• 文献检索
  • 文档翻译
  • 深度研究
  • 学术资讯
  • Suppr Zotero 插件Zotero 插件
  • 邀请有礼
  • 套餐&价格
  • 历史记录
应用&插件
Suppr Zotero 插件Zotero 插件浏览器插件Mac 客户端Windows 客户端微信小程序
定价
高级版会员购买积分包购买API积分包
服务
文献检索文档翻译深度研究API 文档MCP 服务
关于我们
关于 Suppr公司介绍联系我们用户协议隐私条款
关注我们

Suppr 超能文献

核心技术专利:CN118964589B侵权必究
粤ICP备2023148730 号-1Suppr @ 2026

文献检索

告别复杂PubMed语法,用中文像聊天一样搜索,搜遍4000万医学文献。AI智能推荐,让科研检索更轻松。

立即免费搜索

文件翻译

保留排版,准确专业,支持PDF/Word/PPT等文件格式,支持 12+语言互译。

免费翻译文档

深度研究

AI帮你快速写综述,25分钟生成高质量综述,智能提取关键信息,辅助科研写作。

立即免费体验

小肠自发性穿孔后伴发胆囊动脉破裂:血管性埃勒斯-当洛综合征的自然病程。

Spontaneous perforation of small intestine followed by rupture of the cystic artery: the natural history of Vascular Ehlers-Danlos Syndrome.

作者信息

Febres-Aldana Christopher Antônio, Castellano-Sanchez Amilcar Antonio, Alexis John

机构信息

Mount Sinai Medical Center, AM Rywlin MD Department of Pathology and Laboratory Medicine. Miami Beach, FL, United States of America.

Florida International University, Herbert Wertheim College of Medicine. Miami, FL, United States of America.

出版信息

Autops Case Rep. 2019 Jan 17;9(1):e2018054. doi: 10.4322/acr.2018.054. eCollection 2019 Jan-Mar.

DOI:10.4322/acr.2018.054
PMID:30863729
原文链接:https://pmc.ncbi.nlm.nih.gov/articles/PMC6394365/
Abstract

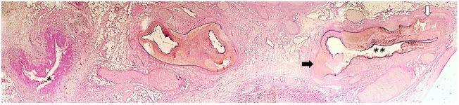
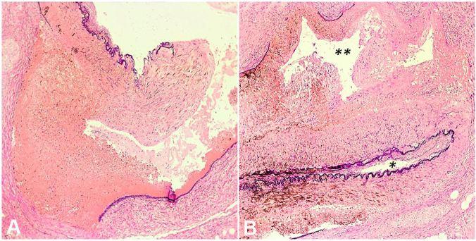
Vascular Ehlers-Danlos Syndrome (VEDS) is a rare autosomal dominant disorder caused by mutations in the or genes. Its mortality is secondary to sudden and spontaneous rupture of arteries or hollow organs. The genotype influences the distribution of arterial pathology with aneurysms of intra-abdominal visceral arteries being relatively uncommon. We describe the case of a young man with probable VEDS who died of a spontaneous rupture and dissection of the cystic artery. The patient initially presented with abdominal pain due to an unrecognized spontaneous perforation of the small intestine complicated by sepsis. We postulate that inflammatory mediators may have triggered the arterial rupture due to remodeling and weakening of vessel walls. The phenotype of the patient's vascular damage included bilateral spontaneous carotid-cavernous sinus fistulae and dissection with pseudoaneurysm formation of large- and medium-sized arteries, predominantly the abdominal aorta and its branches. The autopsy uncovered a long history of vascular events that may have been asymptomatic. These findings along with a positive family history supported the VEDS diagnosis. Loeys-Dietz, Marfan, and familial thoracic aortic aneurysm and dissection syndromes were ruled out based on the absence of arterial tortuosity, eye abnormalities, bone overgrowth, and the distribution of vascular damage among other features. Interestingly, microscopic examination of the hippocampus revealed a focus of neuronal heterotopia, commonly associated with epilepsy; however, the patient had no history of seizures. The natural course of VEDS involves the rupture and dissection of arteries that, if unrecognized, can lead to a rapid death after bleeding into free spaces.

摘要

血管型埃勒斯-当洛综合征(VEDS)是一种罕见的常染色体显性疾病,由 或 基因的突变引起。其死亡率继发于动脉或中空器官的突然自发破裂。基因型影响动脉病变的分布,腹内脏器动脉的动脉瘤相对少见。我们描述了一例可能患有 VEDS 的年轻男性病例,该患者死于胆囊动脉的自发破裂和夹层形成。患者最初因未被识别的小肠自发穿孔并发败血症而出现腹痛。我们推测炎症介质可能由于血管壁重塑和弱化而引发了动脉破裂。患者血管损伤的表型包括双侧自发性颈内动脉海绵窦瘘以及大中型动脉(主要是腹主动脉及其分支)的夹层形成伴假性动脉瘤。尸检发现了可能无症状的长期血管事件病史。这些发现以及阳性家族史支持了 VEDS 的诊断。基于无动脉迂曲、眼部异常、骨骼过度生长以及血管损伤分布等其他特征,排除了洛伊氏-迪茨综合征、马凡综合征以及家族性胸主动脉瘤和夹层综合征。有趣的是,海马体的显微镜检查发现了一个神经元异位灶,通常与癫痫有关;然而,患者并无癫痫发作史。VEDS 的自然病程包括动脉破裂和夹层形成,如果未被识别,可导致在向自由间隙出血后迅速死亡。

https://cdn.ncbi.nlm.nih.gov/pmc/blobs/7a90/6394365/a823e4ce8c71/autopsy-09-01e2018054-g06.jpg
https://cdn.ncbi.nlm.nih.gov/pmc/blobs/7a90/6394365/37028087211d/autopsy-09-01e2018054-g01.jpg
https://cdn.ncbi.nlm.nih.gov/pmc/blobs/7a90/6394365/89ea3ced3b67/autopsy-09-01e2018054-g02.jpg
https://cdn.ncbi.nlm.nih.gov/pmc/blobs/7a90/6394365/2f114859a1fa/autopsy-09-01e2018054-g03.jpg
https://cdn.ncbi.nlm.nih.gov/pmc/blobs/7a90/6394365/c5d26b092920/autopsy-09-01e2018054-g04.jpg
https://cdn.ncbi.nlm.nih.gov/pmc/blobs/7a90/6394365/6e628b642dee/autopsy-09-01e2018054-g05.jpg
https://cdn.ncbi.nlm.nih.gov/pmc/blobs/7a90/6394365/a823e4ce8c71/autopsy-09-01e2018054-g06.jpg
https://cdn.ncbi.nlm.nih.gov/pmc/blobs/7a90/6394365/37028087211d/autopsy-09-01e2018054-g01.jpg
https://cdn.ncbi.nlm.nih.gov/pmc/blobs/7a90/6394365/89ea3ced3b67/autopsy-09-01e2018054-g02.jpg
https://cdn.ncbi.nlm.nih.gov/pmc/blobs/7a90/6394365/2f114859a1fa/autopsy-09-01e2018054-g03.jpg
https://cdn.ncbi.nlm.nih.gov/pmc/blobs/7a90/6394365/c5d26b092920/autopsy-09-01e2018054-g04.jpg
https://cdn.ncbi.nlm.nih.gov/pmc/blobs/7a90/6394365/6e628b642dee/autopsy-09-01e2018054-g05.jpg
https://cdn.ncbi.nlm.nih.gov/pmc/blobs/7a90/6394365/a823e4ce8c71/autopsy-09-01e2018054-g06.jpg

相似文献

1
Spontaneous perforation of small intestine followed by rupture of the cystic artery: the natural history of Vascular Ehlers-Danlos Syndrome.小肠自发性穿孔后伴发胆囊动脉破裂:血管性埃勒斯-当洛综合征的自然病程。
Autops Case Rep. 2019 Jan 17;9(1):e2018054. doi: 10.4322/acr.2018.054. eCollection 2019 Jan-Mar.
2
A multi-institutional experience in the aortic and arterial pathology in individuals with genetically confirmed vascular Ehlers-Danlos syndrome.遗传性血管型埃勒斯-当洛斯综合征患者的主动脉和动脉病理学的多机构经验。
J Vasc Surg. 2019 Nov;70(5):1543-1554. doi: 10.1016/j.jvs.2019.01.069. Epub 2019 May 21.
3
Vascular Ehlers-Danlos Syndrome血管性埃勒斯-当洛综合征
4
Successful management of splenic artery dissection after sigmoid colon perforation in vascular Ehlers-Danlos syndrome.血管性埃勒斯-当洛综合征患者乙状结肠穿孔后脾动脉夹层的成功处理
Surg Case Rep. 2024 Mar 15;10(1):60. doi: 10.1186/s40792-024-01845-6.
5
Splenic artery pathology presentation, operative interventions, and outcomes in 88 patients with vascular Ehlers-Danlos syndrome.88 例血管型埃勒斯-当洛斯综合征患者的脾动脉病变表现、手术干预及结果。
J Vasc Surg. 2023 Aug;78(2):394-404. doi: 10.1016/j.jvs.2023.04.007. Epub 2023 Apr 15.
6
Vertebral Tortuosity Is Associated With Increased Rate of Cardiovascular Events in Vascular Ehlers-Danlos Syndrome.脊柱迂曲与血管型埃勒斯-当洛斯综合征患者心血管事件发生率升高相关。
J Am Heart Assoc. 2023 Oct 3;12(19):e029518. doi: 10.1161/JAHA.123.029518. Epub 2023 Sep 30.
7
Anterior tibial artery rupture treated using covered stent in a patient with vascular Ehlers-Danlos syndrome.使用覆膜支架治疗血管性埃勒斯-当洛综合征患者的胫前动脉破裂。
J Cardiol Cases. 2018 Aug 24;18(6):197-200. doi: 10.1016/j.jccase.2018.07.006. eCollection 2018 Dec.
8
Spontaneous pneumothorax and hemothorax frequently precede the arterial and intestinal complications of vascular Ehlers-Danlos syndrome.自发性气胸和血胸常先于血管型 Ehlers-Danlos 综合征的动脉和肠道并发症出现。
Am J Med Genet A. 2019 May;179(5):797-802. doi: 10.1002/ajmg.a.61094. Epub 2019 Feb 22.
9
Surgical Management of Colonic Perforation in a Patient with Vascular Ehlers-Danlos Syndrome with no Family History: A Case Report.无家族病史的血管性埃勒斯-当洛综合征患者结肠穿孔的外科治疗:一例报告
J Anus Rectum Colon. 2020 Oct 29;4(4):201-205. doi: 10.23922/jarc.2020-029. eCollection 2020.
10
Vascular Ehlers-Danlos Syndrome With a Novel Missense COL3A1 Mutation Present With Pulmonary Complications and Iliac Arterial Dissection.伴有新型错义COL3A1突变的血管型埃勒斯-当洛综合征出现肺部并发症和髂动脉夹层。
Vasc Endovascular Surg. 2018 Feb;52(2):138-142. doi: 10.1177/1538574417745432. Epub 2017 Dec 7.

引用本文的文献

1
Reviewing hereditary connective tissue disorders: Proposals of harmonic medicolegal assessments.审查遗传性结缔组织疾病:和谐医学法律评估的建议。
Int J Legal Med. 2024 Nov;138(6):2507-2522. doi: 10.1007/s00414-024-03290-4. Epub 2024 Jul 15.

本文引用的文献

1
Ehlers-Danlos syndromes and epilepsy: An updated review.Ehlers-Danlos 综合征与癫痫:最新综述。
Seizure. 2018 Apr;57:1-4. doi: 10.1016/j.seizure.2018.02.013. Epub 2018 Mar 2.
2
Differences in manifestations of Marfan syndrome, Ehlers-Danlos syndrome, and Loeys-Dietz syndrome.马凡综合征、埃勒斯-当洛综合征和洛伊氏综合征的临床表现差异。
Ann Cardiothorac Surg. 2017 Nov;6(6):582-594. doi: 10.21037/acs.2017.11.03.
3
Aortic Wall Inflammation Predicts Abdominal Aortic Aneurysm Expansion, Rupture, and Need for Surgical Repair.
主动脉壁炎症可预测腹主动脉瘤的扩张、破裂及手术修复需求。
Circulation. 2017 Aug 29;136(9):787-797. doi: 10.1161/CIRCULATIONAHA.117.028433. Epub 2017 Jul 18.
4
Diagnosis, natural history, and management in vascular Ehlers-Danlos syndrome.血管性埃勒斯-当洛综合征的诊断、自然病史及管理
Am J Med Genet C Semin Med Genet. 2017 Mar;175(1):40-47. doi: 10.1002/ajmg.c.31553.
5
Pseudoaneurysm formation due to rupture of intracranial aneurysms: Case series and literature review.颅内动脉瘤破裂导致的假性动脉瘤形成:病例系列及文献综述
Neuroradiol J. 2017 Apr;30(2):129-137. doi: 10.1177/1971400916684667. Epub 2017 Jan 6.
6
The Expanding Clinical Spectrum of Extracardiovascular and Cardiovascular Manifestations of Heritable Thoracic Aortic Aneurysm and Dissection.遗传性胸主动脉瘤和夹层的心血管和心血管外临床表现的不断扩大的临床谱。
Can J Cardiol. 2016 Jan;32(1):86-99. doi: 10.1016/j.cjca.2015.11.007. Epub 2015 Nov 14.
7
The type of variants at the COL3A1 gene associates with the phenotype and severity of vascular Ehlers-Danlos syndrome.COL3A1基因的变异类型与血管性埃勒斯-当洛综合征的表型和严重程度相关。
Eur J Hum Genet. 2015 Dec;23(12):1657-64. doi: 10.1038/ejhg.2015.32. Epub 2015 Mar 11.
8
Ehlers-Danlos syndrome: a cause of epilepsy and periventricular heterotopia.埃勒斯-当洛综合征:癫痫和脑室周围异位症的一个病因。
Seizure. 2014 Nov;23(10):819-24. doi: 10.1016/j.seizure.2014.07.014. Epub 2014 Jul 30.
9
Molecular diagnosis in vascular Ehlers-Danlos syndrome predicts pattern of arterial involvement and outcomes.血管型埃勒斯-当洛综合征的分子诊断可预测动脉受累模式及预后。
J Vasc Surg. 2014 Jul;60(1):160-9. doi: 10.1016/j.jvs.2014.01.070. Epub 2014 Mar 18.
10
Transforming growth factor-β and inflammation in vascular (type IV) Ehlers-Danlos syndrome.转化生长因子-β与血管型(IV型)埃勒斯-当洛综合征中的炎症
Circ Cardiovasc Genet. 2014 Feb;7(1):80-8. doi: 10.1161/CIRCGENETICS.113.000280. Epub 2014 Jan 6.