Suppr超能文献

心外膜海绵状血管瘤:一项诊断挑战。

Epicardial Cavernous Hemangioma: A Diagnostic Challenge.

作者信息

O'Brien Elizabeth M, Low Ying Hui

机构信息

Department of Anesthesiology, Dartmouth Hitchcock Medical Center, Lebanon, New Hampshire.

出版信息

CASE (Phila). 2018 Sep 22;2(6):262-265. doi: 10.1016/j.case.2018.07.004. eCollection 2018 Dec.

Abstract

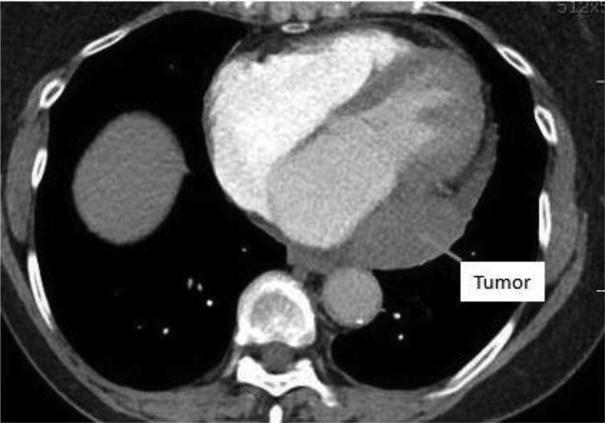
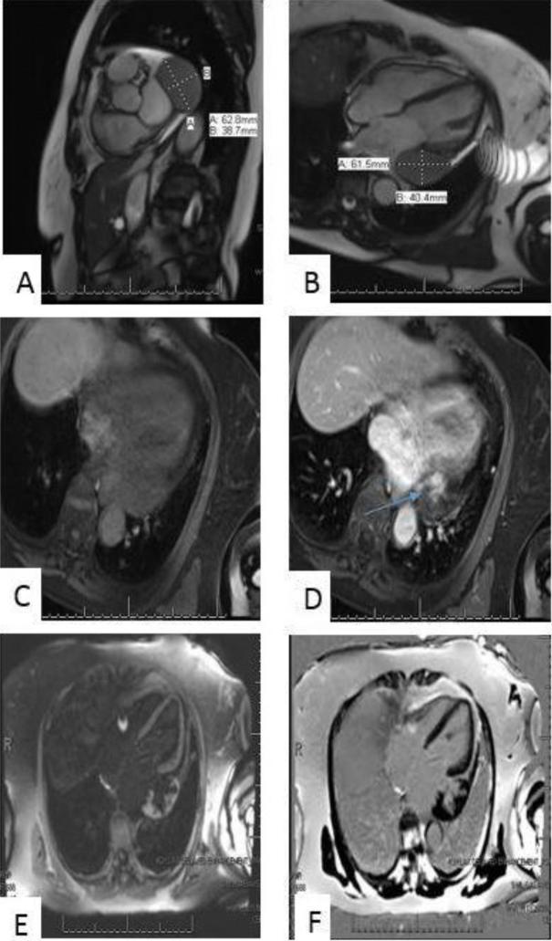
• Primary cardiac tumors, although rare, represent a wide differential diagnosis. • It is often difficult to decipher the type of tumor from imaging alone. • This case highlights imaging modalities to plan surgical removal of cardiac masses.

摘要

• 原发性心脏肿瘤虽然罕见,但鉴别诊断范围广泛。

• 仅通过影像学检查往往很难判断肿瘤的类型。

• 本病例重点介绍了用于规划心脏肿块手术切除的影像学检查方法。

https://cdn.ncbi.nlm.nih.gov/pmc/blobs/6f53/6302030/f0a7733bd105/fx1.jpg

相似文献

1
Epicardial Cavernous Hemangioma: A Diagnostic Challenge.
CASE (Phila). 2018 Sep 22;2(6):262-265. doi: 10.1016/j.case.2018.07.004. eCollection 2018 Dec.
2
[Clinical features and surgical treatment effect of patients with cardiac cavernous hemangioma].
Zhonghua Xin Xue Guan Bing Za Zhi. 2017 Sep 24;45(9):786-790. doi: 10.3760/cma.j.issn.0253-3758.2017.09.011.
3
Cardiac Cavernous Hemangioma Coexisting With Pulmonary Cavernous Hemangiomas and Giant Hepatic Hemangioma.
Ann Thorac Surg. 2017 Feb;103(2):e149-e152. doi: 10.1016/j.athoracsur.2016.07.024.
4
An intriguing co-existence: atrial myxoma and cerebral cavernous malformations: case report and review of literature.
J Am Soc Echocardiogr. 2011 Jan;24(1):110.e1-4. doi: 10.1016/j.echo.2010.06.009. Epub 2010 Jul 21.
5
Giant cavernous hemangioma of the eleventh rib.
J Cardiothorac Surg. 2019 May 22;14(1):95. doi: 10.1186/s13019-019-0919-6.
6
Cardiac cavernous hemangioma and multiple pulmonary cavernous hemangiomas.
Ann Thorac Surg. 2014 Feb;97(2):687-9. doi: 10.1016/j.athoracsur.2013.05.111.
7
Tc-99m labeled red blood cells scintigraphy: a diagnostic method for orbital cavernous hemangioma.
Eur J Ophthalmol. 1999 Apr-Jun;9(2):125-9. doi: 10.1177/112067219900900209.
8
Diagnostic features of cardiac cavernous hemangioma in the right ventricle on magnetic resonance imaging.
Gen Thorac Cardiovasc Surg. 2017 Jan;65(1):40-43. doi: 10.1007/s11748-015-0567-2. Epub 2015 Jun 18.
9
Diagnosis and treatment of cavernous hemangioma of the internal auditory canal.
J Neurosurg. 2016 Mar;124(3):639-46. doi: 10.3171/2015.3.JNS142785. Epub 2015 Sep 25.
10
Cardiac cavernous hemangioma mimicking pericardial cyst: atypical echocardiographic appearance of a rare cardiac tumor.
J Am Soc Echocardiogr. 1997 Jun;10(5):579-81. doi: 10.1016/s0894-7317(97)70015-4.

引用本文的文献

2
Benign Pericardial Hemangioma-A Rare Cause of Cardiac Tamponade.
Indian J Radiol Imaging. 2021 Nov 13;31(3):754-757. doi: 10.1055/s-0041-1736405. eCollection 2021 Jul.
3
Epicardial carvernous hemangioma: The diagnostic challenge of a middle mediastinal mass.
Thorac Cancer. 2021 Sep;12(17):2404-2406. doi: 10.1111/1759-7714.14074. Epub 2021 Jul 20.

本文引用的文献

1
Multimodality Imaging of a Silent Cardiac Hemangioma.
J Cardiovasc Echogr. 2015 Jan-Mar;25(1):31-33. doi: 10.4103/2211-4122.158427.
2
Cardiac masses and tumours.
Heart. 2016 Aug 1;102(15):1230-45. doi: 10.1136/heartjnl-2014-306364. Epub 2016 Jun 8.
3
Cardiac tumors.
Cardiology. 2014;129(3):197-8. doi: 10.1159/000368074. Epub 2014 Oct 17.
4
Small cardiac hemangioma: a challenge for diagnosis and dilemma for management.
Ann Thorac Surg. 2014 Jan;97(1):e11-3. doi: 10.1016/j.athoracsur.2013.07.104.
5
Benign cardiac tumors: a review.
Methodist Debakey Cardiovasc J. 2010 Jul-Sep;6(3):20-6. doi: 10.14797/mdcj-6-3-20.
6
Benign cardiac tumors and tumorlike conditions.
Ann Diagn Pathol. 2010 Jun;14(3):215-30. doi: 10.1016/j.anndiagpath.2009.12.010. Epub 2010 Mar 29.
7
Cardiac myxoma: preoperative diagnosis using a multimodal imaging approach and surgical outcome in a large contemporary series.
Interact Cardiovasc Thorac Surg. 2007 Aug;6(4):479-83. doi: 10.1510/icvts.2007.154096. Epub 2007 May 30.
8
Cardiac hemangioma: a report of two cases and review of the literature.
Heart Vessels. 2003 Jul;18(3):153-6. doi: 10.1007/s00380-003-0699-7.
9
Frequency of primary tumors of the heart.
Am J Cardiol. 1996 Jan 1;77(1):107. doi: 10.1016/s0002-9149(97)89149-7.
10
Cardiac myxomas.
N Engl J Med. 1995 Dec 14;333(24):1610-7. doi: 10.1056/NEJM199512143332407.

文献AI研究员

20分钟写一篇综述,助力文献阅读效率提升50倍。

立即体验

用中文搜PubMed

大模型驱动的PubMed中文搜索引擎

马上搜索

文档翻译

学术文献翻译模型,支持多种主流文档格式。

立即体验