Suppr超能文献

人乳头瘤病毒相关口腔鳞状细胞癌的细胞遗传学与微核研究

Cytogenetic and micronuclei study of human papillomavirus-related oral squamous cell carcinoma.

作者信息

Pal Pritha, Raychowdhury Ranjan, Basu Subhasis, Gure Prasanta Kumar, Das Suman, Halder Ajanta

机构信息

Department of Genetics, Vivekananda Institute of Medical Sciences, Ramakrishna Mission Seva Pratishthan, Kolkata, West Bengal, India.

Department of Otolaryngology, Vivekananda Institute of Medical Sciences, Ramakrishna Mission Seva Pratishthan, Kolkata, West Bengal, India.

出版信息

J Oral Maxillofac Pathol. 2018 Sep-Dec;22(3):335-340. doi: 10.4103/jomfp.JOMFP_269_17.

Abstract

BACKGROUND

The association of human papilloma viral infection in oral squamous cell carcinoma is well studied in the Western countries, but its correlation with DNA damage in the form of micronuclei (MN) formation, ceased apoptosis or presence of chromosomal abnormalities has not yet been studied.

AIM

The aim of this study is to find any possible correlation between human papillomavirus (HPV) infection and cytogenetic damage in the oral malignant and premalignant population of West Bengal.

SETTINGS AND DESIGN

A total of 104 malignant and 103 premalignant cases were selected along with 200 controls.

METHODS

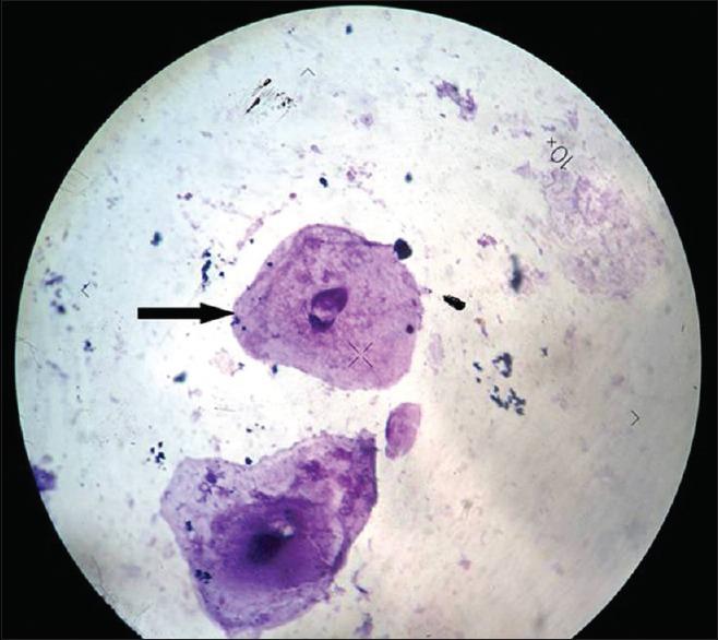
The buccal smear samples were Pap stained for the detection of MN, apoptosis frequency and koilocytes. The buccal swab samples were processed for DNA extraction followed by polymerase chain reaction for the detection of HPV DNA. The peripheral venous blood samples were processed for the detection of any chromosomal abnormality, by the method of human leukocyte culture followed by Giemsa staining.

STATISTICAL ANALYSIS USED

Correlation analysis using GraphPad Prism software was used in this study.

RESULTS

About 34.6%, 42.3% and 6.73% of malignant and 6.79%, 3.88% and 20.38% of premalignant cases showed the presence of HPV DNA, koilocytes and apoptosis, respectively. The difference between the MN frequencies of premalignant and malignant oral lesions with the control group is significant with respect to various risk factors ( < 0.05). One percentage of malignant cases showed the presence of chromosomal break.

CONCLUSION

A considerable percentage of malignant cases showing the presence of koilocytes and viral DNA may indicate the effect of HPV infection leading to the malignancy, which can be correlated with the MN and apoptosis frequency.

摘要

背景

在西方国家,人乳头瘤病毒感染与口腔鳞状细胞癌的关联已得到充分研究,但尚未研究其与以微核(MN)形成、凋亡停止或染色体异常形式存在的DNA损伤之间的相关性。

目的

本研究旨在发现西孟加拉邦口腔恶性和癌前人群中人乳头瘤病毒(HPV)感染与细胞遗传学损伤之间的任何可能相关性。

设置与设计

共选取104例恶性病例、103例癌前病例以及200例对照。

方法

对颊黏膜涂片样本进行巴氏染色,以检测微核、凋亡频率和空泡细胞。对颊黏膜拭子样本进行DNA提取,随后通过聚合酶链反应检测HPV DNA。对外周静脉血样本采用人白细胞培养后吉姆萨染色的方法检测是否存在染色体异常。

所用统计分析方法

本研究采用GraphPad Prism软件进行相关性分析。

结果

分别约有34.6%、42.3%和6.73%的恶性病例以及6.79%、3.88%和20.38%的癌前病例显示存在HPV DNA、空泡细胞和凋亡。癌前和恶性口腔病变的微核频率与对照组相比,在各种风险因素方面差异显著(<0.05)。1%的恶性病例显示存在染色体断裂。

结论

相当比例的恶性病例显示存在空泡细胞和病毒DNA,这可能表明HPV感染导致恶性肿瘤的作用,这与微核和凋亡频率相关。

https://cdn.ncbi.nlm.nih.gov/pmc/blobs/acda/6306614/105d2d32cf0d/JOMFP-22-335-g003.jpg

文献检索

告别复杂PubMed语法,用中文像聊天一样搜索,搜遍4000万医学文献。AI智能推荐,让科研检索更轻松。

立即免费搜索

文件翻译

保留排版,准确专业,支持PDF/Word/PPT等文件格式,支持 12+语言互译。

免费翻译文档

深度研究

AI帮你快速写综述,25分钟生成高质量综述,智能提取关键信息,辅助科研写作。

立即免费体验