• 文献检索
  • 文档翻译
  • 深度研究
  • 学术资讯
  • Suppr Zotero 插件Zotero 插件
  • 邀请有礼
  • 套餐&价格
  • 历史记录
应用&插件
Suppr Zotero 插件Zotero 插件浏览器插件Mac 客户端Windows 客户端微信小程序
定价
高级版会员购买积分包购买API积分包
服务
文献检索文档翻译深度研究API 文档MCP 服务
关于我们
关于 Suppr公司介绍联系我们用户协议隐私条款
关注我们

Suppr 超能文献

核心技术专利:CN118964589B侵权必究
粤ICP备2023148730 号-1Suppr @ 2026

文献检索

告别复杂PubMed语法,用中文像聊天一样搜索,搜遍4000万医学文献。AI智能推荐,让科研检索更轻松。

立即免费搜索

文件翻译

保留排版,准确专业,支持PDF/Word/PPT等文件格式,支持 12+语言互译。

免费翻译文档

深度研究

AI帮你快速写综述,25分钟生成高质量综述,智能提取关键信息,辅助科研写作。

立即免费体验

诱导多能干细胞衍生的间充质基质细胞在功能和遗传上不同于骨髓来源的间充质基质细胞。

Induced Pluripotent Stem Cell-Derived Mesenchymal Stromal Cells Are Functionally and Genetically Different From Bone Marrow-Derived Mesenchymal Stromal Cells.

机构信息

The Regenerative Medicine Institute, National University of Ireland Galway, Galway, Ireland.

出版信息

Stem Cells. 2019 Jun;37(6):754-765. doi: 10.1002/stem.2993. Epub 2019 Mar 6.

DOI:10.1002/stem.2993
PMID:30779868
原文链接:https://pmc.ncbi.nlm.nih.gov/articles/PMC6591688/
Abstract

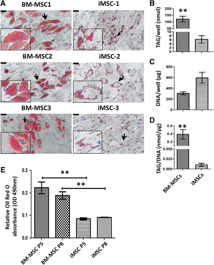
There has been considerable interest in the generation of functional mesenchymal stromal cell (MSC) preparations from induced pluripotent stem cells (iPSCs) and this is now regarded as a potential source of unlimited, standardized, high-quality cells for therapeutic applications in regenerative medicine. Although iMSCs meet minimal criteria for defining MSCs in terms of marker expression, there are substantial differences in terms of trilineage potential, specifically a marked reduction in chondrogenic and adipogenic propensity in iMSCs compared with bone marrow-derived (BM) MSCs. To reveal the cellular basis underlying these differences, we conducted phenotypic, functional, and genetic comparisons between iMSCs and BM-MSCs. We found that iMSCs express very high levels of both KDR and MSX2 compared with BM-MSCs. In addition, BM-MSCs had significantly higher levels of PDGFRα. These distinct gene expression profiles were maintained during culture expansion, suggesting that prepared iMSCs are more closely related to vascular progenitor cells (VPCs). Although VPCs can differentiate along the chondrogenic, osteogenic, and adipogenic pathways, they require different inductive conditions compared with BM-MSCs. These observations suggest to us that iMSCs, based on current widely used preparation protocols, do not represent a true alternative to primary MSCs isolated from BM. Furthermore, this study highlights the fact that high levels of expression of typical MSC markers such as CD73, CD90, and CD105 are insufficient to distinguish MSCs from other mesodermal progenitors in differentiated induced pluripotent stem cell cultures. Stem Cells 2019;37:754-765.

摘要

人们对诱导多能干细胞(iPSCs)产生功能性间充质基质细胞(MSC)制剂产生了浓厚的兴趣,目前这被认为是治疗再生医学中应用的无限量、标准化、高质量细胞的潜在来源。虽然 iMSCs 在标志物表达方面符合 MSC 的最低标准,但在三系潜能方面存在显著差异,特别是与骨髓来源(BM)MSC 相比,iMSCs 的成软骨和成脂能力明显降低。为了揭示这些差异的细胞基础,我们对 iMSCs 和 BM-MSCs 进行了表型、功能和遗传比较。我们发现 iMSCs 表达的 KDR 和 MSX2 水平明显高于 BM-MSCs。此外,BM-MSCs 中 PDGFRα 的水平明显更高。这些独特的基因表达谱在培养过程中得到了维持,这表明制备的 iMSCs 与血管祖细胞(VPCs)更为接近。尽管 VPC 可以沿着软骨形成、成骨和成脂途径分化,但它们需要与 BM-MSCs 不同的诱导条件。这些观察结果表明,根据目前广泛使用的制备方案,iMSCs 并不能真正替代从 BM 中分离的原代 MSC。此外,这项研究强调了一个事实,即高水平表达典型 MSC 标志物(如 CD73、CD90 和 CD105)不足以区分 MSC 与分化的诱导多能干细胞培养物中的其他中胚层祖细胞。干细胞 2019;37:754-765.

https://cdn.ncbi.nlm.nih.gov/pmc/blobs/9b73/6591688/1bfbd1258851/STEM-37-754-g007.jpg
https://cdn.ncbi.nlm.nih.gov/pmc/blobs/9b73/6591688/2137ac7148be/STEM-37-754-g001.jpg
https://cdn.ncbi.nlm.nih.gov/pmc/blobs/9b73/6591688/15a6fc691636/STEM-37-754-g002.jpg
https://cdn.ncbi.nlm.nih.gov/pmc/blobs/9b73/6591688/d8555f556205/STEM-37-754-g003.jpg
https://cdn.ncbi.nlm.nih.gov/pmc/blobs/9b73/6591688/501e47ae7c34/STEM-37-754-g004.jpg
https://cdn.ncbi.nlm.nih.gov/pmc/blobs/9b73/6591688/58bd4bdeb575/STEM-37-754-g005.jpg
https://cdn.ncbi.nlm.nih.gov/pmc/blobs/9b73/6591688/70a9cac316b2/STEM-37-754-g006.jpg
https://cdn.ncbi.nlm.nih.gov/pmc/blobs/9b73/6591688/1bfbd1258851/STEM-37-754-g007.jpg
https://cdn.ncbi.nlm.nih.gov/pmc/blobs/9b73/6591688/2137ac7148be/STEM-37-754-g001.jpg
https://cdn.ncbi.nlm.nih.gov/pmc/blobs/9b73/6591688/15a6fc691636/STEM-37-754-g002.jpg
https://cdn.ncbi.nlm.nih.gov/pmc/blobs/9b73/6591688/d8555f556205/STEM-37-754-g003.jpg
https://cdn.ncbi.nlm.nih.gov/pmc/blobs/9b73/6591688/501e47ae7c34/STEM-37-754-g004.jpg
https://cdn.ncbi.nlm.nih.gov/pmc/blobs/9b73/6591688/58bd4bdeb575/STEM-37-754-g005.jpg
https://cdn.ncbi.nlm.nih.gov/pmc/blobs/9b73/6591688/70a9cac316b2/STEM-37-754-g006.jpg
https://cdn.ncbi.nlm.nih.gov/pmc/blobs/9b73/6591688/1bfbd1258851/STEM-37-754-g007.jpg

相似文献

1
Induced Pluripotent Stem Cell-Derived Mesenchymal Stromal Cells Are Functionally and Genetically Different From Bone Marrow-Derived Mesenchymal Stromal Cells.诱导多能干细胞衍生的间充质基质细胞在功能和遗传上不同于骨髓来源的间充质基质细胞。
Stem Cells. 2019 Jun;37(6):754-765. doi: 10.1002/stem.2993. Epub 2019 Mar 6.
2
Induced Pluripotent Stem Cell-Derived Mesenchymal Stem Cells from the Tasmanian Devil () Express Immunomodulatory Factors and a Tropism Toward Devil Facial Tumor Cells.诱导多能干细胞衍生的源自袋獾的间充质干细胞表达免疫调节因子,并表现出对袋獾面部肿瘤细胞的趋向性。
Stem Cells Dev. 2020 Jan 1;29(1):25-37. doi: 10.1089/scd.2019.0203.
3
Compared to the amniotic membrane, Wharton's jelly may be a more suitable source of mesenchymal stem cells for cardiovascular tissue engineering and clinical regeneration.与羊膜相比,华通氏胶可能是用于心血管组织工程和临床再生的间充质干细胞的更合适来源。
Stem Cell Res Ther. 2017 Mar 21;8(1):72. doi: 10.1186/s13287-017-0501-x.
4
Human iPSC-derived MSCs (iMSCs) from aged individuals acquire a rejuvenation signature.人诱导多能干细胞(iPSC 来源的间充质干细胞,iMSCs)从衰老个体中获得年轻化特征。
Stem Cell Res Ther. 2019 Mar 18;10(1):100. doi: 10.1186/s13287-019-1209-x.
5
In situ detection of CD73+ CD90+ CD105+ lineage: Mesenchymal stromal cells in human placenta and bone marrow specimens by chipcytometry.芯片细胞仪原位检测人胎盘和骨髓标本中 CD73+ CD90+ CD105+ 谱系:间充质基质细胞。
Cytometry A. 2018 Jul;93(9):889-893. doi: 10.1002/cyto.a.23509. Epub 2018 Sep 13.
6
Human dermis harbors distinct mesenchymal stromal cell subsets.人体真皮中存在独特的间充质基质细胞亚群。
J Invest Dermatol. 2012 Mar;132(3 Pt 1):563-74. doi: 10.1038/jid.2011.355. Epub 2011 Nov 3.
7
Quantification of Mesenchymal Stem Cells (MSCs) at sites of human prostate cancer.人前列腺癌部位间充质干细胞(MSCs)的定量分析。
Oncotarget. 2013 Jan;4(1):106-17. doi: 10.18632/oncotarget.805.
8
Minimum criteria for defining induced mesenchymal stem cells.定义诱导间充质干细胞的最低标准。
Cell Biol Int. 2022 Jun;46(6):986-989. doi: 10.1002/cbin.11790. Epub 2022 Mar 27.
9
Mesenchymal stem cells derived from human induced pluripotent stem cells retain adequate osteogenicity and chondrogenicity but less adipogenicity.源自人类诱导多能干细胞的间充质干细胞保留了足够的成骨能力和软骨形成能力,但脂肪生成能力较弱。
Stem Cell Res Ther. 2015 Aug 18;6(1):144. doi: 10.1186/s13287-015-0137-7.
10
Dissimilar differentiation of mesenchymal stem cells from bone marrow, umbilical cord blood, and adipose tissue.来自骨髓、脐带血和脂肪组织的间充质干细胞的不同分化。
Exp Biol Med (Maywood). 2008 Jul;233(7):901-13. doi: 10.3181/0712-RM-356. Epub 2008 Apr 29.

引用本文的文献

1
Human iPSCs-derived mesenchymal stem cells promote skin regeneration and burn wound healing.人诱导多能干细胞衍生的间充质干细胞促进皮肤再生和烧伤创面愈合。
NPJ Regen Med. 2025 Aug 30;10(1):40. doi: 10.1038/s41536-025-00427-w.
2
Regenerative strategies for intervertebral disc degeneration.椎间盘退变的再生策略
J Orthop Translat. 2025 Jul 4;53:286-308. doi: 10.1016/j.jot.2025.06.003. eCollection 2025 Jul.
3
Exosomes Derived from Induced and Wharton's Jelly-Derived Mesenchymal Stem Cells Promote Senescence-like Features and Migration in Cancer Cells.

本文引用的文献

1
Eph/Ephrin Signaling Controls Progenitor Identities In The Ventral Spinal Cord.Eph/ephrin信号通路控制脊髓腹侧的祖细胞特性。
Neural Dev. 2017 Jun 8;12(1):10. doi: 10.1186/s13064-017-0087-0.
2
A new era of disease modeling and drug discovery using induced pluripotent stem cells.利用诱导多能干细胞进行疾病建模和药物发现的新时代。
Arch Pharm Res. 2017 Jan;40(1):1-12. doi: 10.1007/s12272-016-0871-0. Epub 2016 Dec 5.
3
Pluripotent Stem Cells as a Robust Source of Mesenchymal Stem Cells.多能干细胞作为间充质干细胞的强大来源。
源自诱导型和沃顿胶间充质干细胞的外泌体促进癌细胞的衰老样特征和迁移。
Int J Mol Sci. 2025 Jun 26;26(13):6178. doi: 10.3390/ijms26136178.
4
Tracing genomic instability in induced mesenchymal stromal cell manufacture: an integration-free transfection approach.追踪诱导间充质基质细胞制备过程中的基因组不稳定性:一种无整合转染方法。
Exp Mol Med. 2025 Apr;57(4):900-909. doi: 10.1038/s12276-025-01439-8. Epub 2025 Apr 14.
5
Decellularized Porcine Aorta as a Scaffold for Human Induced Pluripotent Stem Cell-Derived Mesenchymal Stem Cells in Tissue Engineering.去细胞猪主动脉作为组织工程中人类诱导多能干细胞来源的间充质干细胞的支架
Stem Cell Rev Rep. 2025 Apr 14. doi: 10.1007/s12015-025-10875-y.
6
Extracellular Vesicles from Induced Mesenchymal Stem Cells Inhibit Acute Kidney Injury to Chronic Kidney Disease Transition.诱导间充质干细胞来源的细胞外囊泡可抑制急性肾损伤向慢性肾病的转变。
Int J Stem Cells. 2025 Mar 14. doi: 10.15283/ijsc24127.
7
Induced pluripotent stem cell-derived mesenchymal stem cells for modeling and treating metabolic associated fatty liver disease and metabolic associated steatohepatitis: Challenges and opportunities.诱导多能干细胞衍生的间充质干细胞用于代谢相关脂肪性肝病和代谢相关脂肪性肝炎的建模与治疗:挑战与机遇
World J Stem Cells. 2025 Feb 26;17(2):99331. doi: 10.4252/wjsc.v17.i2.99331.
8
Autologous iPSC- and MSC-derived chondrocyte implants for cartilage repair in a miniature pig model.用于小型猪模型软骨修复的自体诱导多能干细胞和间充质干细胞来源的软骨细胞植入物。
Stem Cell Res Ther. 2025 Feb 23;16(1):86. doi: 10.1186/s13287-025-04215-7.
9
Combining transcriptomic and metabolomic insights to guide the clinical application of adipose- and bone marrow-derived mesenchymal stem cells.整合转录组学和代谢组学见解以指导脂肪和骨髓间充质干细胞的临床应用。
Med Rev (2021). 2024 Aug 29;5(1):76-82. doi: 10.1515/mr-2024-0056. eCollection 2025 Feb.
10
Induced pluripotent stem cell-derived mesenchymal stem cells: whether they can become new stars of cell therapy.诱导多能干细胞衍生的间充质干细胞:它们能否成为细胞治疗的新明星。
Stem Cell Res Ther. 2024 Oct 16;15(1):367. doi: 10.1186/s13287-024-03968-x.
Stem Cell Rev Rep. 2017 Feb;13(1):68-78. doi: 10.1007/s12015-016-9695-z.
4
Fibroblast Growth Factor 12 Is a Novel Regulator of Vascular Smooth Muscle Cell Plasticity and Fate.成纤维细胞生长因子12是血管平滑肌细胞可塑性和命运的新型调节因子。
Arterioscler Thromb Vasc Biol. 2016 Sep;36(9):1928-36. doi: 10.1161/ATVBAHA.116.308017. Epub 2016 Jul 28.
5
A reduction in CD90 (THY-1) expression results in increased differentiation of mesenchymal stromal cells.CD90(THY-1)表达的降低导致间充质基质细胞分化增加。
Stem Cell Res Ther. 2016 Jul 28;7(1):97. doi: 10.1186/s13287-016-0359-3.
6
Chondrocytes Derived From Mesenchymal Stromal Cells and Induced Pluripotent Cells of Patients With Familial Osteochondritis Dissecans Exhibit an Endoplasmic Reticulum Stress Response and Defective Matrix Assembly.来自家族性剥脱性骨软骨炎患者间充质基质细胞和诱导多能细胞的软骨细胞表现出内质网应激反应和有缺陷的基质组装。
Stem Cells Transl Med. 2016 Sep;5(9):1171-81. doi: 10.5966/sctm.2015-0384. Epub 2016 Jul 7.
7
Improvement of mesenchymal stem cell differentiation into the endoderm lineage by four step sequential method in biocompatible biomaterial.通过生物相容性生物材料中的四步序贯法改善间充质干细胞向内胚层谱系的分化
Bioimpacts. 2016;6(1):9-13. doi: 10.15171/bi.2016.02. Epub 2016 Mar 28.
8
iPSC-derived mesenchymal stromal cells are less supportive than primary MSCs for co-culture of hematopoietic progenitor cells.诱导多能干细胞衍生的间充质基质细胞在与造血祖细胞共培养时,其支持作用不如原代间充质干细胞。
J Hematol Oncol. 2016 Apr 21;9:43. doi: 10.1186/s13045-016-0273-2.
9
hiPSC-derived iMSCs: NextGen MSCs as an advanced therapeutically active cell resource for regenerative medicine.人诱导多能干细胞衍生的诱导间充质干细胞:作为再生医学中一种先进的具有治疗活性的细胞资源的新一代间充质干细胞。
J Cell Mol Med. 2016 Aug;20(8):1571-88. doi: 10.1111/jcmm.12839. Epub 2016 Apr 21.
10
Inhibition of IKK/NF-κB Signaling Enhances Differentiation of Mesenchymal Stromal Cells from Human Embryonic Stem Cells.抑制 IKK/NF-κB 信号通路增强人胚胎干细胞来源间充质基质细胞的分化。
Stem Cell Reports. 2016 Apr 12;6(4):456-465. doi: 10.1016/j.stemcr.2016.02.006. Epub 2016 Mar 10.