• 文献检索
  • 文档翻译
  • 深度研究
  • 学术资讯
  • Suppr Zotero 插件Zotero 插件
  • 邀请有礼
  • 套餐&价格
  • 历史记录
应用&插件
Suppr Zotero 插件Zotero 插件浏览器插件Mac 客户端Windows 客户端微信小程序
定价
高级版会员购买积分包购买API积分包
服务
文献检索文档翻译深度研究API 文档MCP 服务
关于我们
关于 Suppr公司介绍联系我们用户协议隐私条款
关注我们

Suppr 超能文献

核心技术专利:CN118964589B侵权必究
粤ICP备2023148730 号-1Suppr @ 2026

文献检索

告别复杂PubMed语法,用中文像聊天一样搜索,搜遍4000万医学文献。AI智能推荐,让科研检索更轻松。

立即免费搜索

文件翻译

保留排版,准确专业,支持PDF/Word/PPT等文件格式,支持 12+语言互译。

免费翻译文档

深度研究

AI帮你快速写综述,25分钟生成高质量综述,智能提取关键信息,辅助科研写作。

立即免费体验

胸腔镜在多房性脓胸治疗中的作用。

Role of medical Thoracoscopy in the Management of Multiloculated Empyema.

机构信息

Department of Chest Medicine, Jinnah Postgraduate Medical Centre, Karachi, 75400, Pakistan.

Department of Thoracic Surgery, Combined Military Hospital, Peshawar, Pakistan.

出版信息

BMC Pulm Med. 2018 Nov 29;18(1):179. doi: 10.1186/s12890-018-0745-y.

DOI:10.1186/s12890-018-0745-y
PMID:30486876
原文链接:https://pmc.ncbi.nlm.nih.gov/articles/PMC6264615/
Abstract

BACKGROUND

The treatment of early pleural empyema depends on the treatment of ongoing infection by antimicrobial therapy along with thoracocentesis. In complicated empyema this treatment does not work and lung will not expand until removal of adhesions. The objective of the current study is to analyze the experience of management of multiloculated, exudative and fibrinopurulent empyema through rigid medical thoracoscopy under local anaesthesia and to explore new ways to manage the entity.

METHODS

This is a descriptive case series in which 160 patients were recruited through non-probability convenient sampling, from department of pulmonology, Jinnah postgraduate medical centre, Karachi, from September 2014 to August 2016. All patients underwent medical thoracoscopy under local anesthesia. Written Informed consent was taken from the study participants. Ethical approval was obtained from Ethical Review Committee of the hospital. Patients age > 70 years, those with multiple organ failure and bleeding disorders were excluded.

RESULTS

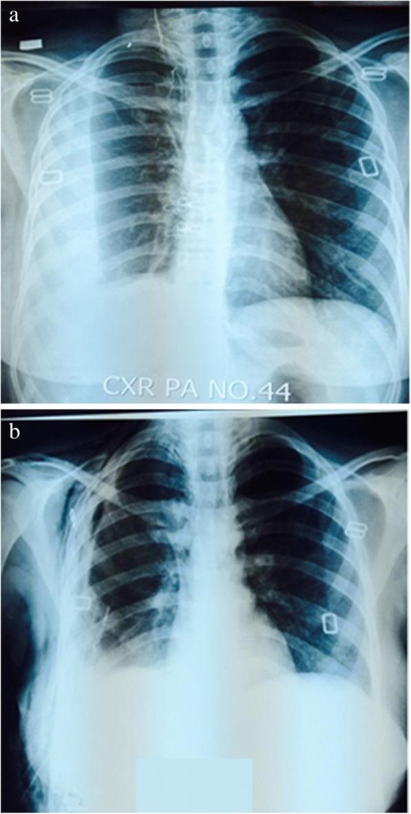
Out of 160 patients, 108 (67.50%) were male and 52 (32.5%) were female with mean age 25.37 years (range 16 to 70 years). Out of total, 102 (63.7%) had tuberculous empyema, while pleural biopsy of 58 (36.3%) patients was suggestive of non-tuberculous empyema. Final evolution through chest x-ray revealed complete resolution in 92 (57.5%), partial resolution in 58 (36.25%) patients. 9 (5.6%) developed persistent air leak while 1 (0.6%) patient expired due to urosepsis.

CONCLUSION

Medical Thoracoscopy under local anesthesia is a safe, efficient and cost effective intervention for management of complicated empyema, particularly in resource constraint settings.

摘要

背景

早期脓胸的治疗取决于通过抗菌治疗和胸腔穿刺来治疗持续的感染。在复杂的脓胸中,这种治疗方法不起作用,只有在去除粘连后肺部才会扩张。本研究的目的是分析局部麻醉下硬性内科胸腔镜治疗多房性、渗出性和纤维脓性脓胸的经验,并探索治疗该病的新方法。

方法

这是一项描述性病例系列研究,2014 年 9 月至 2016 年 8 月期间,通过非概率方便抽样,从卡拉奇吉纳研究生医学中心呼吸科招募了 160 名患者。所有患者均在局部麻醉下接受内科胸腔镜检查。研究参与者签署了书面知情同意书。医院伦理审查委员会批准了该研究。排除年龄>70 岁、多器官功能衰竭和出血性疾病的患者。

结果

在 160 名患者中,108 名(67.50%)为男性,52 名(32.5%)为女性,平均年龄 25.37 岁(16-70 岁)。在所有患者中,102 例(63.7%)为结核性脓胸,58 例(36.3%)患者的胸腔活检提示为非结核性脓胸。通过胸部 X 射线最终演变显示 92 例(57.5%)完全缓解,58 例(36.25%)部分缓解。9 例(5.6%)发生持续的气胸,1 例(0.6%)因尿路感染死亡。

结论

局部麻醉下内科胸腔镜检查是一种安全、有效、经济有效的治疗复杂脓胸的方法,特别是在资源有限的情况下。

https://cdn.ncbi.nlm.nih.gov/pmc/blobs/91df/6264615/9613e6bfa0a8/12890_2018_745_Fig5_HTML.jpg
https://cdn.ncbi.nlm.nih.gov/pmc/blobs/91df/6264615/d7945a191187/12890_2018_745_Fig1_HTML.jpg
https://cdn.ncbi.nlm.nih.gov/pmc/blobs/91df/6264615/26c179cbed45/12890_2018_745_Fig2_HTML.jpg
https://cdn.ncbi.nlm.nih.gov/pmc/blobs/91df/6264615/74be82a9c618/12890_2018_745_Fig3_HTML.jpg
https://cdn.ncbi.nlm.nih.gov/pmc/blobs/91df/6264615/d5e24e8025d0/12890_2018_745_Fig4_HTML.jpg
https://cdn.ncbi.nlm.nih.gov/pmc/blobs/91df/6264615/9613e6bfa0a8/12890_2018_745_Fig5_HTML.jpg
https://cdn.ncbi.nlm.nih.gov/pmc/blobs/91df/6264615/d7945a191187/12890_2018_745_Fig1_HTML.jpg
https://cdn.ncbi.nlm.nih.gov/pmc/blobs/91df/6264615/26c179cbed45/12890_2018_745_Fig2_HTML.jpg
https://cdn.ncbi.nlm.nih.gov/pmc/blobs/91df/6264615/74be82a9c618/12890_2018_745_Fig3_HTML.jpg
https://cdn.ncbi.nlm.nih.gov/pmc/blobs/91df/6264615/d5e24e8025d0/12890_2018_745_Fig4_HTML.jpg
https://cdn.ncbi.nlm.nih.gov/pmc/blobs/91df/6264615/9613e6bfa0a8/12890_2018_745_Fig5_HTML.jpg

相似文献

1
Role of medical Thoracoscopy in the Management of Multiloculated Empyema.胸腔镜在多房性脓胸治疗中的作用。
BMC Pulm Med. 2018 Nov 29;18(1):179. doi: 10.1186/s12890-018-0745-y.
2
Video-assisted thoracoscopy in the treatment of pleural empyema: stage-based management and outcome.电视辅助胸腔镜在治疗胸膜腔积脓中的应用:基于分期的管理与结果
J Thorac Cardiovasc Surg. 1999 Feb;117(2):234-8. doi: 10.1016/S0022-5223(99)70417-4.
3
Is medical thoracoscopy efficient in the management of multiloculated and organized thoracic empyema?胸腔镜在多房性和包裹性脓胸的治疗中是否有效?
Respiration. 2012;84(3):219-24. doi: 10.1159/000339414. Epub 2012 Jul 24.
4
Management of pleural empyema with single-port video-assisted thoracoscopy.单孔电视辅助胸腔镜治疗胸腔脓胸
Innovations (Phila). 2012 Sep-Oct;7(5):338-45. doi: 10.1097/IMI.0b013e31827e26d6.
5
Modified single-port non-intubated video-assisted thoracoscopic decortication in high-risk parapneumonic empyema patients.改良单孔非插管电视辅助胸腔镜剥脱术治疗高危类肺炎性胸腔积液患者
Surg Endosc. 2017 Apr;31(4):1719-1727. doi: 10.1007/s00464-016-5164-7. Epub 2016 Aug 12.
6
Treatment of sonographically stratified multiloculated thoracic empyema by medical thoracoscopy.超声分层多房性胸腔积脓的内科胸腔镜治疗
Chest. 2005 Nov;128(5):3303-9. doi: 10.1378/chest.128.5.3303.
7
[Thoracoscopic treatment of pleural empyema].
Zentralbl Chir. 1999;124(12):1116-20.
8
Hippocrates Quoted "If an Empyema Does Not Rupture, Death Will Occur": Is Medical Thoracoscopy Able to Make It Rupture Safely?希波克拉底曾说过“如果脓胸不破裂,就会导致死亡”:内科胸腔镜能使其安全破裂吗?
J Bronchology Interv Pulmonol. 2017 Jan;24(1):15-20. doi: 10.1097/LBR.0000000000000310.
9
[Video-assisted thoracoscopic surgery (VATS) for treatment of pleural empyema].[电视辅助胸腔镜手术(VATS)治疗脓胸]
Khirurgiia (Sofiia). 2004;60(2):15-7.
10
The role of thoracoscopy in the treatment of pleural empyema in children.胸腔镜在儿童胸腔积液治疗中的作用。
Surg Endosc. 2006 Sep;20(9):1402-5. doi: 10.1007/s00464-005-0750-0. Epub 2006 Jul 3.

引用本文的文献

1
Dry Medical Thoracoscopy with Artificial Pneumothorax Induction Using Veress Needle.使用韦氏针诱导人工气胸的干式医学胸腔镜检查。
Tuberc Respir Dis (Seoul). 2025 Jan;88(1):181-189. doi: 10.4046/trd.2024.0029. Epub 2024 Nov 14.
2
Beyond diagnosis: a narrative review of the evolving therapeutic role of medical thoracoscopy in the management of pleural diseases.超越诊断:医学胸腔镜在胸膜疾病管理中不断演变的治疗作用的叙述性综述
J Thorac Dis. 2024 Mar 29;16(3):2177-2195. doi: 10.21037/jtd-23-1745. Epub 2024 Mar 27.
3
Safety and Diagnostic Yield of Medical Pleuroscopy (MP) Performed under Balanced Analgosedation by a Pneumological Team Compared to Video-Assisted Thoracic Surgery (VATS): A Retrospective Controlled Real-Life Study (TORAPO).

本文引用的文献

1
Thoracoscopy: medical versus surgical-in the management of pleural diseases.胸腔镜检查:内科与外科在胸膜疾病管理中的应用
J Thorac Dis. 2015 Dec;7(Suppl 4):S339-51. doi: 10.3978/j.issn.2072-1439.2015.11.66.
2
Role of medical thoracoscopy and closed-blind pleural biopsy in undiagnosed exudative pleural effusions: a single-center experience of 348 patients.内科胸腔镜检查及闭式盲检胸膜活检在不明原因渗出性胸腔积液中的作用:348例患者的单中心经验
J Bronchology Interv Pulmonol. 2015 Apr;22(2):121-9. doi: 10.1097/LBR.0000000000000145.
3
Management of pleural effusion, empyema, and lung abscess.
与电视辅助胸腔镜手术(VATS)相比,由肺病学团队在平衡镇痛镇静下进行的内科胸腔镜检查(MP)的安全性和诊断率:一项回顾性对照现实生活研究(TORAPO)。
Diagnostics (Basel). 2024 Mar 7;14(6):569. doi: 10.3390/diagnostics14060569.
4
Use of tunneled pleural catheters in chronic empyema: Two case reports and brief review of the literature.隧道式胸腔导管在慢性脓胸治疗中的应用:两例病例报告及文献简要回顾
Respir Med Case Rep. 2022 Oct 11;40:101754. doi: 10.1016/j.rmcr.2022.101754. eCollection 2022.
5
Can intrapleural alteplase treatment be an alternative to videothoracoscopic deloculation and decortication in pleural empyema?在胸膜脓胸中,胸膜腔内注射纤溶酶治疗能否替代电视胸腔镜下松解术和剥脱术?
Wideochir Inne Tech Maloinwazyjne. 2021 Sep;16(3):580-586. doi: 10.5114/wiitm.2021.103920. Epub 2021 Feb 24.
6
Recent Insights into the Management of Pleural Infection.胸膜感染管理的最新见解
Int J Gen Med. 2021 Jul 14;14:3415-3429. doi: 10.2147/IJGM.S292705. eCollection 2021.
7
Medical thoracoscopy treatment for pleural infections: a systematic review and meta-analysis.胸腔镜治疗胸膜感染:一项系统评价和荟萃分析
BMC Pulm Med. 2021 Apr 20;21(1):127. doi: 10.1186/s12890-021-01492-9.
8
Role of medical thoracoscopy in the treatment of complicated parapneumonic effusions.内科胸腔镜在复杂性类肺炎性胸腔积液治疗中的作用
Lung India. 2021 Mar-Apr;38(2):149-153. doi: 10.4103/lungindia.lungindia_543_20.
9
Advances in pleural infection and malignancy.胸膜感染和恶性肿瘤的进展。
Eur Respir Rev. 2021 Jan 13;30(159). doi: 10.1183/16000617.0002-2020. Print 2021 Mar 31.
10
The Utility of Intraoperative Microbiological, Cytological, and Histopathological Sampling in the Setting of an Empyema Necessitating Lung Decortication Surgery.术中微生物学、细胞学和组织病理学采样在需要行肺纤维板剥脱术的脓胸病例中的应用价值
Cureus. 2020 Jun 26;12(6):e8839. doi: 10.7759/cureus.8839.
胸腔积液、脓胸和肺脓肿的管理
Semin Intervent Radiol. 2011 Mar;28(1):75-86. doi: 10.1055/s-0031-1273942.
4
Management of parapneumonic effusion and empyema: medical thoracoscopy and surgical approach.脓胸和肺炎旁胸腔积液的处理:内科胸腔镜和外科方法。
Respiration. 2011;82(2):193-6. doi: 10.1159/000326337. Epub 2011 Apr 7.
5
Practical management of pleural empyema.脓胸的实际管理
Monaldi Arch Chest Dis. 2010 Sep;73(3):124-9. doi: 10.4081/monaldi.2010.296.
6
Empyema thoracis.脓胸
Clin Med Insights Circ Respir Pulm Med. 2010 Jun 17;4:1-8. doi: 10.4137/ccrpm.s5066.
7
Advanced techniques in medical thoracoscopy.医学胸腔镜检查的先进技术。
Eur Respir J. 2006 Nov;28(5):1051-9. doi: 10.1183/09031936.00014106.
8
Parapneumonic effusions and empyema.肺炎旁胸腔积液和脓胸。
Proc Am Thorac Soc. 2006;3(1):75-80. doi: 10.1513/pats.200510-113JH.
9
Treatment of sonographically stratified multiloculated thoracic empyema by medical thoracoscopy.超声分层多房性胸腔积脓的内科胸腔镜治疗
Chest. 2005 Nov;128(5):3303-9. doi: 10.1378/chest.128.5.3303.
10
U.K. Controlled trial of intrapleural streptokinase for pleural infection.英国胸膜内链激酶治疗胸膜感染的对照试验。
N Engl J Med. 2005 Mar 3;352(9):865-74. doi: 10.1056/NEJMoa042473.