. 2021 Sep 24;17(4):626-629. doi: 10.1016/j.jtumed.2021.08.011. eCollection 2022 Aug.
4
Synchronous sigmoid and transverse volvulus: A case report and qualitative systematic review.同步性乙状结肠和横结肠扭转:一例报告及定性系统评价
Int J Surg Case Rep. 2020;75:297-301. doi: 10.1016/j.ijscr.2020.09.027. Epub 2020 Sep 10.
5
Synchronous volvulus of the transverse and sigmoid colon: a rare case of large bowel obstruction.横结肠和乙状结肠同时扭转:一种罕见的大肠梗阻病例。
Pan Afr Med J. 2021 Mar 2;38:231. doi: 10.11604/pamj.2021.38.231.27470. eCollection 2021.
6
Bifocal bowel obstruction by synchronous transverse and sigmoid colon volvulus: A case report and qualitative review of the literature.同步横结肠和乙状结肠扭转导致的双灶性肠梗阻:一例报告及文献定性综述
Int J Surg Case Rep. 2024 Oct;123:110312. doi: 10.1016/j.ijscr.2024.110312. Epub 2024 Sep 16.
7
Simultaneous cecal and transverse colon volvulus: An exceedingly rare case of intestinal obstruction from Ethiopia: A case report and review of literatures.同时性盲肠和横结肠扭转:埃塞俄比亚极为罕见的肠梗阻病例:病例报告及文献综述
Int J Surg Case Rep. 2023 Oct;111:108725. doi: 10.1016/j.ijscr.2023.108725. Epub 2023 Sep 4.
8
A RARE METACHRONOUS COLONIC VOLVULUS.一例罕见的复发性结肠扭转
Ann Ib Postgrad Med. 2023 Aug;21(2):81-83. Epub 2023 Nov 1.
9
A Rare Condition of Simultaneous Occurrence of Sigmoid and Transverse Colon Volvulus.乙状结肠和横结肠同时发生扭转的罕见病例
Cureus. 2021 Dec 7;13(12):e20250. doi: 10.7759/cureus.20250. eCollection 2021 Dec.
10
Transverse colon volvulus presenting as bowel obstruction: a case report.以肠梗阻为表现的横结肠扭转:一例病例报告
J Med Case Rep. 2019 May 25;13(1):156. doi: 10.1186/s13256-019-2080-1.

引用本文的文献

1
Bifocal bowel obstruction by synchronous transverse and sigmoid colon volvulus: A case report and qualitative review of the literature.同步横结肠和乙状结肠扭转导致的双灶性肠梗阻:一例报告及文献定性综述
Int J Surg Case Rep. 2024 Oct;123:110312. doi: 10.1016/j.ijscr.2024.110312. Epub 2024 Sep 16.
2
Transverse colon volvulus: A case report of an uncommon cause of acute abdomen in pediatrics.横结肠扭转:小儿急腹症罕见病因的病例报告
Clin Case Rep. 2024 May 10;12(5):e8828. doi: 10.1002/ccr3.8828. eCollection 2024 May.
3
Simultaneous transverse colon and sigmoid volvulus.

本文引用的文献

1
Synchronic volvulus of splenic flexure and caecum: a very rare cause of large bowel obstruction.脾曲和盲肠同步扭转:一种非常罕见的大肠梗阻原因。
BMJ Case Rep. 2016 Jan 18;2016:bcr2015213029. doi: 10.1136/bcr-2015-213029.
2
Simultaneous volvulus of the transverse and sigmoid colon: case report.横结肠和乙状结肠同时扭转:病例报告
G Chir. 2012 Oct;33(10):324-6.
3
Diagnosis of sigmoid volvulus using the coffee bean, northern exposure sign, whirl sign and transition point.利用咖啡豆征、北露征、漩涡征及移行点诊断乙状结肠扭转
横结肠和乙状结肠同时扭转
SAGE Open Med Case Rep. 2023 Aug 29;11:2050313X231197001. doi: 10.1177/2050313X231197001. eCollection 2023.
4
Volvulus of the transverse colon after resection of the sigmoid volvulus: A case report.乙状结肠扭转切除术后横结肠扭转:一例报告。
J Taibah Univ Med Sci. 2021 Sep 24;17(4):626-629. doi: 10.1016/j.jtumed.2021.08.011. eCollection 2022 Aug.
5
A Rare Condition of Simultaneous Occurrence of Sigmoid and Transverse Colon Volvulus.乙状结肠和横结肠同时发生扭转的罕见病例
Cureus. 2021 Dec 7;13(12):e20250. doi: 10.7759/cureus.20250. eCollection 2021 Dec.
6
Splenic flexure volvulus, a rare etiology of colonic obstruction: Case report.脾曲扭转,一种罕见的结肠梗阻病因:病例报告。
Int J Surg Case Rep. 2021 Sep;86:106128. doi: 10.1016/j.ijscr.2021.106128. Epub 2021 Jun 19.
7
Synchronous volvulus of the transverse and sigmoid colon: a rare case of large bowel obstruction.横结肠和乙状结肠同时扭转:一种罕见的大肠梗阻病例。
Pan Afr Med J. 2021 Mar 2;38:231. doi: 10.11604/pamj.2021.38.231.27470. eCollection 2021.
8
Transverse colonic volvulus due to mesenteric fibromatosis: a case report.肠系膜纤维瘤病所致横结肠扭转:一例报告
BMC Gastroenterol. 2021 Jan 6;21(1):11. doi: 10.1186/s12876-020-01592-6.
9
Synchronous sigmoid and transverse volvulus: A case report and qualitative systematic review.同步性乙状结肠和横结肠扭转:一例报告及定性系统评价
Int J Surg Case Rep. 2020;75:297-301. doi: 10.1016/j.ijscr.2020.09.027. Epub 2020 Sep 10.
10
Transverse colonic volvulus after resection of sigmoid volvulus: Presentation of a case report.乙状结肠扭转切除术后横结肠扭转:一例病例报告
Int J Surg Case Rep. 2019;60:257-260. doi: 10.1016/j.ijscr.2019.06.008. Epub 2019 Jun 12.
BMJ Case Rep. 2011 Aug 24;2011:bcr0620114334. doi: 10.1136/bcr.06.2011.4334.
4
Non-toxic megacolon due to transverse and sigmoid colon volvulus in a patient with ulcerative colitis.因溃疡性结肠炎导致的横结肠和乙状结肠扭转而出现非毒性巨结肠。
J Crohns Colitis. 2009 Feb;3(1):38-41. doi: 10.1016/j.crohns.2008.09.002. Epub 2008 Oct 26.
5
CT findings of sigmoid volvulus.乙状结肠扭转的 CT 表现。
AJR Am J Roentgenol. 2010 Jan;194(1):136-43. doi: 10.2214/AJR.09.2580.
6
COEXISTENT VOLVULUS OF THE TRANSVERSE, SIGMOID AND RIGHT COLON.
Am Surg. 1964 May;30:313-6.
7
Volvulus of the transverse and sigmoid colon.横结肠和乙状结肠扭转
Pediatr Surg Int. 2000;16(7):522-4. doi: 10.1007/s003839900333.
8
Minimizing recurrence after sigmoid volvulus.降低乙状结肠扭转后的复发率。
Br J Surg. 1999 Feb;86(2):231-3. doi: 10.1046/j.1365-2168.1999.01034.x.