'A.V. Zhirmunsky National Scientific Center of Marine Biology', Far Eastern Branch of the Russian Academy of Sciences, 690041 Vladivostok, Russia.
Int J Mol Med. 2019 May;43(5):2153-2163. doi: 10.3892/ijmm.2019.4142. Epub 2019 Mar 21.
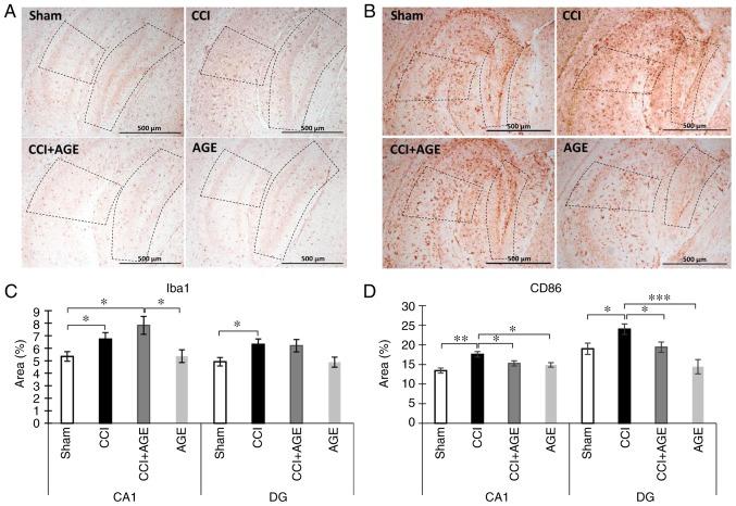
Neuropathic pain is a condition characterized by unpleasant sensory and emotional experiences associated with a number of diseases or injuries affecting the sensory system through various mechanisms. In this study, we focused on the impact of chronic neuropathic pain on the microglial state and hippocampal neurogenesis in aged mice. In addition, we examined the effects of alkyl glycerol ethers (AGE) treatment on behavioral parameters, hippocampal neuronal and microglial plasticity in aged C57BL/6 mice with neuropathic pain. For the induction of neuropathic pain, we used the model of chronic constriction injury (CCI) of the sciatic nerve. We observed painful behavior in animals subjected to CCI, expressed as a decrease in locomotor activity and the development of cold allodynia. A violation of working and long‑term memory was also observed. AGE administration reduced the severity of cold allodynia and prevented memory impairment. In addition to behavioral changes, neuropathic pain was accompanied by microglial activation, changes in the hippocampal production of pro‑ and anti‑inflammatory cytokines, as well as a decrease in neurogenesis. The administration of AGE prevented the neuropathic pain‑derived effects, including M1 microglial activation and neurogenesis disruption. However, in vitro experiments demonstrated the pro‑inflammatory activation of microglial cells, emphasizing the complexity of the mechanisms underlying the pharmacological effects of AGE. On the whole, the findings of this study demonstrate that AGE treatment prevented behavioral effects of neuropathic pain in mice, and AGE may thus have potential for use in the prevention or treatment of neuropathic pain cognitive and emotional effects. However, as the mechanisms underlying this type of pain are complex, further studies are required to determine the detailed pharmacological effects of AGE.
神经病理性疼痛是一种以不愉快的感觉和情绪体验为特征的病症,与多种疾病或损伤有关,这些疾病或损伤通过多种机制影响感觉系统。在这项研究中,我们专注于慢性神经病理性疼痛对老年小鼠小胶质细胞状态和海马神经发生的影响。此外,我们研究了烷基甘油醚(AGE)治疗对神经病理性疼痛老年 C57BL/6 小鼠行为参数、海马神经元和小胶质细胞可塑性的影响。为了诱导神经病理性疼痛,我们使用了坐骨神经慢性缩窄性损伤(CCI)模型。我们观察到 CCI 后动物出现疼痛行为,表现为运动活性降低和冷感觉过敏的发展。还观察到工作和长期记忆的损伤。AGE 给药可减轻冷感觉过敏的严重程度并预防记忆损伤。除了行为变化外,神经病理性疼痛还伴有小胶质细胞激活、海马前炎症和抗炎细胞因子产生的变化以及神经发生减少。AGE 的给药可预防神经病理性疼痛引起的效应,包括 M1 小胶质细胞激活和神经发生破坏。然而,体外实验表明小胶质细胞的促炎激活,强调了 AGE 药理作用背后的机制的复杂性。总的来说,这项研究的结果表明,AGE 治疗可预防小鼠神经病理性疼痛的行为效应,因此 AGE 可能具有预防或治疗神经病理性疼痛认知和情感效应的潜力。然而,由于这种类型的疼痛的机制复杂,需要进一步研究来确定 AGE 的详细药理作用。