Suppr超能文献

甲状腺罕见原发性肿瘤:平滑肌瘤一例新病例及文献综述

A Rare Primary Tumor of the Thyroid Gland: A New Case of Leiomyoma and Literature Review.

作者信息

Zhang Yanling, Tang Heng, Hu Huaiyuan, Yong Xiang

机构信息

Department of Oncology, Wanbei Coal-Electricity Group General Hospital, Suzhou, China.

Department of Pathology, Wanbei Coal-Electricity Group General Hospital, Suzhou, China.

出版信息

Clin Med Insights Oncol. 2018 Nov 26;12:1179554918813535. doi: 10.1177/1179554918813535. eCollection 2018.

Abstract

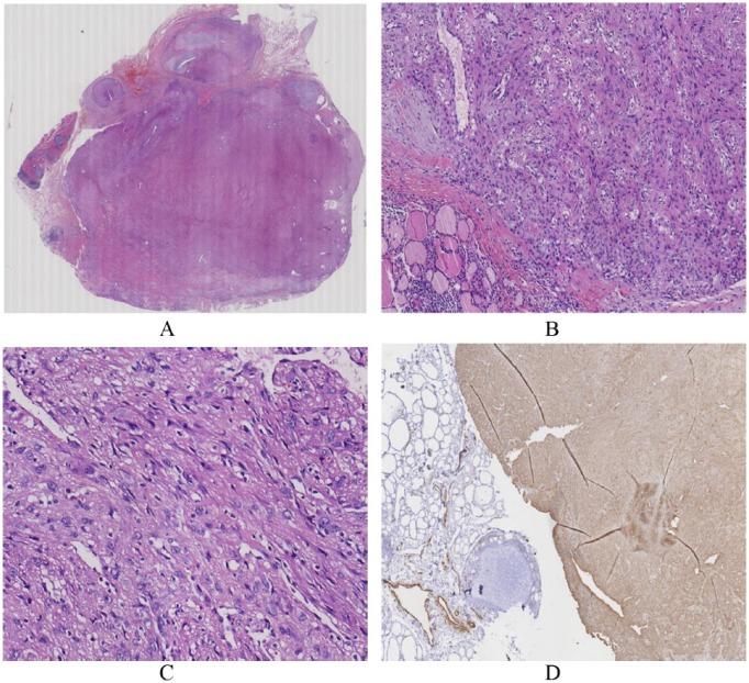
Primary leiomyomas of the thyroid are very rare. We here report a case of a 53-year-old woman with a painless mass at the right thyroid, revealed by physical examination. The patient underwent a lobectomy. Frozen sections showed a spindle cell tumor of the thyroid gland. The nuclei of some of the tumor cells were obviously enlarged and deeply stained. Pseudocapsule invasion was observed in small foci. Samples showed neither mitosis nor necrosis and the nature of the tumor was difficult to determine. Paraffin sections showed a well-circumscribed nodular composed of intersecting fascicles of spindled to slightly epithelioid cells with eosinophilic cytoplasm and blunt-ended, cigar-shaped nuclei. We observed no significant nuclear atypia, mitotsis, or necrosis. Immunohistochemical staining showed the tumor cells to be positive for α-smooth muscle actin and h-caldesmon but negative for TG, TTF1, PAX8, S-100, CT, CK, and CD34. The ki-67 index was very low (<1%). Primary thyroid leiomyoma is rare and difficult to diagnose using frozen sections. Diagnosis requires immunohistochemical staining. Leiomyoma may be mistaken for other thyroid tumors also characterized by spindle cells.

摘要

甲状腺原发性平滑肌瘤非常罕见。我们在此报告一例53岁女性,体格检查发现右侧甲状腺有无痛性肿块。患者接受了叶切除术。冰冻切片显示为甲状腺的梭形细胞瘤。部分肿瘤细胞核明显增大且染色深。在小灶性区域观察到假包膜侵犯。样本未见有丝分裂及坏死,肿瘤性质难以确定。石蜡切片显示一个边界清楚的结节,由交织成束的梭形至轻度上皮样细胞组成,胞质嗜酸性,核钝圆、呈雪茄形。我们未观察到明显的核异型性、有丝分裂或坏死。免疫组化染色显示肿瘤细胞α-平滑肌肌动蛋白和h-钙调蛋白阳性,但甲状腺球蛋白、甲状腺转录因子1、配对盒基因8、S-100、降钙素、细胞角蛋白和CD34阴性。Ki-67指数非常低(<1%)。甲状腺原发性平滑肌瘤罕见,冰冻切片难以诊断。诊断需要免疫组化染色。平滑肌瘤可能会被误诊为其他同样以梭形细胞为特征的甲状腺肿瘤。

https://cdn.ncbi.nlm.nih.gov/pmc/blobs/15cf/6256313/ded36a863ad0/10.1177_1179554918813535-fig1.jpg

文献AI研究员

20分钟写一篇综述,助力文献阅读效率提升50倍。

立即体验

用中文搜PubMed

大模型驱动的PubMed中文搜索引擎

马上搜索

文档翻译

学术文献翻译模型,支持多种主流文档格式。

立即体验